آدرس مرکز 1: اصفهان خیابان وحید بین پل وحید و چهارراه خاقانی مجتمع امین طبقه چهارم واحد 30
🌟ایمپلنت دندان
🦷 لبخند دوباره، زندگی دوباره | ایمپلنت دندان در درچه
تصور کن بعد از مدتی خجالت از خندیدن، حالا روبروی آینه لبخند میزنی و هیچکس متوجه نمیشود که این دندانها ایمپلنت هستند! این رؤیا نیست، این واقعیتِ خدمات تخصصی ایمپلنت

دندان در درچه است؛ جایی که علم و هنر کنار هم قرار گرفتهاند تا لبخندت را بازسازی کنند.
🌟 چرا ایمپلنت؟ چون لبخندت ارزشش را دارد
ایمپلنت، تنها یک پیچ فلزی نیست که در فک قرار میگیرد؛ بلکه پایهای است برای اعتمادبهنفس، غذا خوردن بدون نگرانی و صحبت کردن بدون ترس. برخلاف دندان مصنوعی که جابجا میشود یا بریج که به دندانهای سالم آسیب میزند، ایمپلنت دندان راهکاری حرفهای، دائمی و دقیق است.
👨⚕️ بهترین دکتر ایمپلنت در درچه را چطور پیدا کنیم؟
موفقیت ایمپلنت فقط به جنس متریال بستگی ندارد؛ مهارت پزشک، تجربه کاری، و تکنولوژیهایی که استفاده میکند هم حیاتی است. اگر به دنبال بهترین دکتر ایمپلنت در درچه هستی، به دنبال کسی باش که هم دانش روز دارد و هم با حوصله، طرح درمان را برای شرایط دهانت شخصیسازی میکند.
💻 ایمپلنت دیجیتال در درچه؛ دقتی در حد میلیمتر
ایمپلنت دیجیتال یعنی استفاده از تکنولوژیهای سهبعدی برای برنامهریزی کاشت دندان. در روشهای مدرن ایمپلنت دیجیتال در درچه، موقعیت دقیق ایمپلنت با اسکن دیجیتال مشخص شده و احتمال خطا به حداقل میرسد. لبخندت نهتنها زیباست، بلکه کاملاً علمی طراحی شده.

😌 ایمپلنت بدون درد در درچه؛ تجربهای فراتر از انتظار
بله، ایمپلنت بدون درد در درچه واقعاً امکانپذیر است! با استفاده از بیحسیهای موضعی پیشرفته، لیزرهای کمتهاجم و داروهای آرامبخش، فرآیند کاشت دندان بهقدری راحت انجام میشود که خیلیها میگویند: "اصلاً متوجه نشدم تموم شد!"
⚡ ایمپلنت فوری در درچه؛ وقتت را به لبخندت بده، نه مطبها
اگر وقت کافی نداری یا نمیخواهی مدت زیادی بدون دندان بمانی، ایمپلنت فوری در درچه برای تو طراحی شده. در بعضی شرایط خاص، میتوان بلافاصله بعد از کشیدن دندان، ایمپلنت را کاشت و حتی یک تاج موقت هم قرار داد. همهچیز سریع، تمیز و حرفهای.
🇨🇭 ایمپلنت سوئیسی در درچه؛ وقتی کیفیت مهم است
اگر کیفیت، طول عمر و تطابق کامل با بدن برایت مهم است، سراغ ایمپلنت سوئیسی در درچه برو. برندهای معروف سوئیسی مثل Straumann یا Nobel Biocare بهخاطر استحکام بالا، سازگاری زیستی و زیبایی بینظیرشان محبوبترین انتخاب حرفهایها هستند.

💳 ایمپلنت اقساطی در درچه؛ لبخند امروز، پرداخت فردا
نگران هزینه نباش! بیشتر کلینیکهای معتبر در درچه خدمات ایمپلنت اقساطی را با شرایط بسیار آسان ارائه میدهند تا هیچکس لبخندش را فدای دغدغه مالی نکند.
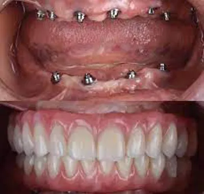
گالری
🟢 جمعبندی
الان بهترین زمانه برای بازسازی لبخند
ایمپلنت دندان در درچه فقط یک درمان نیست، شروعی دوباره برای اعتمادبهنفس و کیفیت زندگی است. از ایمپلنت دیجیتال و بدون درد تا برندهای سوئیسی با پرداخت اقساطی، همهچیز برای لبخند تو آماده شده. وقتشه که تصمیم بگیری!
مسیریابی مرکز اصفهان
مسیریابی مرکز زرین شهر
آدرس مرکز 2: زرینشهر ،زاینده رود ، بیستجان ،خیابان پیامبر ،جنب مسجد ابلفضل (ع) 09917476469




































