آدرس مرکز 1: اصفهان خیابان وحید بین پل وحید و چهارراه خاقانی مجتمع امین طبقه چهارم واحد 30
ایمپلنت دندان
راه حلی دائمی برای لبخندی زیبا
ایمپلنت دندان به عنوان یکی از بهترین و پایدارترین روشهای جایگزینی دندانهای از دست رفته شناخته میشود. این روش نه تنها زیبایی لبخند شما را بهبود میبخشد، بلکه به حفظ سلامت دهان و دندانها نیز کمک میکند. در این مقاله، به بررسی جامع ایمپلنت دندان، مزایا، مراحل انجام و نکات مهم آن میپردازیم.
ایمپلنت دندان چیست؟
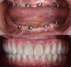
ایمپلنت دندان یک قطعه تیتانیومی است که به عنوان ریشه دندان در استخوان فک قرار میگیرد. این قطعه با استخوان فک جوش میخورد و پایه محکمی برای قرار دادن دندان مصنوعی (روکش) فراهم میکند. ایمپلنتها میتوانند جایگزین یک یا چند دندان از دست رفته شوند و حتی به عنوان نگهدارنده برای پروتزهای کامل دندانی نیز استفاده شوند.
مزایای ایمپلنت دندان:
- پایداری و دوام بالا: ایمپلنتهای دندانی از دوام بالایی برخوردارند و میتوانند سالها بدون مشکل به شما خدمت کنند.
- ظاهر طبیعی: دندانهای مصنوعی که بر روی ایمپلنت قرار میگیرند، ظاهری کاملا طبیعی دارند و با دندانهای دیگر شما هماهنگ هستند.
- بهبود عملکرد جویدن: ایمپلنتها به شما امکان میدهند تا به راحتی غذا بخورید و از جویدن لذت ببرید، درست مانند دندانهای طبیعی خودتان.
- حفظ سلامت دهان: ایمپلنتها به حفظ سلامت لثهها و استخوان فک کمک میکنند و از تحلیل استخوان جلوگیری میکنند.
- افزایش اعتماد به نفس: داشتن لبخندی زیبا و کامل میتواند تاثیر زیادی در افزایش اعتماد به نفس شما داشته باشد.
مراحل انجام ایمپلنت دندان:
- معاینه و مشاوره: در ابتدا، دندانپزشک شما را معاینه میکند و با بررسی وضعیت فک و دندانها، مناسب بودن ایمپلنت برای شما را تعیین میکند.
- جراحی: در مرحله بعد، ایمپلنت در استخوان فک قرار داده میشود. این جراحی معمولا تحت بیحسی موضعی انجام میشود و درد زیادی ندارد.
- دوره نقاهت: پس از جراحی، مدتی زمان لازم است تا ایمپلنت با استخوان فک جوش بخورد (osseointegration). این مدت زمان معمولا چند ماه طول میکشد.
- قرار دادن روکش: پس از جوش خوردن ایمپلنت، روکش دندان مصنوعی بر روی آن قرار داده میشود.
نکات مهم در مورد ایمپلنت دندان:
- انتخاب دندانپزشک متخصص: انتخاب یک دندانپزشک متخصص و با تجربه در زمینه ایمپلنت، از اهمیت زیادی برخوردار است.
- رعایت بهداشت دهان: پس از انجام ایمپلنت، رعایت بهداشت دهان و دندانها بسیار مهم است تا از عفونت و مشکلات دیگر جلوگیری شود.
- مراجعه منظم به دندانپزشک: برای بررسی وضعیت ایمپلنت و انجام معاینات دورهای، به طور منظم به دندانپزشک خود مراجعه کنید.
هزینه ایمپلنت دندان:
هزینه ایمپلنت دندان به عوامل مختلفی مانند تعداد ایمپلنتها، نوع ایمپلنت، و تخصص دندانپزشک بستگی دارد. برای اطلاع دقیق از هزینهها، بهتر است با دندانپزشک خود مشورت کنید.
جهت مشاوره و رزرو نوبت با ما تماس بگیرید
ایمپلنت دندان یک راه حل دائمی و موثر برای جایگزینی دندانهای از دست رفته است. با انجام ایمپلنت، شما میتوانید لبخندی زیبا و سالم داشته باشید و از مزایای آن برای سالها بهرهمند شوید.
ایمپلنت دندان در باغ بهادران
بهترین دکتر ایمپلنت در باغ بهادران
ایمپلنت دیجیتال در باغ بهادران
ایمپلنت بدون درد در باغ بهادران
ایمپلنت فوری در باغ بهادران
ایمپلنت سوئیسی در باغ بهادران
ایمپلنت اقساطی در باغ بهادران
گالری تصاویر
مسیریابی مرکز اصفهان
مسیریابی مرکز زرین شهر
آدرس مرکز 2: زرینشهر ،زاینده رود ، بیستجان ،خیابان پیامبر ،جنب مسجد ابلفضل (ع) 09917476469






















































