آدرس مرکز 1: اصفهان خیابان وحید بین پل وحید و چهارراه خاقانی مجتمع امین طبقه چهارم واحد 30
درباره ایمپلنت
ایمپلنت دندان یک روش درمانی است که برای جایگزینی دندان های از دست رفته استفاده می شود. ایمپلنت ها به عنوان جایگزین هایی برای ریشه دندان عمل می کنند و می توانند دندان مصنوعی، بریج یا پروتز را در جای خود نگه دارند.
ایمپلنت ها معمولاً از تیتانیوم ساخته می شوند که یک فلز سازگار با بدن است. ایمپلنت ها با جراحی در استخوان فک قرار می گیرند و سپس به مدت چند ماه به استخوان پیوند می خورند. پس از پیوند، دندان مصنوعی، بریج یا پروتز روی ایمپلنت قرار می گیرد.
ایمپلنت ها می توانند گزینه ای عالی برای جایگزینی دندان های از دست رفته باشند. آنها ظاهر و عملکرد طبیعی دندان های طبیعی را ارائه می دهند و می توانند به بهبود سلامت دهان و دندان کمک کنند.
ایمپلنت دندان در خمینی شهر
بهترین دکتر ایمپلنت در خمینی شهر
ایمپلنت دیجیتال در خمینی شهر
ایمپلنت بدون درد در خمینی شهر
ایمپلنت فوری در خمینی شهر
ایمپلنت سوئیسی در خمینی شهر
ایمپلنت اقساطی در خمینی شهر
ایمپلنت چیست؟
ایمپلنت مجموع قطعاتی است که با جراحی داخل فک ثابت میشوند روی آن دندان مصنوعی قرار میگیرد و در نهایت ظاهری مشابه با دندان طبیعی پیدا میکند.

بهطور کلی برای گذاشتن ایمپلنت دندان چندین مرحله باید انجام شود تا قطعات تشکیل دهنده در کنار یکدیگر قرار گیرند و بیمار بتواند به جای دندان طبیعی از آن استفاده کند. ایمپلنت از نظر ظاهری مشابه دندان طبیعی است و در دهان همان حس طبیعی را برای جویدن القا میکند و سوء هاضمه ایجاد شده بر اثر ناتوانی در جویدن غذا را برطرف مینماید.
ایمپلنت دندان برای جایگزین کردن یک یا چندین دندان از دست رفته کاربرد دارد و میتواند برای تمام دندانها به صورت ثابت یا متحرک استفاده شود. در هر دو حالت فوق کلمه ایمپلنت استفاده میشود اما حالت دوم بیانگر معنی واقعی ایمپلنت میباشد و به مجموعهای از قطعات ایمپلنت گفته میشود و هر کدام از قطعات به تنهایی نام و کارایی مجزایی دارند.
ایمپلنت دندان در خمینی شهر
بهترین دکتر ایمپلنت در خمینی شهر
ایمپلنت دیجیتال در خمینی شهر
ایمپلنت بدون درد در خمینی شهر
ایمپلنت فوری در خمینی شهر
ایمپلنت سوئیسی در خمینی شهر
ایمپلنت اقساطی در خمینی شهر
مزایای ایمپلنت
بزرگترین مزیت ایمپلنت حفظ استخوان باقیمانده و جلوگیری از تحلیل استخوان (که به خاطر بی دندانی رخ میدهد) میباشد. مزیت دیگر ایمپلنت عدم نیاز به تراش دندانهای مجاور در صورت استفاده از پروتز ثابت و کمک به گیر و ثبات پروتز متحرک از طریق ساختن اوردنچر (پروتز متحرک متکی بر ایمپلنت) است.
کاشت دندان را میتوان در زمره درمانهای دندانپزشکی مادام العمر قرار داد.
*از جنس آلیاژ تیتانیوم است که پوسیده نمیشود
*نوع مرغوبتر آن استحکامی بیش از دندان طبیعی دارد

*اگر از تکنیک پیشرفته استفاده شود درمان ایمپلنت در ردیف درمانهای دندانپزشکی کوتاه و کمدرد است.
*در مقایسه با هزینههای چند بار پر کردن و عصب کشی دندان، روکش دندان و … در دراز مدت درمان کاشت دندان درمان میتواند مقرون به صرفه باشد.
ایمپلنت دندان در خمینی شهر
بهترین دکتر ایمپلنت در خمینی شهر
ایمپلنت دیجیتال در خمینی شهر
ایمپلنت بدون درد در خمینی شهر
ایمپلنت فوری در خمینی شهر
ایمپلنت سوئیسی در خمینی شهر
ایمپلنت اقساطی در خمینی شهر
مزیت ایمپلنت نسبت به بریج
عدم استفاده از دو دندان سالم مجاور به عنوان پایه در ایمپلنت گذاری؛ آنگونه که در روش بریج استفاده میشود و امکان آسیب دیدن و در نهایت از دست رفتن آنها را بیشتر میکند، کاشت ایمپلنت، از آسیب به دندانهای مجاور ممانعت میکند و نیز وجود فیکسچر در استخوان فک، پدیده تحلیل استخوان فک را به میزان چشمگیری کاهش میدهد.
در بعضی موارد مراجعه دیرهنگام فرد برای کاشت دندان (ایمپلنت) یا وجود کیست و تومورهای دهانی منجر به از بین رفتن فضای مناسب و کم شدن قطر و ارتفاع استخوان فک میشود که در این

حالت، دندانپزشک قبل یا همزمان با جایگذاری فیکسچر، با استفاده از پودر و بلاک استخوانی و ممبرین (بایومتریالها) استخوان را بازسازی کرده تا شرایط مناسب برای قرارگیری ایمپلنت مهیا گردد. در این مواقع طول درمان بیمار (آماده شدن استخوان برای جایگذاری ایمپلنت) بسته به شرایط بیمار از ۳ تا ۶ ماه طول میکشد و دندانپزشک به کمک عکسهای رادیوگرافی میتواند روند درمان را دنبال کند و بهترین زمان را برای کاشت ایمپلنت تشخیص دهد.
ایمپلنت دندان در خمینی شهر
بهترین دکتر ایمپلنت در خمینی شهر
ایمپلنت دیجیتال در خمینی شهر
ایمپلنت بدون درد در خمینی شهر
ایمپلنت فوری در خمینی شهر
ایمپلنت سوئیسی در خمینی شهر
ایمپلنت اقساطی در خمینی شهر
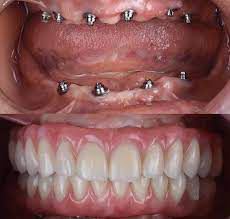
گالری تصاویر
انواع مختلف ایمپلنت دندانی
Endosteal
این ایمپلنت معمولاً مانند یک پیچ یا استوانه یا تیغهای شکل هستند که از فلز یا فلز پوشش داده شده با سرامیک یا مواد سرامیکی ساخته میشوند. این نوع از ایمپلنت در استخوان فک جا میگیرد.
Subperiosteal
این نوع ایمپلنت در استخوان و در زیر لثه قرار میگیرند و از جنس فلز تیتانیوم ساخته میشوند تا بهخوبی به استخوان فک بچسبد.
Transos-teal
این نوع ایمپلنت به شکل یک پین فلزی یا یک قاب U شکل میباشد که از بین استخوان فک و بافت لثه عبور میکند و به داخل دهان میرسد.
مراحل کاشت ایمپلنت (دندان)
جراحی ایمپلنت با بیحسی موضعی انجام میشود. قبل از تزریق بهتر است پنبه آغشته به اسپری لیدوکایین را روی لثه بمالیم تا از درد سوزن تزریق جلوگیری کنیم. معمولاً برای جراحی ایمپلنت از تزریق اینفیلتره در باکال ولینگوال محل بی دندانی استفاده میشود. در این تزریق در صورت ورود دریل به کانال عصب فک تحتانی مریض دچار احساس برق گرفتگی میشود و از جای خود میپرد و بدین ترتیب متوجه میشویم که وارد کانال عصب شدهایم. از اولین جراحی تا آخرین جراحی حدوداً ۹ ماه به طول میانجامد؛ اما این زمان بستگی به شرایط استخوان فک برای قبول ایمپلنت و شرایط ایمنی بدن برای التیام و ترمیم زخم دارد و ممکن است مدت زمان بیشتری برای ترمیم و التیام نیاز باشد. بسته به torque قرارگیری fixture درون استخوان، ایمپلنت به روش دو مرحلهایی یا یک مرحلهایی انجام میشود.
روش دو مرحلهایی
در مرحله اول جراحی، در صورت torque پایین استخوان فک، (Fixture) به همراه کاور اسکرو (Cover screw) در فک جاگذاری میشود؛ و در صورت نیاز به تحریک استخوان سازی و به دست آوردن تراکم استخوان مطلوب از بایومتریالها (پودر استخوان و ممبرین و …) استفاده میگردد. بایومتریالها دارای انواع مختلفی هستند و از منابع متفاوتی تولید میشوند و بسته به تشخیص دکتر نوع بایومتریال مناسب انتخاب میگردد. معمولاً پس از گذشت ۲۴–۱۲ هفته استخوان اطراف فیکسچر را میگیرد و اصطلاحاً استئو اینتگره میشود. در این زمان مرحله دوم جراحی یعنی برداشتن کاور اسکرو و قرار دادن هیلینگ اباتمنت (Healing Abutment) به جای آن انجام میشود. وظیفهٔ هیلینگ، well adopt کردن مخاط کراتینیزه اطراف ایمپلنت است. سپس بعد از گذشت ۴–۳ هفته، قالبگیری به کمک ایمپرشن و آنالوگ (Impression Coping and Analog) انجام میشود تا شکل دندان مورد نظر ساخته شود و اندازه اباتمنت لازم مشخص شود و در مرحله آخر دندان پروتزی آماده شده که به همراه اباتمنت است روی فیکسچر قرار میگیرد.
روش تک مرحلهایی
دندانپزشک زمان insertion فیکسچر درون استخوان، torque مناسبی به دست میآورد؛ لذا، قراردهی fixture و healing را در یک مرحله انجام میدهد. در این روش ایمپلنت زودتر در دهان بیمار قرار میگیرد.
ایمپلنت دندان در خمینی شهر
بهترین دکتر ایمپلنت در خمینی شهر
ایمپلنت دیجیتال در خمینی شهر
ایمپلنت بدون درد در خمینی شهر
ایمپلنت فوری در خمینی شهر
ایمپلنت سوئیسی در خمینی شهر
ایمپلنت اقساطی در خمینی شهر
مسیریابی مرکز اصفهان
مسیریابی مرکز زرین شهر
آدرس مرکز 2: زرینشهر ،زاینده رود ، بیستجان ،خیابان پیامبر ،جنب مسجد ابلفضل (ع) 09917476469




























