درباره دکتر امیر حسین کامبوزیا

دکتر امیرحسین کامبوزیا
متخصص جراحی دهان، فک و صورت دندانپزشک، جراح فک و صورت
شماره نظام پزشکی: 22657
دکتر کامبوزیا با تخصص و تجربه گسترده در زمینه انجام جراحی های پیچیده دهان و فک، خدمات درمانی تخصصی و پیشرفته ای را به بیماران ارائه میدهد.
جراحی دندانهای نهفته عقل و کانین
جراحی کیستهای استخوانی و بافت نرم
جراحی تومورهای فکی
سرطانهای فک، صورت و زبان
جراحی زیبایی صورت
کاشت ایمپلنتهای دندانی
بازسازی استخوانهای صورت و فک وپیونداستخوان
پروتزهای دندانی وفکی
جراحی ناهنجاریهای فکی _استئوتومی

ایشان با دانش به روزو بهره گیری از خدمات و تجهیزات مدرن، انواع جراحی های ترمیمی، زیبایی و درمانی نواحی دهان، فک و صورت را به دقت و با حفظ بالاترین استاندارهای پزشکی انجام میدهد.
دکتر کامبوزیا توجه ویژه ای به راحتی و رضایت بیماران دارند و در همه مراحل درمان، با رویکردی حرفه ای و دلسوزانه همراه بیماران است تا بهترین نتایج درمانی حاصل شود.

ارتباط با ما

call تماس: 09358260642
location آدرس : بزرگراه جلال آل احمد - بعد از پل نصر (گیشا) -روبروی شهر آرا- پلاک 135 - ط. پنجم - واحد 9 _ 88260645
ussd جهت ارتباط با این کسب و کار عبارت " دکتر کامبوزیا " یا " Dr.kambozia " را به شماره 10008590 پیامک نمایید.

تماس با ما

مشتری گرامی؛ تیم ما، آماده شنیدن هرگونه انتقادات و پیشنهادات شما هست. جهت ارتباط با ما، میتوانید از طریق روشهای زیر اقدام فرمایید تا در اسرع وقت مورد شما را پیگیری کنیم.

warning

محصولات

دسته بندی:
جراحی دندان عقل نهفته
دسته بندی :
دندان نهفته کیست و‌ احتمال شکستگی فک
دسته بندی :
جراحی دندان عقل نهفته
دسته بندی :
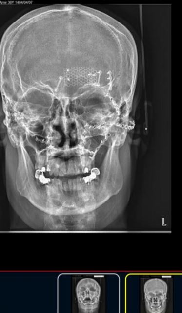
شکستگی متعدد صورت
دسته بندی :
بازسازی شکستگی صورت
دسته بندی :