بیوگرافی
دکتر سید حسام الدین حسینی متولد شیراز و محصل مدارس نمونه دولتی در مقاطع راهنمایی و دبیرستان بودند. ایشان ورودی سال 1388 دانشگاه علوم پزشکی یزد و فارغ التحصیل رشته دندانپزشکی عمومی میباشند.
اوایل کار در شهر بوشهر مشغول به کار بودند و بعد از آن به شیراز آمدند و به مدت یک سال هم در شهر یزد شاغل بودند. در این مدت در کلینیک های نامی شهر شیراز از جمله مهر، حامی، آرسته، سپیده و بهاران و در شهر یزد از جمله اسمارت و سعید مقدم مشغول بودند.
اکنون ایشان به عنوان بهترین دندانپزشک زیبایی شیراز در کلینیک تخصصی دکتر حسینی فعالیت میکنند.
👈 زیبایی لبخند، اعتماد به نفس شما 👉

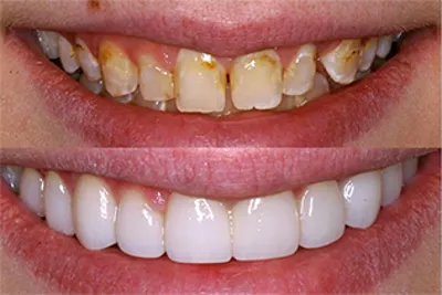
گالری تصاویر
خدمات کلینیک
🦷 کامپوزیت
|
کامپوزیت یکی از روش های محبوب برای اصلاح طرح لبخند است که در آن موادی هم رنگ دندان روی سطح دندان قرار میگیرند تا شکل، رنگ و اندازه دندان ها اصطلاح شود. این روش سریع، بدون آسیب جدی به دندان و نسبتا مقرون به صرفه است و میتواند لبخندی زیبا و طبیعی برای شما ایجاد کند. کلینیک زیبایی دکتر حسینی در تلاش است تا با استفاده از بهترین و مرغوبترین متریال، کامپوزیت بینظیری بر روی دندان های شما ایجاد کند.
|
🦷 ترمیم
|
ترمیم یا پر کردن دندان زمانی انجام میشود که پوسیدگی سطحی یا متوسط وجود داشته باشد. دندانپزشک ابتدا بخش پوسیده را برمیدارد و سپس آن را با مواد مخصوص مانند آمالگام یا کامپوزیت پر میکند تا ظاهر و عملکرد دندان بازگردد. کلینیک دندانپزشکی دکتر حسینی به عنوان بهترین دندانپزشکی زیبایی در شیراز این فرایند را به صورت کاملا بهداشتی و مقرون به صرفه به متقاضیان ارائه میدهد.
|
🦷 لمینت
|
لمینت یا ونیر لایه ای نازک و مقاوم است که روی دندان ها قرار میگیرد که رنگ، فرم و ظاهر آنها را به طور کامل تغییر دهد. لمینت برای افرادی مناسب است که میخواهند لبخندی سفید و کاملا یکدست داشته باشند. دوام بالای لمینت و ظاهر طبیعی آن باعث شده یکی از پرطرفدارترین روش های زیبایی دندان باشد و بهترین دندانپزشک زیبایی شیراز، دکتر حسینی این خدمت را به صورت کاملا تخصصی به خواهان لبخندی بی نظیر هدیه میدهد.
|
🦷 عصب کشی
|
وقتی عصب داخل دندان به دلیل پوسیدگی عمیق یا ضربه دچار التهاب یا عفونت میشود، باید عصب کشی انجام شود. در این روش عصب و بافت آلوده داخل دندان تخلیه شده و کانال های داخل دندان ضدعفونی و پر میشوند تا دندان حفظ شود و نیاز به کشیدن آن نباشد. دکتر حسینی به همراه تیم تخصصی خود میکوشند تا از عواملی که موجب کشیدن دندان شما میشود جلوگیری کرده و بهترین راهکار را برای حفظ لبخند و دندان شما اجرا کنند.
|
🦷 جراحی دندان
|
در برخی موارد مانند دندان عقل نهفته، کیست های دهان یا مشکلات شدید لثه، نیاز به جراحی دندان وجود دارد. این جراحی ها توسط دندانپزشک متخصص به صورت کاملا استریل و با بی حسی انجام میشود تا بیمار با کمترین درد و عوارض درمان شود. کلینیک تخصصی زیبایی دکتر حسینی با استفاده از بروز ترین تجهیزات و امکانات شرایط عمل جراحی دندان را برای شما متقاضیان به ارمغان آورده است.
|
🦷 جرمگیری
|
جرمگیری روشی است برای پاکسازی رسوبات و پلاک های سخت شده روی دندان ها که با مسواک زدن معمولی از بین نمیروند. این کار باعث میشود لثه ها سالم بمانند، بوی بد دهان رفع شود و دندان ها سفیدتر به نظر برسند. این یکی از خدماتی است که کلینیک زیبایی دکتر حسینی به عنوان بهترین دندانپزشکی زیبایی در شیراز ارائه میدهد.
|
🦷 روکش
|
روکش لایه ای مقاوم و پوششی است که روی دندان قرار میگیرد تا از آن محافظت کند یا ظاهر آن را اصلاح نماید. معمولا بعد از درمان ریشه یا شکستگی دندان، روکش استفاده میشود تا هم زیبایی و هم عملکرد طبیعی دندان حفظ گردد. دکتر حسینی به عنوان بهترین دندانپزشک زیبایی شیراز با استفاده از بهترین روکش ها و مرغوبترین آنها موجب حفظ زیبایی و ماندگاری دندان شما میشود.
|
🦷 درمان ریشه
|
درمان ریشه درواقع همان تکمیل عصب کشی است که طی آن تمامی کانال های ریشه تمیز، ضدعفونی و پر میشوند تا از گسترش عفونت جلوگیری شود. این کار نیازمند مهارت بالا و تجهیزات تخصصی است تا دندان به طور کامل نجات یابد و بهترین دندانپزشک زیبایی شیراز با توجه به مهارت بالا و مجهزترین کلینیک ها این امکان را برای شما فراهم کرده است.
|






































