آدرس مرکز 1: اصفهان خیابان وحید بین پل وحید و چهارراه خاقانی مجتمع امین طبقه چهارم واحد 30
درباره ایمپلنت
درونکاشت دندانی یا پروتز ایمپلنت دندانی، بخشی از درونکاشت (ایمپلنت) دندانی است که به صورت دندان برساخته (پروتزی) در دهان بیمار، جایگزین دندان طبیعی وی میگردد. امروزه دندانپزشکی ایمپلنت را هنر جایگزینی دندانهای از دست رفته توصیف میکنند. ایمپلنتها برای جایگزینی یک یا چند دندان و برای نگه داشتن و تأمین ریتنشن پروتز کامل اوردنچر به کار میروند. ایمپلنتهای دندانی از تیتانیوم ساخته میشوند و با استخوان استئو اینتگره میشوند. بعد از معاینات اولیه در ابتدا فیکسچر یا همان قسمت ریشه ایی پروتز با استفاده از جراحی کوچکی در داخل فک و به جای دندان از دست داده شده، جاگذاری میگردد و بعد از اطمینان از ثبات آن که معمولاً ۴ الی ۶ ماه به طول میانجامد، قسمت رویی یا همان تاج دندان (Crown) گذاشته میشود. اگر فردی دندان خود را از دست بدهد ایمپلنت در اندازه همان ریشه به جای آن قرار داده میشود. ایمپلنتها قطعاتی در اندازه دندان طبیعی میباشند. ایمپلنتها توسط ابزار

بسیار دقیقی کنترل میگردند و توسط دستگاههای بسیار دقیق ساخته میشود. به دلیل خصوصیات ذکر شده برای ایمپلنت دندان، هنگامی در فک بیمار قرار بگیرد، یک جسم خارجی بهشمار نمیرود و با قرار گرفتن در فک بیمار با آن سازگار میشود. ایمپلنت باعث رشد استخوانهای کنار دندان هم میشود و از تحلیل استخوان فک جلوگیری به عمل میآورد. تهرا
ایمپلنت دندان در بهارستان
بهترین دکتر ایمپلنت در بهارستان
ایمپلنت دیجیتال در بهارستان
ایمپلنت بدون درد در بهارستان
ایمپلنت فوری در بهارستان
ایمپلنت سوئیسی در بهارستان
ایمپلنت اقساطی در بهارستان
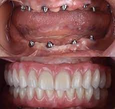
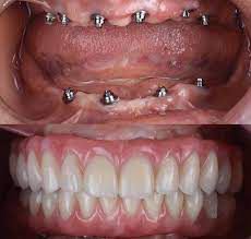
گالری تصاویر
ایمپلنت دیجیتال چیست و چه کاربردی دارد؟
ایمپلنت دیجیتال یک روش فوق العاده برای اشخاصی است که از کاشت دندان و جراحی می ترسند. دندانپزشکی با محوریت دیجیتال روز به روز گسترده تر می شود. نظرسنجی ها نشان می دهد میزان رضایت افرادی که از ایمپلنت دیجیتال استفاده کرده اند نسبت به کسانی که از روش های سنتی استفاده کرده اند دو برابر است.
ایمپلنت دیجیتال از روش های ایمپلنت دندان بدون جراحی است؛ که امروزه افراد زیادی به دنبال آن هستند. دندانپزشکی دیجیتال در حوزه های مختلف دندانپزشکی از جمله تشخیص، طرح درمان، زیبایی، ایمپلنت و بازسازی های فکی-صورتی نیز وارد شده است.
ایمپلنت دیجیتال، بهترین ایمپلنت فوری یا یک روزه
در ادامه ایمپلنت دیجیتال را با روش های سنتی آن به طور کامل مقایسه خواهیم کرد. تکنیک جایگذاری ایمپلنت دیجیتال جهت حفظ ساختار لثه، استخوان فک و جلوگیری از تحلیل بیشتر لثه و استخوان به کار میرود. در این روش بعد از بی حسی موضعی ، لثه به قطر ایمپلنت پانچ میشود و از همان محل پانچ لثه، ایمپلنت جای گذاری میشود.
ایمپلنت دیجیتال در اصفهان
کاشت دندان بدون ایمپلنت در اصفهان

هاین روش کمترین درد ممکن بعد از جایگذاری ایمپلنت را خواهد داشت و نیازی به استفاده از آنتی بیوتیکهای وسیع الطیف نخواهد بود. ایمپلنت دیجیتال برای افرادی که حجم استخوان فک آنها مناسب است استفاده میشود؛ و اگر دقیق و متبحرانه توسط متخصص ایمپلنت انجام شود، نتایج عالی بدست میآید. این روش ضخامت لثهای ایده آل ایجاد میکند که برای زیبایی دندانهای جلویی از اهمیت به سزایی برخوردار است.
در روش های سنتی ایمپلنت بیماران می بایست بعد از جراحی لثه به منظور کم شدن التهاب و هم چنین محکم شدن ریشه فلزی دندان برای مدتی بدون دندان سپری کنند این در حالی است که در ایمپلنت دیجیتال بلافاصله بعد از جایگذاری پایه دندان در لثه، روکش موقت روی آن قرار گرفته می شود که در این صورت دیگر بیمار نگران بی دندان بودنش نخواهد شد.
میزان استخوان های اطراف پایه فلزی تأثیر کاملا مستقیم در طول عمر ایمپلنت دارد. با ایمپلنت دیجیتال شما دیگر بسیاری از مشکلاتی که روش های سنتی دارند را نخواهید داشت . در ایمپلنت دیجیتال ابتدا می بایست فرایند جراحی فک بیمار که به وسیله نرم افزار و اسکن های رادیو گرافی که به CBCT معروف هستند انجام شود. پس از آن شابلون جراحی توسط چاپگر سه بعدی ساخته می شود و سپس محل های از پیش تعیین شده جراحی سوراخ می شوند .
برای جلوگیری از لغزش دست در هنگام جراحی سیلندی فلزی در محل سوراخ شده قرار داده می شود و بصورت هم زمان روکش موقت ایمپلنت بوسیله ماشین CNC ساخته می شود تا دندانپزشک متخصص در یک جلسه اقدام به کاشت ایمپلنت و بارگذاری پروتز بیمار کند.
ایمپلنت دیجیتال برای چه کسانی مناسب تر است؟
ایمپلنت دیجیتال کاربردهای زیادی دارد و حتی افرادی که دیابت دارند هم می توانند از آن استفاده کنند. اگر یکی از شرایط زیر را دارید بهتر است از ایمپلنت دیجیتال برای کاشت دندان های خود استفاده کنید .
- *بیماران سیگاری
- *بیماران دیابتی
- *بیمارانی که عرض استخوان بسیار کمی دارند و به آنها جراحیهای وسیع پیوند استخوان پیشنهاد شده است.
- * بیمارانی که ارتفاع استخوان کمی دارند و به آنها جراحیهای پیشرفته جابجایی عصب پیشنهاد شده است.
- * کسانی که نیاز به روکش فوری دارند.
- *کسانی که ترس از جراحی کاشت دندان دارند.
روش های دیگر برای انجام ایمپلنت
اکثر مردم فکر می کنند که ایمپلنت دندان ممکن است موجب وارد شدن آسیب به دندان شود اما باروش جدید بی هوشی، هیچ ناراحتی در طول این جراحی وجود نخواهد داشت، همچنین با روش ایمپلنت دیجیتال این درد و ناراحتی بیش از پیش کاهش می یابد، زیرا نیازی به برش لثه نیست، این روش به ما اجازه می دهد تا اختلال در لثه و فک را به حداقل برسانیم.
دندانپزشکی دیجیتال و دندانپزشکی سنتی
برای کاهش مشکلات احتمالی دندانپزشکی سنتی راه حل های پیشرفته ای برای کمک به دندانپزشکی دیجیتال ارائه شده است. دندانپزشکی با محوریت دیجیتال می تواند جایگزین مناسبی برای روش های درمان سنتی باشد. با اطمینان می توان گفت در آینده ای نه چندان دور، دندانپزشکی دیجیتال کاملا رایج خواهد شد و با توجه به دیجیتالی شدن روند های درمانی از جمله:
- *درمان ایمپلنت
- *سرعت
- *دقت
- *کیفیت
و زیبایی کار نهایی افزایش می یابد و در نتیجه خلق درمان های بهتر برای بیماران صورت می پذیرد.

ایمپلنت دیجیتال و کوتاه شدن زمان جراحی
یکی از بهترین فواید کاشت ایمپلنت دیجیتال این است که مدت زمان کاشت ایمپلنت دیجیتال زیاد طول نمی کشد. این در حالی است که مدت زمان کاشت دو واحد ایمپلنت ممکن است ۱۳۰ دقیقه زمان ببرد. مرحله جراحی ساختگی در روش جراحی دیجیتال این امکان را به ما می دهد، تا تمام مراحل جراحی را بتوان قبل از اجرا به انجام رساند. در نتیجه مراحل ایمپلنت کمتر از ۱۵ دقیقه انجام میشود.
تحویل فوری روکش ایمپلنت
با استفاده از روش کاشت دندان به روش دیجیتال به احتمالی قوی روکش موقت در همان روز قابل دریافت خواهد بود و هم چنین در این روش بازسازی سریع تر صورت خواهد گرفت.
وابستگی کمتر به دندانپزشک
در روش های سنتی جراحی ایمپلنت می بایست برای انجام هر مرحله کاشت دندان به دندانپزشک مراجعه کنید؛ به گونه ای که حداقل هفت بار برای کاشت ایمپلنت می بایست به دندانپزشک مراجعه کنید. اما با روش دیجیتال کاشت دندان، تنها ۲-۳ بار ملاقات با دندانپزشک احتیاج است.
زمان بازیابی کوتاه دندان
به این دلیل که جراحی کاشت ایمپلنت بدون برش و بخیه انجام می شود؛ در نتیجه زمان نقاهت بسیار کاهش می یابد و افرادی که متقاضی کاشت ایمپلنت هستند کمتر دچار ناراحتی میشوند.
ملزومات درمان ایمپلنت دیجیتال دندان
باید قبل ار انجام کار از محیط دهان قالب گیری کنیم؛ البته اخیرا دوربین های داخل دهانی جدیدی معرفی شدهاند که با اسکن کردن محیط دهان کار قالب گیری را به صورت دیجیتالی انجام می دهند و نیاز به قالب گیری فیزیکی را برطرف می کنند.
در ادامه به وسیله فایل قالب دیجیتال یا همان اسکن دهان بیمار و فایل رادیوگرافی (CBCT) فک بیمار در نرم افزار، شبیه سازی می شود و پس از آن، بهترین موقعیت کاشت ایمپلنت با توجه به کیفیت استخوان فک بیمار و محل قرارگیری سینوس یا عصب تعیین و مراحل جراحی شبیه سازی خواهد شد. پس از تایید نهایی راهنمای جراحی ساخته خواهد شد.
مزایای ایمپلنت دیجیتال
همان طور که اشاره شد یکی از بهترین روش های کاشت دندان ، ایمپلنت دیجیتال است که مزایای زیادی دارد .مهم ترین مزیت این روش نداشتن درد و تورم است بنابراین دوران نقاهت آن خیلی طول نخواهد کشید . از دیگر مزایای ایمپلنت دیجیتال می توان به موارد زیر اشاره کرد :
- *کاهش زمان کاشت دندان
- *کاهش درد بعد از کاشت دندان
- *کاهش تورم بعد از کاشت دندان
- *بهترین روش برای بیماران سیگاری
- *بهترین روش برای بیماران دیابتی
- *بهترین روش برای بیمارانی که عرض استخوان بسیار کمی دارند و به آنها جراحیهای وسیع پیوند استخوان پیشنهاد شده است.
- *بهترین روش برای بیمارانی که ارتفاع استخوان کمی دارند و به آنها جراحیهای پیشرفته جابجایی عصب پیشنهاد شده است.
- *بهترین روش برای کسانی که نیاز به روکش فوری دارند.
- *بهترین روش برای کسانی که ترس از جراحی کاشت دندان دارند.
- *جلوگیری از تحلیل استخوان بعد از کاشت دندان
- *کاهش خونریزی بعد از کاشت دندان
- *استفاده از غذای طبیعی بلافاصله بعد از کاشت دندان
- *انجام کارهای عادی روزمره بلافاصله بعد از کاشت دندان
- *حفظ لثه بیندندانی و درنتیجه ایجاد زیبایی در دندانهای جلو و جلوگیری از گیر غذایی در دندانهای عقب
- *راحتی حین و بعد از جراحی برای بیمار (کاهش صدای آزاردهنده موتور ایمپلنت حین جراحی)
- *کاهش عوارض بعد از جراحی به دلیل عدم برش لثه
- *عدم نیاز به بخیه
- *کاهش تعداد جلسات ویزیت برای یک ایمپلنت از ۷ جلسه به ۳ جلسه
عوارض ایمپلنت دیجیتال
معایب ایمپلنت دیجیتال نسبت به فواید آن بسیار ناچیز است از جمله معایب آن هزینه بالای ایمپلنت دیجیتال نسبت به سایر روشها از جمله ایمپلنت معمولی است. دلیل بالا بودن این روش به موارد زیر برمیگردد:
- *استفاده از نیروی متخصص در مراحل طراحی و ساخت
- *کاربرد دستگاههای پیشرفته طراحی
- *استفاده از متریال درجه یک و برند در اجرای عملیات ایمپلنت و تجهیزات و متریال وارداتی
- *بهکارگیری دانش و تخصص فنی بالا
- *طراحی دقیق
ایمپلنت ارزان قیمت چه ویژگیهایی دارد؟
اگر در درمان ایمپلنت، پس از تحمل سالها بیدندانی و مشکلات جویدن غذا و نمای بد لبخند، به دنبال ایمپلنت ارزان هستید، به شما پیشنهاد میکنیم که در انتخاب خود تجدیدنظر کنید، قطعاً هیچ ارزانی بیعلت نیست، پروسه کاشت ایمپلنت دارای فرآیندهای مختلفی است که دارای هزینه است و هزینه عمده آن مربوط به نوع ایمپلنت و مراحل تولید لابراتواری ساخت روکش است.
اگر از نوع ایمپلنت غیرمرغوب استفاده کنید، قطعاً با مشکلاتی از جمله پسزدگی ایمپلنت داخل استخوان فک و عدم جوش خوردن آن مواجه خواهید شد. اگر به دنبال ایمپلنت ارزان در اصفهان هستید ما به شما ایمپلنت کرهای و ایمپلنت نئودنت تحت لیسانس سوئیس را پیشنهاد میکنیم. این نوع ایمپلنتها از برندهای معتبر میباشند که ما در مرکز ایمپلنت دکتر محمد عاطفت پس از سالها استفاده، رضایت دندانپزشک و بیماران را در کاشت این نوع ایمپلنت مشاهده کردهایم.
آیا ایمپلنت دیجیتال نسبت به سایر جراحی های کاشت دندان درد کمتری دارد؟
نکته اصلی ایمپلنت دیجیتال تکنیک های پیچیده رادیوگرافی است که با فناوری رایانه همراه است . فناوری رایانه کمک می کند جراحی کاشت دندان را دقیق انجام دهید. با تصویر برداری سه بعدی می توان ساختار استخوان و نقشه برداری از مناطقی که بهترین تراکم استخوان را دارند به صورت دقیق انجام داد .
ایمپلنت دیجیتال به حداقل برش نیاز دارد؛ زیرا در آن برای بررسی وضعیت استخوان و عصب از عکس های سه بعدی استفاده می شود. در جراحی سنتی در امتداد لثه تا استخوان باید برشی عمیق زده شود . سوراخی که برای کاشت دندان ایجاد می شود به قدری کوچک است که دیگر نیازی به بخیه ندارد. معمولاً کل جراحی ایمپلنت دیجیتال در هر ۱ تا ۲ کاشت دندان حدود ۱۰ تا ۲۰ دقیقه طول می کشد.

تفاوت ایمپلنت دیجیتال و معمولی
بین ایمپلنت های دندانی فوری و سنتی تفاوت های اساسی وجود دارد، چه از نظر روش عمل، چه از نظر زمان لازم برای تکمیل فرآیند ایمپلنت دندان، چه از نظر مزایا و معایب. برجسته ترین تفاوت بین ایمپلنت دیجیتال و معمولی شامل موارد زیر است:
- *ایمپلنت های دیجیتالی نیازی به جراحی های پیچیده و دردناک ندارند.
- *ایمپلنت های فوری با پیشرفت روزافزون تکنیک های دندانپزشکی گسترش چشمگیری پیدا کرده اند.
- *جراحی سنتی کاشت دندان در چندین جلسه انجام می شود که ممکن است شامل دو عمل *جراحی و بخیه زدن برش جراحی با لثه باشد.
- *ایمپلنت های فوری دندان پس از کشیدن دندان های آسیب دیده در همان روز انجام می شود
- *برعکس ایمپلنت های معمولی که درمان دندان در آن حداقل در سه ماه انجام می شود.
- *مراحل کاشت دندان به روش ایمپلنت دیجیتالی برخلاف ایمپلنت های دندانی سنتی، که ماه ها طول می کشد با سرعت انجام می شوند.
جمع بندی
ایمپلنت دیجیتال یا ایمپلنت با هدایت دیجیتال از یک شبیهسازی کامپیوتری سه بعدی برای بررسی وضعیت استخوان و موقعیت عصبی استفاده میکند. با استفاده از این اطلاعات، یک دندانپزشک زیبایی معتبر میتواند با حداقل برش جراحی را انجام دهد.
از آنجا که عمل جراحی ایمپلنت دیجیتال بر ایجاد کوچکترین برشِ ممکن تمرکز دارد، درد در مقایسه با جراحی ایمپلنت سنتی به شدت کمتر خواهد بود. در حین انجام عملیات دندانپزشکی، از یک راهنمای دقیق بر روی دندانها استفاده میشود تا اطمینان حاصل شود که آسیبی به عصب یا دندانهای اطراف وارد نمیشود.
این راهنما همچنین به دندانپزشکان کمک میکند تا برشهایی دقیق و در عین حال کوچک را برای جایگذاری ایمپلنت دندان ایجاد کنند. اگر در اصفهان هستید و قصد انجام ایمپلنت دندان دارید، دکتر دانیال باقریان نژاد بهترین متخصص ایمپلنت در اصفهان یکی از بهترین گزینه ها است برای کاشت دندان بصورت دیجیتال، که میتوانید با شماره مطب ۰۹۱۳۶۰۹۹۶۳۹ تماس بگیرید یا به نشانی:
آدرس مرکز 1: اصفهان خیابان وحید بین پل وحید و چهارراه خاقانی مجتمع امین طبقه چهارم واحد 30
آدرس مرکز 2: زرینشهر ،زاینده رود ، بیستجان ،خیابان پیامبر ،جنب مسجد ابلفضل (ع)
مراجعه کنید و بصورت حضوری برای ایمپلنت دندان مشاوره بگیرید.
ایمپلنت دندان در بهارستان
بهترین دکتر ایمپلنت در بهارستان
ایمپلنت دیجیتال در بهارستان
ایمپلنت بدون درد در بهارستان
ایمپلنت فوری در بهارستان
ایمپلنت سوئیسی در بهارستان
ایمپلنت اقساطی در بهارستان
مسیریابی مرکز اصفهان
مسیریابی مرکز زرین شهر
آدرس مرکز 2: زرینشهر ،زاینده رود ، بیستجان ،خیابان پیامبر ،جنب مسجد ابلفضل (ع) 09917476469






































