بیوگرافی

⚕دکترای دندانپزشکی در اصفهان با شماره نظام پزشکی 195266

⚕شرکت در دوره های ایمپلنت نماد زیر نظر حرفه ای ترین متخصصین ایران

⚕فارغ التحصیل دانشگاه علوم پزشکی اصفهان

⚕معاینه و مشاوره به صورت رایگان انجام می شود وهمچنین این مرکزطرف قرار داد

 🪧بیمه های کوثر🪧میهن،🪧ملت🪧پارسیان🪧معلم🪧تجارت نو🪧آتیه سازان

مرکز تخصصی ایمپلنت قسطی در فولادشهرایمپلنت قسطی در فولادشهر

مرکز ایمپلنت قسطی در فولادشهر  

مشاوره رایگان + طرح‌های اقساطی منعطف!  ایمپلنت دندان با شرایط پرداخت شما.

 دیگر منتظر نقدینگی نمان!   

 ایمپلنت دندانت را امروز شروع کن، هزینه‌اش را ماه‌به‌ماه بپرداز.برای دریافت نوبت و معاینه رایگان همین حالا با ایمپلنت قسطی در فولادشهر 👇 تماس بگیر...

مرکز تخصصی ایمپلنت قسطی در فولادشهر

 

 مراحل ایمپلنت دندان بطور جامع:

 

۱. مشاوره اولیه و ارزیابی تخصصی  

- معاینه دقیق دهان و دندان توسط متخصص  

- بررسی سوابق پزشکی و دارویی بیمار  

- طراحی پلن درمانی شخص‌سازی‌شده  

 ۲. تصویربرداری تشخیصی            

- عکسبرداری رادیولوژی (پانوراما، CBCT)  

- تحلیل تراکم استخوان و موقعیت‌شناسی عصبی  

- شبیه‌سازی سه‌بعدی محل ایمپلنت  

۳. پیوند استخوان (در صورت نیاز)  

- تقویت ساختار استخوان فک با مواد گرافت  

- دوره بهبودی ۳ تا ۶ ماهه برای ترمیم  

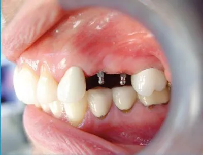
 ۴. نصب فیکسچر ایمپلنت            

- کاشت پایه تیتانیومی در استخوان فک  

- دوره اوسئواینتگریشن (جوش‌خوردگی ۳ تا ۶ ماهه)  

۵. مرحله پروتزی                     

- قالب‌گیری دیجیتال/سنتی پس از ترمیم  

- ساخت تاج دندانی متناسب با رنگ و آناتومی دندان‌های طبیعی  

۶. نصب نهایی پروتز                

- اتصال اباتمنت و تاج دندانی  

- تنظیم اکلوژن و تست عملکردی  

۷. مراقبت‌های پس از کاشت     

- ویزیت‌های کنترل ۲۴ ساعته، ۱ هفته‌ای و ماهانه  

- برنامه معاینات دوره‌ای هر ۳ ماه در سال اول  

- آموزش بهداشت ویژه ایمپلنت

-مرکز تخصصی ایمپلنت قسطی در فولادشهر

 

لبخند رویایی‌ات را اقساطی بپرداز!  

ایمپلنت دندان با پیش‌پرداخت کم و قسط‌های ماهانه سبک.

همین حالا با مرکز تخصصی ایمپلنت قسطی در فولادشهر 👇تماس بگیر/ زیبایی دندان‌هایت را به تعویق نینداز!

 

مرکز تخصصی ایمپلنت قسطی در فولادشهر

 ایمپلنت قسطی در فولادشهر 

کلینیک ایمپلنت قسطی در فولادشهر

مرکز تخصصی ایمپلنت قسطی در فولادشهرمرکز تخصصی ایمپلنت قسطی در فولادشهر

مرکز تخصصی ایمپلنت قسطی در فولادشهر

ایمپلنت قسطی 

مرکز تخصصی ایمپلنت قسطی در فولادشهر

مرکز تخصصی ایمپلنت قسطی در فولادشهر

مرکز تخصصی ایمپلنت قسطی در فولادشهر

 ایمپلنت اقساطی 

انواع ایمپلنت دندان :

ایمپلنت‌های دندانی، امروزه استاندارد طلایی جایگزینی دندان‌های از دست رفته محسوب می‌شوند.

با مرکز تخصصی ایمپلنت قسطی در فولادشهر می توانید با انتخاب روش مناسب کاشت ایمپلنت به‌طور دقیق به شرایط بالینی فرد (کیفیت و کمیت استخوان فک، موقعیت دندان‌های مجاور، سلامت عمومی)است.

مرکز تخصصی ایمپلنت قسطی در فولادشهر

مرکز تخصصی ایمپلنت قسطی در فولادشهر

۱. ایمپلنت به روش پانچ (کم‌تهاجمی / فلپ‌لس)

فرآیند: ایجاد سوراخ دقیق در لثه و استخوان زیرین با استفاده از یک پانچ مخصوص (ابزاری شبیه مته، بدون نیاز به برش و کنار زدن لثه).

مزایا: ترومای جراحی کمتر، خونریزی حداقلی، تورم و درد پس از عمل کاهش‌یافته، بهبودی سریع‌تر، حفظ بافت نرم اطراف.

مرکز تخصصی ایمپلنت قسطی در فولادشهر

مرکز تخصصی ایمپلنت قسطی در فولادشهر

2. ایمپلنت به روش جراحی سنتی (با برش فلپ)

فرآیند: ایجاد برش در لثه (فلپ)، کنار زدن بافت لثه برای دسترسی مستقیم به استخوان، ایجاد سوراخ با دریل‌های مخصوص، قراردادن ایمپلنت و بخیه زدن لثه.

مزایا: دید مستقیم و دسترسی کامل به استخوان، امکان انجام پیوند استخوان همزمان، کاربرد گسترده در شرایط پیچیده (کمبود استخوان، موقعیت‌های خاص).

مرکز تخصصی ایمپلنت قسطی در فولادشهر

مرکز تخصصی ایمپلنت قسطی در فولادشهر

۳. ایمپلنت با کمک لیزر (عمدتاً در مرحله جراحی بافت نرم)

فرآیند: استفاده از لیزر دندانپزشکی مرکز تخصصی ایمپلنت قسطی در فولادشهر (معمولاً دیود یا Er:YAG) برای کمک به ایجاد برش دقیق در لثه (در روش فلپ) یا شکل‌دهی به بافت لثه اطراف ایمپلنت،

مزایا: کاهش خونریزی (لیزر عروق را می‌بندد)، استریلیزاسیون بهتر ناحیه عمل، دقت بالا در برش بافت، ترمیم سریع‌تر و درد کمتر بافت نرم، کاهش نیاز به بخیه در برخی موارد.

مرکز تخصصی ایمپلنت قسطی در فولادشهر

مرکز تخصصی ایمپلنت قسطی در فولادشهر

۴. اتصال روکش به ایمپلنت: چسبی (سیمان‌شونده) vs. پیچی

روش اتصال با چسب (سیمان): روکش نهایی با سیمان مخصوص دندانپزشکی به اباتمنت ایمپلنت چسبانده می‌شود.

مزایا: زیبایی عالی (عدم نیاز به سوراخ دسترسی روی روکش)، احساس مشابه دندان طبیعی.

 

۵. ایمپلنت با پیوند استخوان (پودر استخوان / گرافت استخوانی)

فرآیند: در صورت نبود حجم یا تراکم کافی استخوان فک برای پشتیبانی ایمپلنت، از مواد پیوند استخوان استفاده می‌شود. این مواد می‌توانند:

    *   اتوگرافت (استخوان از خود بیمار - معمولاً از چانه، راموس فک یا لگن)

    *   آلوگرافت (استخوان انسانی فرآوری‌شده بانک استخوان)

    *   زنوگرافت (استخوان حیوانی فرآوری‌شده - معمولاً گاوی)

    *   آلوپلاست (مواد مصنوعی زیست‌سازگار مانند هیدروکسی‌آپاتیت، TCP)

-اهداف: افزایش حجم استخوان (افزایش ارتفاع یا عرض)، پر کردن نقایص استخوانی، تحریک رشد استخوان جدید (استئواینداکشن).

مرکز تخصصی ایمپلنت قسطی در فولادشهر

مرکز تخصصی ایمپلنت قسطی در فولادشهر

انواع ایمپلنت دندان 

دنیای ایمپلنتولوژی با فناوری دیجیتال متحول شده است. در کلینیک ما، با استفاده از برنامه‌ریزی سه‌بعدی و راهنمای جراحی دیجیتال، ایمپلنت‌ها با حداکثر دقت و سرعت در جایگاه ایده‌ال خود قرار می‌گیرند.

 این روش کاملاً قابل پیش‌بینی، کم‌تهاجمی و دوره بهبودی آن بسیار کوتاه‌تر است.مرکز تخصصی ایمپلنت قسطی در فولادشهر

برای داشتن دندانی طبیعی، زیبا و ماندگار که حس واقعی دندان خودتان را دارد،

با متخصصان ما مشورت کنید. با تماس با مشاوران ما نتیجه نهایی،انتظارات شما خواهد بود.

گالری ما...

مرکز تخصصی ایمپلنت قسطی در فولادشهر

طراح سایت و سئو :

طراح سایت : 09928611635