آدرس مرکز 1: اصفهان خیابان وحید بین پل وحید و چهارراه خاقانی مجتمع امین طبقه چهارم واحد 30
ایمپلنت دندان
راهحلی پیشرفته برای لبخندی طبیعی: ایمپلنت دندان در تیران و کرون
از بین رفتن دندان میتواند زندگی روزمره و اعتمادبهنفس هر فردی را تحت تأثیر قرار دهد. خوشبختانه، با پیشرفتهای علمی و حضور متخصصان حرفهای، خدمات ایمپلنت دندان در

تیران و کرون حالا در دسترس کسانی قرار گرفته که به دنبال جایگزینی دائمی برای دندانهای از دسترفته خود هستند. این روش نهتنها ظاهر طبیعی دارد، بلکه عملکردی کاملاً شبیه به دندان طبیعی دارد.
چگونه بهترین دکتر ایمپلنت در تیران و کرون را پیدا کنیم؟
در موفقیت درمان ایمپلنت، مهارت پزشک حرف اول را میزند. اما بهترین دکتر ایمپلنت در تیران و کرون تنها کسی نیست که گواهینامه دارد؛ بلکه کسی است که با دقت تشخیص میدهد، با حوصله وقت میگذارد، از تجهیزات روز استفاده میکند و درمان را به صورت اختصاصی برای شرایط دهان شما برنامهریزی میکند. انتخاب درست در این مرحله، موفقیت بلندمدت ایمپلنت را تضمین میکند.
ایمپلنت دیجیتال در تیران و کرون؛ دقت میلیمتری در کاشت دندان
دیگر لازم نیست برای کاشت دندان، حدس و گمان به کار برده شود! با استفاده از فناوری پیشرفته ایمپلنت دیجیتال در تیران و کرون، تمام مراحل درمان از طریق نرمافزارهای دقیق طراحی شده و محل کاشت ایمپلنت با دقت بالا مشخص میشود. این روش خطاهای انسانی را کاهش داده و فرآیند درمان را سریعتر و مطمئنتر میسازد.

ایمپلنت بدون درد در تیران و کرون؛ تجربهای راحتتر از آنچه فکر میکنید
برای بسیاری از بیماران، ترس از درد بزرگترین مانع درمان است. اما حقیقت این است که با روشهای نوین بیحسی و استفاده از تجهیزات پیشرفته، ایمپلنت بدون درد در تیران و کرون کاملاً قابل انجام است. از مرحله آمادهسازی تا کاشت و بهبودی، همه چیز طوری طراحی میشود که کمترین ناراحتی را تجربه کنید.
ایمپلنت فوری در تیران و کرون؛ لبخندتان را در کوتاهترین زمان برگردانید
زمان برای بسیاری از بیماران ارزشمند است. اگر نمیخواهید هفتهها یا ماهها بدون دندان بمانید، ایمپلنت فوری در تیران و کرون گزینهای سریع و مؤثر برای شماست. با استفاده از شرایط خاص بالینی و بررسی دقیق استخوان فک، میتوان در مدت بسیار کوتاه، دندان را جایگزین کرد و اعتمادبهنفس را بازگرداند.
ایمپلنت سوئیسی در تیران و کرون؛ ترکیب کیفیت، دوام و زیبایی
یکی از پرطرفدارترین برندهای ایمپلنت در جهان، برندهای سوئیسی هستند. دلیل آن هم روشن است: طراحی حرفهای، طول عمر بالا و سازگاری کامل با بدن. اگر شما هم به دنبال بهترین نتیجه ممکن هستید، ایمپلنت سوئیسی در تیران و کرون میتواند انتخابی مطمئن و حرفهای باشد.
ایمپلنت اقساطی در تیران و کرون؛ پرداخت آسان برای همه
هزینهی کاشت دندان نباید مانعی برای درمان باشد. در مراکز معتبر، طرحهای مالی متنوعی ارائه میشود تا همه افراد بتوانند بدون فشار مالی از خدمات استفاده کنند. ایمپلنت اقساطی در تیران و کرون راهی است برای دسترسی آسانتر به درمانی باکیفیت، بدون نیاز به پرداخت کامل در همان ابتدا.
ایمپلنت دندان در تیران و کرون
بهترین دکتر ایمپلنت در تیران و کرون
ایمپلنت دیجیتال در تیران و کرون
ایمپلنت بدون درد در تیران و کرون
ایمپلنت فوری در تیران و کرون
ایمپلنت سوئیسی در تیران و کرون
ایمپلنت اقساطی در تیران و کرون
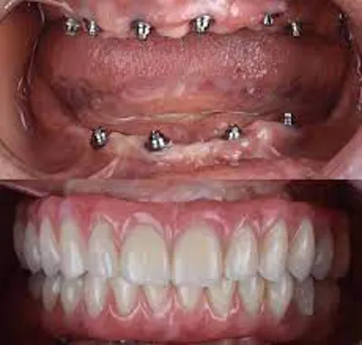
گالری تصاویر
نتیجهگیری
آیا وقت آن نرسیده که لبخندتان را بازسازی کنید؟
اگر دندانی از دست دادهاید یا به فکر جایگزینی دندان مصنوعی یا بریج هستید، اکنون زمان آن رسیده که اقدام کنید. با وجود گزینههایی مثل ایمپلنت دیجیتال، ایمپلنت فوری، اقساطی یا حتی ایمپلنت سوئیسی در تیران و کرون، دیگر هیچ بهانهای برای تأخیر در درمان باقی نمیماند.
جهت مشاوره و رزرو نوبت با ما تماس بگیرید
ایمپلنت دندان در تیران و کرون
بهترین دکتر ایمپلنت در تیران و کرون
ایمپلنت دیجیتال در تیران و کرون
ایمپلنت بدون درد در تیران و کرون
ایمپلنت فوری در تیران و کرون
ایمپلنت سوئیسی در تیران و کرون
ایمپلنت اقساطی در تیران و کرون
مسیریابی مرکز اصفهان
مسیریابی مرکز زرین شهر
آدرس مرکز 2: زرینشهر ،زاینده رود ، بیستجان ،خیابان پیامبر ،جنب مسجد ابلفضل (ع) 09917476469
























