استان البرز ، شهر کرج ، سوم شرقی گوهردشت
فهرست مطالب
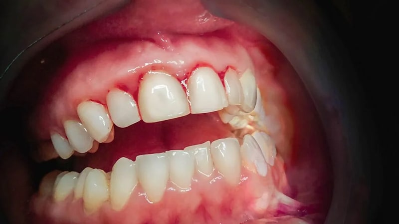
علائم و نشونه های وجود جرم:
· زردی یا قهوهای شدن دندانها (مخصوصاً در پشت دندانهای جلو و بین دندانها)
· خونریزی لثه هنگام مسواک زدن
· بوی بد دهان مداوم
· احساس زبری روی دندان با زبان
· التهاب و قرمزی لثهها

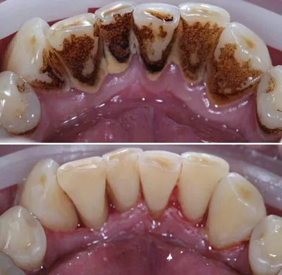
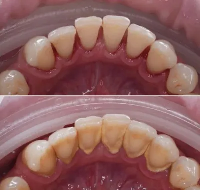
جرم گیری دندان در کرج
جرم گیری چیست ؟

جرم گیری دندان در کرج
جرم گیری دندان فرآیندی است که در آن دندانپزشک یا متخصص بهداشت دهان و دندان، با استفاده از ابزار های دستی یا اولتراسونیک، رسوبات سخت و نرمی را که به سطوح دندان ها و زیر خط لثه چسبیده اند، پاکسازی میکند. پلاک دندانی یک لایه نرم، چسبنده و بی رنگ از باکتری ها است که به طور مداوم بر روی دندان ها تشکیل میشود.کلینیک دندان پزشکی یگانه با ارائه ی بهترین خدمات در راستای جرم گیری دندان در کرج به شما بهترین کیفیت را ارائه میدهد.
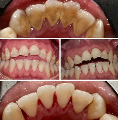
عوارض جرم دندان:
۱. بیماریهای لثه (پریودنتال):
جرم اصلیترین عامل ایجاد:
· ژنژیویت (التهاب لثه): مرحله اولیه بیماری لثه
· پریودنتیت: عفونت پیشرفته که باعث تحلیل استخوان فک و لق شدن دندانها میشود

جرم گیری دندان در کرج
۲. پوسیدگی دندان:
جرم محلی مناسب برای تجمع باکتریهای عامل پوسیدگی است.

جرم گیری دندان در کرج
۳. بوی بد دهان:
باکتریهای موجود در جرم، باعث تولید گازهای بدبو میشوند.

جرم گیری دندان در کرج
سوال های متداول:
❓ آیا جرمگیری درد دارد؟
معمولاً بدون درد است، اما در صورت حساسیت دندان یا التهاب شدید لثه، ممکن است دندانپزشک از بیحسی موضعی استفاده کند.
❓ آیا جرمگیری به مینای دندان آسیب میزند؟
· خیر! جرمگیری اصولی توسط متخصص، فقط جرم را برمیدارد و به مینای سالم آسیب نمیزند.
❓ هر چند وقت یکبار باید جرمگیری کنیم؟
معمولاً هر ۶ تا ۱۲ ماه یکبار، بسته به سرعت تشکیل جرم و وضعیت بهداشت فردی
❓ پس از جرمگیری چه انتظاری داشته باشیم؟
. حساسیت دندان به سرما و گرما (موقتی - معمولاً چند روز طول میکشد)
· لق به نظر رسیدن دندان (به دلیل از بین رفتن لایه جرم بین دندانها - موقتی)
· خونریزی کم لثه (به دلیل التهاب قبلی لثه)
مراقبت های پس از جرمگیری:

جرم گیری دندان در کرج
· مسواک زدن منظم با مسواک نرم
· استفاده از نخ دندان روزانه
· استفاده از دهانشویه (طبق توصیه دندانپزشک)
· پرهیز از غذاها و نوشیدنیهای رنگی در ۲۴-۴۸ ساعت اول
· عدم استعمال دخانیات
پیشگیری از تشکیل جرم:

جرم گیری دندان در کرج
· مسواک زدن صحیح حداقل دو بار در روز
· استفاده روزانه از نخ دندان
· معاینات منظم دندانپزشکی هر ۶ ماه
· محدود کردن مصرف مواد قندی
جرم گیری دندان در کرج

جرم گیری دندان در کرج
کلینیک دندانپزشکی یگانه یکی از معتبر ترین کلینیک های مطرح در خصوص خدمات دندانپزشکی از جمله جرم گیری دندان در کرج و ساید خدمات دندانپزشکی با مدیریت دکتر یگانه انجام میپذیرد با سابقه ی کاری بالا و دارای پروانه فعالیت در خصوص خدمات نوین دندان پزشکی بهترین کیفیت و کارایی را برای مشتریان ارائه میدهد.
کلینیک دندانپزشکی یگانه با ارائه بهترین خدمات جرم گیری با کمترین هزینه نسبت به شعبه های دیگر در خدمت مشتریان عزیز میباشد .

جرم گیری : 1,500,000 تومان
جرم گیری و برساژ : 1,900,000 تومان
جهت مشاوره با ما در ارتباط باشید .
شماره تماس : 09357276۸۶۰













