توضیحات
کامپوزیت دندان
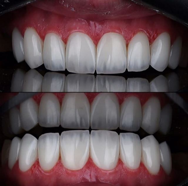
کامپوزیت دندان یکی از محبوبترین و پیشرفتهترین روشهای ترمیم و زیباسازی دندانها است. این روش با استفاده از ترکیبی از رزین و ذرات شیشه یا کوارتز، به دندانها ظاهری طبیعی و هماهنگ با دندانهای مجاور میدهد. متخصصان زیبایی دندان اغلب از این روش برای ترمیم شکستگیها، ترکها و یا رفع ناهماهنگیهای کوچک در دندانها استفاده میکنند. کامپوزیت دندان به دلیل قابلیت تطابق رنگ با دندانهای طبیعی و ایجاد ظاهری زیبا، بسیار مورد استقبال قرار گرفته است.
چرا کامپوزیت؟
یکی از دلایلی که کامپوزیت دندان به عنوان یک روش محبوب شناخته میشود، سرعت و سهولت اجرای آن است. این فرآیند در یک یا دو جلسه در مطب دندانپزشکی انجام میشود و نتیجهای فوری به همراه دارد. همچنین، متخصصین ترمیم و زیبایی دندان از این روش برای رفع لکههای دندان یا اصلاح فضاهای بین دندانی بهره میبرند. قیمت مناسبتر کامپوزیت در مقایسه با روشهایی مانند لمینت یا تاج دندان، این روش را به گزینهای مقرون به صرفه تبدیل کرده است.
تماس با ما
انواع کامپوزیت دندان
کامپوزیتها به دلیل ویژگیهای متنوع و کاربردهای خاص، به دستههای مختلفی تقسیم میشوند. در ادامه، انواع اصلی کامپوزیتهای دندان و ویژگیهای هر کدام توضیح داده شده است:
۱.کامپوزیت میکروفیلد
ویژگیها: کامپوزیتهای میکروفیلد دارای ذرات بسیار ریز هستند که باعث براقیت بالا و زیبایی طبیعیتر میشوند.
کاربرد: این نوع کامپوزیتها بیشتر برای ترمیمهای جلو دندان استفاده میشوند و به دلیل ظاهر طبیعی که ایجاد میکنند، بهویژه برای دندانهای جلویی که نیاز به تطابق دقیق با دندانهای طبیعی دارند، مناسب هستند.
۲.کامپوزیت هیبرید
ویژگیها: ترکیبی از ذرات ریز و درشت است که به این نوع کامپوزیتها استحکام و مقاومت بیشتری میدهد.
کاربرد: کامپوزیتهای هیبرید به دلیل ترکیب استحکام و زیبایی، برای نواحی که به مقاومت بیشتری نیاز دارند، مانند دندانهای خلفی، بسیار مناسب هستند. این نوع کامپوزیتها به خوبی میتوانند فشارهای مکانی را تحمل کنند و در عین حال ظاهری زیبا ارائه دهند.
۳.کامپوزیت نانوفیلد
ویژگیها: با استفاده از فناوری نانو، این کامپوزیتها دارای ذرات بسیار کوچکتر و دقت بالا در ساخت هستند که به استحکام و زیبایی بالاتری میانجامد.
کاربرد: کامپوزیتهای نانوفیلد به دلیل ویژگیهای ممتاز خود، برای هر دو نوع ترمیمهای جلویی و پشتی مناسب هستند. این نوع کامپوزیتها به خاطر استحکام بالا و تطابق رنگ عالی، انتخابی ایدهآل برای دندانهای قابل مشاهده و نواحی تحت فشار بالا هستند.
۴.کامپوزیت فلو
ویژگیها: دارای ویسکوزیته کمتری است که باعث میشود بهراحتی در نواحی کوچک و باریک قرار گیرد.
کاربرد: کامپوزیتهای فلو بیشتر برای ترمیمهای سطحی و پر کردن حفرههای کوچک استفاده میشوند. این نوع کامپوزیتها برای مواقعی که نیاز به پرکردن دقیق و سریع حفرههای کوچک است، کاربرد دارند و به دلیل روان بودن، بهراحتی میتوانند به داخل نواحی پیچیده نفوذ کنند.
مراحل انجام کامپوزیت دندان
مراقبت های بعد از کامپوزیت دندان
مراقبتهای صحیح پس از درمان کامپوزیت دندان برای حفظ طول عمر و بهبود نتایج بسیار مهم است. رعایت این نکات کمک میکند تا از مشکلات احتمالی جلوگیری شده و زیبایی و عملکرد کامپوزیت به حداکثر برسد. در ادامه، مهمترین مراقبتها پس از درمان کامپوزیت دندان ارائه شده است:
۱.اجتناب ازغذاهای سخت وچسبنده
توضیح: در روزهای اول پس از درمان، از مصرف غذاهای سخت و چسبنده مانند سفتیها و شیرینیهای چسبناک پرهیز کنید. این مواد میتوانند به کامپوزیت آسیب برسانند یا موجب کنده شدن آن شوند.
۲.مراقبت ازبهداشت دهان ودندان
توضیح: مسواک زدن منظم (دو بار در روز) با استفاده از مسواک نرم و خمیر دندان غیرساینده بسیار مهم است. همچنین، استفاده از نخ دندان برای پاکسازی فضاهای بین دندانها به حفظ سلامت کامپوزیت و دندانهای طبیعی کمک میکند.
۳.پرهیز ازمصرف مواد رنگی
توضیح: در چند روز اول پس از درمان، از مصرف مواد غذایی و نوشیدنیهای رنگی مانند قهوه، چای و توتفرنگی اجتناب کنید. این مواد میتوانند موجب تغییر رنگ کامپوزیت شوند.
۴.بازدیدهای منظم ازدندانپزشک
توضیح: برای بررسی وضعیت کامپوزیت و سلامت کلی دندانها، به طور منظم به دندانپزشک مراجعه کنید. این بازدیدها کمک میکند تا مشکلات احتمالی به سرعت شناسایی و رفع شوند.
۵.حفاظت ازدندانها دربرابر آسیب
توضیح: از انجام فعالیتهایی که ممکن است به دندانها آسیب برسانند، مانند دندانقروچه یا گاز زدن اشیاء سخت، خودداری کنید. استفاده از محافظ دهان هنگام ورزشهای پرخطر میتواند مفید باشد.
۶.پرهیز ازعادتهای ضعیف بهداشتی
توضیح: عادتهای مانند جویدن ناخن، باز کردن بستهها با دندان یا استفاده از دندانها برای انجام کارهای دیگر، میتواند به کامپوزیت آسیب بزند.
۷.توجه به هرگونه تغییر یامشکل
توضیح: در صورت مشاهده هرگونه تغییر در رنگ، شکل یا احساس ناراحتی در ناحیه کامپوزیت، به دندانپزشک خود اطلاع دهید. مشکلات زودهنگام میتوانند به راحتی برطرف شوند و از آسیبهای جدیتر جلوگیری کنند.
فرق لمینت دندان و کامپوزیت دندان
لمینت دندان و کامپوزیت دندان هر دو گزینههای محبوب برای بهبود ظاهر دندانها هستند، اما تفاوتهای کلیدی بین آنها وجود دارد که انتخاب مناسب را بر اساس نیازهای خاص شما تسهیل میکند. در اینجا به بررسی تفاوتها میپردازیم:
لمینت دندان
تعریف: لمینتهای دندانی پوستههای نازک و سفارشی از پرسلین هستند که بر روی سطح جلویی دندانها قرار میگیرند. این پوستهها بهطور خاص برای تغییر رنگ، شکل و اندازه دندانها طراحی شدهاند.
ویژگیها:
جنس: پرسلین یا مواد کامپوزیت مخصوص.
طول عمر: معمولاً بین ۷ تا ۱۵ سال.
استحکام: مقاومت بالا در برابر لکهزدن و تغییر رنگ.
ظاهر: ظاهر بسیار طبیعی با قابلیت تطابق کامل با رنگ دندانهای طبیعی.
فرآیند: نیاز به تراشیدن کم دندان برای قرارگیری لمینت؛ فرآیند نصب شامل چند جلسه و نیاز به قالبگیری و ساخت سفارشی.
کامپوزیت دندان
تعریف: کامپوزیتهای دندانی مواد رزینی هستند که بهطور مستقیم بر روی دندانها اعمال میشوند تا تغییرات مورد نظر مانند ترمیم، تغییر شکل و رنگ را انجام دهند.
ویژگیها:
جنس: مواد رزینی شامل ذرات شیشه یا کوارتز.
طول عمر: معمولاً بین ۵ تا ۷ سال.
استحکام: مقاومت کمتر نسبت به لمینت در برابر لکهها و تغییر رنگ.
ظاهر: ظاهر طبیعی با قابلیت تطابق با رنگ دندانها، اما ممکن است با مرور زمان دچار تغییر رنگ شود.
فرآیند: نیازی به تراشیدن زیاد دندان نیست؛ فرآیند نصب سریعتر و شامل جلسات کمتری نسبت به لمینت.


















