لیفت لثه
لبخندی طبیعی و جذاب با بهترین متخصصین✨️
اگر از لبخند خود راضی نیستید و لثههای شما بیش از حد دیده میشوند یا نامتقارن هستند، لیفت لثه بهترین راهکار برای اصلاح شکل و ارتفاع لثه و ایجاد لبخندی متعادل و زیباست. در تهران، بهترین متخصصین و کلینیکها با استفاده از روشهای مدرن و تجهیزات پیشرفته، تجربهای بدون درد و با نتایج دائمی ارائه میدهند.
با لیفت لثه، علاوه بر زیبایی، اعتماد به نفس شما افزایش یافته و سلامت دهان و دندان بهبود مییابد.

🦷 لیفت لثه چیست؟
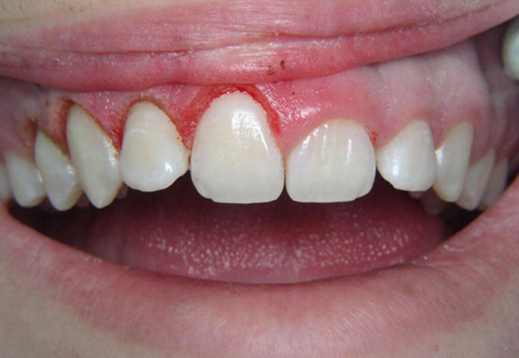
لیفت لثه یک روش تخصصی دندانپزشکی است که هدف آن اصلاح ارتفاع و شکل لثهها به منظور ایجاد لبخندی متناسب، طبیعی و جذاب است. در افراد با لبخند لثهای (Gummy Smile)، بخش زیادی از لثهها هنگام خندیدن دیده میشود، که این امر میتواند زیبایی لبخند و تعادل صورت را تحت تأثیر قرار دهد. لیفت لثه این مشکل را با تنظیم خط لثه و نمایان شدن بیشتر دندانها حل میکند.
تاریخچه و پیشرفتها
در گذشته، اصلاح لثهها تنها با جراحیهای سنتی و تهاجمی امکانپذیر بود که دوره نقاهت طولانی و درد زیادی داشت.
امروزه با پیشرفت فناوری، روشهای مدرن مانند لیفت لثه با لیزر و تکنیکهای غیرتهاجمی، تجربهای سریع، دقیق و بدون درد را فراهم کردهاند.
اهداف لیفت لثه
1. اصلاح لبخند لثهای: کاهش نمایان شدن بیش از حد لثه هنگام خندیدن.
2. بهبود تقارن لثهها: یکدست کردن ارتفاع و شکل لثهها در هر دو طرف دندانها.
3. افزایش زیبایی و جذابیت لبخند: متناسب کردن نسبت دندانها و لثهها با فرم صورت.
4. اصلاح مشکلات پزشکی لثه: پیشگیری از تحلیل لثه و پوسیدگی دندان با ایجاد فرم مناسب.
5. تقویت اعتماد به نفس: افراد پس از اصلاح لبخند احساس رضایت و اعتماد بیشتری دارند.

🔴 مزایا و فواید لیفت لثه – زیبایی، سلامت و اعتماد به نفس
لیفت لثه فقط یک عمل زیبایی نیست، بلکه تأثیرات گستردهای بر ظاهر، سلامت دهان و روانشناسی فرد دارد. در این بخش، هر مزیت را با جزئیات کامل بررسی میکنیم:
1. زیبایی طبیعی و متناسب: با اصلاح خط لثه، دندانها بهتر دیده میشوند و لبخند هماهنگ با فرم صورت ایجاد میشود.
این تغییر باعث میشود هنگام خندیدن، تمرکز بیننده روی دندانها و لبخند باشد، نه روی لثهها.
برای مثال، فردی با لبخند لثهای شدید، پس از لیفت لثه، لبخندی جذاب و طبیعی خواهد داشت که عکسها و تعاملات اجتماعی او را تحت تأثیر قرار میدهد.
۲. افزایش اعتماد به نفس و رضایت روانی: افرادی که از لبخند خود ناراضی هستند، اغلب از خندیدن در جمع یا عکس گرفتن اجتناب میکنند.
پس از لیفت لثه، بسیاری از بیماران گزارش دادهاند که احساس اعتماد به نفس آنها افزایش یافته و راحتتر با دیگران ارتباط برقرار میکنند.
تجربههای واقعی نشان میدهد اعتماد به نفس پس از اصلاح لبخند، در محیط کاری و اجتماعی افزایش مییابد.
3. دوره نقاهت کوتاه و راحت: تکنیکهای مدرن مانند لیزر، بهبودی سریع و کمترین ناراحتی را فراهم میکنند.
بیمار میتواند تقریباً همان روز به فعالیتهای روزمره بازگردد و تنها مراقبتهای ساده بهداشتی لازم است.
مزیت این کوتاه بودن دوره نقاهت، کاهش نگرانی و استرس بیمار و تسهیل تصمیمگیری برای انجام عمل است.
4. نتایج طولانیمدت و پایدار: با مراقبت صحیح و رعایت بهداشت دهان و دندان، نتایج لیفت لثه میتواند سالها بدون تغییر باقی بماند.
این مزیت باعث میشود که هزینه و زمان صرف شده برای درمان یک سرمایهگذاری بلندمدت در زیبایی و سلامت لبخند باشد.
5. بهبود سلامت دهان و دندان: اصلاح شکل لثهها، فضای مناسب برای تمیز کردن دندانها ایجاد میکند و تجمع پلاک و باکتریها کاهش مییابد.
این تغییر به کاهش بیماریهای لثه، تحلیل لثه و پوسیدگی دندان کمک میکند.
مطالعات نشان دادهاند که بیماران پس از لیفت لثه، کاهش چشمگیری در التهاب لثه و خونریزی هنگام مسواک زدن داشتهاند.

🔵 روش های پیشرفته و متنوع
لیفت لثه با لیزر:
لیفت لثه با لیزر یکی از پیشرفتهترین و محبوبترین روشها است که با دقت بالا، بدون خونریزی زیاد و درد کمتر انجام میشود. این روش به خصوص برای اصلاح نقصهای کوچک و متوسط، لبخند لثهای خفیف تا متوسط و ترمیمهای زیبایی جزئی مناسب است.
مراحل انجام:
1. معاینه کامل دندان و لثه با ابزار دقیق و عکسبرداری دیجیتال
2. تعیین خط لثه جدید و برنامهریزی اصلاح
3. بیحسی موضعی برای کاهش درد
4. استفاده از لیزر برای برداشتن یا شکلدهی لثه با دقت میلیمتری
5. کنترل خونریزی و فرمدهی نهایی
6. ارائه نکات مراقبتی پس از عمل
لیفت لثه جراحی سنتی:
جراحی سنتی برای موارد گسترده، لثههای ضخیم یا مشکلات پیچیده استفاده میشود. این روش مناسب بیمارانی است که نیاز به اصلاحات زیاد دارند یا مشکلات ساختاری لثه و دندان پیچیده است.
مراحل انجام:
1. معاینه کامل و برنامهریزی دقیق تغییرات
2. بیحسی موضعی یا عمومی بسته به پیچیدگی عمل
3. برش لثه و برداشتن یا اصلاح بافت اضافی
4. بخیه زدن و فرمدهی نهایی لثه
5. ارائه نکات مراقبتی و داروهای ضد التهاب
روشهای غیرتهاجمی و ترکیبی:
این روشها شامل تکنیکهای زیبایی و پرکنندهها هستند که بدون جراحی یا با حداقل تهاجم، ظاهر لثه را اصلاح میکنند. مناسب افرادی است که نمیخواهند تحت جراحی قرار بگیرند یا فقط نیاز به اصلاحات جزئی دارند.
مراحل انجام:
1. بررسی دقیق فرم لثه و دندانها
2. انتخاب تکنیک مناسب: پرکننده، لیزر سبک یا ترکیب روشها
3. بیحسی موضعی در صورت نیاز
4. اصلاح شکل لثه و تثبیت نتیجه
5. ارائه نکات مراقبتی و توصیههای تغذیهای

🟠 چگونه بهترین روش را انتخاب کنیم؟
انتخاب روش مناسب بستگی دارد به:
شدت و نوع مشکل لثه، ضخامت و جنس لثه، میزان اصلاح مورد نیاز، تجربه و تخصص دندانپزشک، ترجیح بیمار نسبت به درد، تورم و دوره نقاهت
متخصصان زیبایی معمولاً با مشاوره دقیق، بررسی کامل لثه و دندان، و ارائه مزایا و معایب هر روش، بهترین گزینه را به بیمار پیشنهاد میکنند.
🟢 قبل و بعد از عمل لیفت لثه – راهنمای کامل مراقبتها و دوره نقاهت
نکات مراقبتی قبل از عمل
۱. مشاوره تخصصی با دندانپزشک:
بررسی دقیق وضعیت لثه، دندانها و ساختار فک
عکسبرداری دیجیتال و بررسی خط لثه
برنامهریزی شخصیسازیشده برای اصلاح لثه
2. بررسی سلامت عمومی:
اطلاع پزشک از داروهای مصرفی، بیماریهای مزمن و حساسیتها
پرهیز از مصرف داروهای ضدانعقاد خون و مکملهای گیاهی که خونریزی را افزایش میدهند
3. رعایت بهداشت دهان و دندان:
مسواک زدن و استفاده از نخ دندان
شستوشوی دهان با دهانشویه ضدعفونیکننده قبل از عمل
4. توصیههای روانشناسی و آرامش بیمار:
دوری از استرس و نگرانی
مطالعه روند عمل و مشاهده نمونههای قبل و بعد برای افزایش اعتماد به نفس

توصیههای بعد از عمل
1. مدیریت درد و تورم
استفاده از داروهای مسکن و ضد التهاب تجویز شده
کمپرس سرد برای کاهش تورم در ۲۴ ساعت اول
2. رعایت بهداشت دهان و دندان
شستوشوی ملایم دهان با دهانشویه توصیهشده
اجتناب از مسواک زدن مستقیم روی محل جراحی تا زمان بهبودی اولیه
3. تغذیه مناسب
روزهای اول از غذاهای نرم و ولرم استفاده شود
پرهیز از غذاهای سفت، داغ، تند یا چسبنده
نوشیدن آب کافی و جلوگیری از خشک شدن دهان
4. اجتناب از رفتارهای مضر
عدم مصرف سیگار، قلیان و الکل
پرهیز از فشار به لثهها (مثلاً بازی با دندانها یا گاز گرفتن محکم)
5. مراجعه منظم به پزشک
پیگیری روند بهبود و بررسی بخیهها
درمان سریع در صورت بروز تورم شدید یا خونریزی

🟣 دوره نقاهت روز به روز
۱–۲ تورم و حساسیت طبیعی است؛ استفاده از مسکن و کمپرس سرد
۳–۴ کاهش تورم، درد خفیف؛ ادامه رعایت تغذیه نرم و شستوشوی دهان
۵–۷ بهبود محسوس؛ بازگشت به فعالیتهای سبک روزمره
۸–۱۴ بهبود کامل بافت لثه؛ نتیجه اولیه قابل مشاهده
۱۵–۳۰ تثبیت نتایج نهایی و تقارن کامل خط لثه
> توجه: مدت زمان نقاهت بسته به روش انجام لیفت لثه (لیزر، جراحی یا غیرتهاجمی) متفاوت است. پزشک متخصص با توجه به شرایط بیمار برنامه دقیق مراقبت را ارائه میدهد.
🟡 نکات حرفهای برای بهبود سریع و پایدار
استفاده از دهانشویه حاوی آنتیبیوتیک در صورت تجویز پزشک
اجتناب از فشار روی لثهها هنگام خندیدن یا صحبت کردن
حفظ آرامش و کاهش استرس برای تسریع روند ترمیم
پیروی دقیق از برنامه تغذیه و داروهای تجویزی

❓️سوالات متداول
۱. آیا لیفت لثه درد دارد؟
با استفاده از بیحسی موضعی و تکنیکهای مدرن، درد به حداقل میرسد. برخی بیماران تنها کمی حساسیت یا فشار جزئی را تجربه میکنند که با مسکن قابل کنترل است.
2. دوره نقاهت چقدر است؟
بسته به روش انجام لیفت لثه:
لیزر: معمولاً ۲–۴ روز
جراحی سنتی: ۷–۱۰ روز
روش غیرتهاجمی: ۱–۳ روز
رعایت نکات مراقبتی و تغذیهای باعث تسریع بهبود میشود.
۳. آیا نتایج دائمی هستند؟
بله، با رعایت بهداشت دهان و دندان و مراقبتهای پس از عمل، نتایج لیفت لثه طولانیمدت و پایدار خواهند بود.
4. آیا همه افراد میتوانند لیفت لثه انجام دهند؟
اکثر افراد با سلامت عمومی مناسب و مشکلات قابل اصلاح لثه میتوانند تحت درمان قرار گیرند. در موارد خاص، پزشک ممکن است درمان را به تأخیر بیندازد یا روش مناسب دیگری پیشنهاد کند.
۵. آیا سن محدودیت دارد؟
لیفت لثه معمولاً برای بزرگسالان و نوجوانان با رشد کامل فک مناسب است. پزشک قبل از درمان وضعیت رشد فک را بررسی میکند.
۶. چند جلسه لازم است؟
بیشتر بیماران یک جلسه درمانی کافی است، اما در برخی موارد بسته به روش و شدت اصلاح، جلسات تکمیلی یا ترکیبی توصیه میشود.
۷. آیا عوارض دارد؟
عوارض لیفت لثه بسیار محدود است:
تورم جزئی و خونریزی مختصر
حساسیت موقت لثهها
تمامی این عوارض معمولاً در چند روز اول بهبود مییابند.

⚪️ چرا لیفت لثه در تهران؟ – بهترین انتخاب برای لبخند ایدهآل
تهران، به عنوان مرکز پزشکی و دندانپزشکی کشور، ترکیبی از متخصصین مجرب، کلینیکهای مجهز و تکنولوژی پیشرفته ارائه میدهد که تجربهای امن و حرفهای برای لیفت لثه فراهم میکند.
متخصصین مجرب و حرفهای: تهران دارای تعداد زیادی دندانپزشک زیبایی و جراح متخصص لثه است که تجربه سالها درمان موفق را دارند.
متخصصین با استفاده از روشهای مدرن و علمی، بهترین گزینه درمانی را برای هر بیمار انتخاب میکنند.
تجربه و نمونه کارهای واقعی پزشکان، ضمانت نتایج طبیعی و دقیق است.
کلینیکهای مجهز و مدرن: کلینیکهای تهران دارای تجهیزات پیشرفته لیزر، دستگاههای دیجیتال و ابزارهای جراحی دقیق هستند.
محیطهای بهداشتی، استریل و مجهز به تکنولوژی روز، امنیت و راحتی بیمار را تضمین میکنند.
بسیاری از کلینیکها خدمات مشاوره رایگان، بررسی قبل و بعد و پیگیری طولانیمدت ارائه میدهند.
تکنولوژی پیشرفته و روشهای نوین: استفاده از لیزر کمتهاجمی و دیجیتال دندانپزشکی باعث دقت بیشتر و کاهش تورم و خونریزی میشود.
سیستمهای تصویربرداری دیجیتال و طراحی لبخند نتایج قابل پیشبینی و سفارشی ارائه میدهند.
برخی کلینیکها از روشهای ترکیبی (لیزر + غیرتهاجمی) برای بهترین نتایج و رضایت بیمار استفاده میکنند.
تجربه کامل و سفارشی بیمار: هر بیمار قبل از عمل یک برنامه اختصاصی و شخصیسازیشده دریافت میکند.
بررسی دقیق وضعیت دندانها، لثهها و فرم صورت، باعث میشود نتیجه کاملاً طبیعی و متناسب با چهره بیمار باشد.
پیگیری پس از درمان و ارائه نکات مراقبتی، تثبیت نتایج و جلوگیری از عوارض احتمالی را تضمین میکند.
دسترسی آسان و خدمات متنوع
تهران به دلیل مرکزیت و دسترسی آسان، امکان رزرو سریع نوبت و مشاوره حضوری را فراهم خواهد کرد.
تماس با ما
برای ارتباط با ما کلیک کنید:
