دربارهی دکتر:
”بنده دکتر شیرزاد ویسی دارای مدرک دکترای عمومی می باشم. در پرتو عنایت الهی این افتخار را داشته ام که پس از کسب رتبه دو رقمی در آزمون سراسری، دوره دندانپزشکی را با اخذ معدل ممتاز در دانشگاه علوم پزشکی تهران سپری نمایم . امیدوارم با کمک و همیاری سایر اعضا و همکاران مطب ارائه دهنده ی بهترین خدمات بوده و لبخند زیبایی را برایتان به ارمغان آوریم“
مدارک دکتر شیرزاد ویسی:






بهترین دندانپزشک در صادقیه
ایمپلنت دندان در صادقیه
ارائهی کلیه خدمات دندانپزشکی:
- ایمپلنت دندان با بهترین برند های سوئیسی sic.iml و برند های کره ای dio.sewon , medix.biotem و روکش تمام سرامیک زیرکونیا
- انواع جراحی دندان
- ونیر کامپوزیت با تکنیک لیرینگ”لبه شیشه ای“
- لمینت سرامیکی ایمکس با تکنیک لیرینگ”لبه شیشه ای“(IPS e.max)
- ارتودنسی نامرئی
- پروتز متحرک و ثابت
- درمان ریشه دندان
لیست عناوین:
ایمپلنت دندان، همه چیز درباره ایمپلنت
بسیاری از افراد با گذشت زمان بنا به دلایل متعددی همچون پیری، کشیدن دندان و... دندان های خود را از دست می دهند. این موضوع علاوه بر این که باعث ایجاد مشکل در ظاهر و طرح لبخند شما می شود، می تواند در صحیح جویدن و غذا خوردن شما هم تاثیر منفی بگذارد. بسیاری از افراد به دنبال یک روش دائمی برای این دندان های از دست رفته هستند. تا چند سال گذشته انجام پروتز دندان متحرک (دندان مصنوعی) میان این افراد بسیار رایج بود. مشکلاتی که این روش ایجاد می کرد باعث شد که روش بهتری به نام ایمپلنت جایگزین آن شود. ایمپلنت دندان روشی است دائمی برای دندان های از دست رفته. خوشبختانه امروزه با فراگیر شدن ایمپلنت دندان افراد دیگر دغدغهای برای از دست دادن دندان های خود ندارند و دیگر به سراغ دندان های مصنوعی نمی روند. قرار دادن ایمپلنت در دهان هیچ مشکلی را برای استفاده کننده به وجود نمی آورد و فرد به می تواند تا آخر عمر بدون هیچ گونه مشکلی از آنها استفاده کند. در ادامه با ما همراه باشید تا به صورت کامل با ایمپلنت دندان آشنایی پیدا کنید.
📌بهترین دندانپزشک در صادقیه
📌ایمپلنت دندان در صادقیه

دو قسمت اصلی ایمپلنت دندان که در عکس بالا مشخص شده است، Fixture و Abutment می باشند. قسمتی که از داخل استخوان فک قرار میگیرد که اصطلاحاً Fixture نامیده میشود و قسمتی تاجی که بالای لثه قرار میگیرد Abutment نامیده می شود. روی Abutment پروتز یا روکش ایمپلنت قرار میگیرد. جنس پایه ایمپلنت از تیتانیوم است. از آنجا که تیتانیوم موجود در ایمپلنت ها با استخوان فک کاملا سازگاری دارد، ایمپلنت ها باعث لغزش ، سر و صدا یا آسیب استخوانی نمی شوند.
بهترین دندانپزشک در صادقیه
ایمپلنت دندان در صادقیه
”بهترین دندانپزشک در صادقیه“
”ایمپلنت دندان در صادقیه”
پیوند استخوان در ایمپلنت دندان
برای اینکه انواع روکش ایمپلنت بهخوبی در استخوان فک قرار بگیرد، باید حجم استخوان فک بازسازی شود؛ به همین دلیل جراحی پیوند استخوان انجام میشود. زمانی که استخوان کافی وجود نداشته باشد، ایمپلنت به فک متصل نشده یا در زمان کوتاهی شل میشود. اگر استخوان فک نازک یا ارتفاع آن کم باشد، پیوند استخوان در ایمپلنت دندان انجام میشود.
انواع پیوند استخوان در ایمپلنت دندان کدامند؟
اگر در قسمتی که دندان خود را از دست دادهاید، حجم و تراکم استخوان کم باشد، پیوند استخوان برای افزایش عمر ایمپلنت دندان انجام میشود. مواد پیوند استخوان را میتوان با روشهای مختلف تهیه کرد. برای پیوند استخوان در دهان از چه موادی استفاده می شود؟ انواع مواد پیوند شامل موارد زیر است:
- اتوگرافت: در این روش استخوان از بافت بدن شخص گرفته میشود.
- آلوگرافت: در این روش استخوان از بانک بافت انسانی گرفته میشود.
- زنوگرافت: مواد پیوند استخوان از بانک بافت حیوانی گرفته میشود.
- آلوپلاستیک: مواد پیوند استخوان مصنوعی است.
مواد پیوند استخوان ممکن است از بدن خود فرد گرفته شود یا از بانک انسانی یا حیوانی به دست آید. همچنین میتوان از مواد پیوند استخوان مصنوعی استفاده کرد. دکتر ایمپلنت دندان ممکن است از طریق یکی از روشهای زیر پیوند را انجام دهد:
| انواع روش پیوند استخوان دندان | توضیحات |
|---|---|
| حفظ سوکت | در این روش بلافاصله بعد از کشیدن دندان پیوند استخوان انجام شده و از فرورفتگی دو طرف سوکت جلوگیری میشود. |
| افزایش ریج | اگر مدتها قبل دندان خود را ازدستداده باشید، استخوان فک نازکتر شده است. در این شرایط با پیوند استخوان پایهای پایدار برای ایمپلنت ایجاد میشود. در افزایش ریج علاوه بر افزایش ارتفاع پهنای بافت نیز بیشتر میشود. |
| لیفت سینوس | اگر دندان فک بالا را ازدستداده باشید، احتمال دارد سینوس به سمت پایین آمده باشد. در این شرایط نمیتوان ایمپلنت را در استخوان قرار داد. با جراحی غشای سینوس به سمت بالا کشیده شده و فضای خالی با مواد پیوند استخوان پر میشود. |
| پیوند استخوان پریودنتال | اگر دچار بیماری لثه شده باشید، ممکن است دندان شما لق شود. در این شرایط مواد پیوند استخوان اطراف دندان موجود قرار میگیرند. |
بهترین دندانپزشک در صادقیه
ایمپلنت دندان در صادقیه
عمل پیوند استخوان برای چه افرادی ضروری است؟
یا در واقع میتوان گفت که پیوند استخوان برای ایمپلنت برای چه کسانی مناسب است؟ هر شخصی که بخواهد کاشت ایمپلنت انجام دهد و حجم و تراکم استخوان فک پایینی داشته باشد، نیاز به پیوند استخوان دارد. ایمپلنت زیگوماتیک یکی از بهترین روشهای کاشت دندان برای افرادی است که استخوان آنها تحلیل رفته است. معمولا افراد با شرایط زیر نیاز به این جراحی دارند:
- اگر دندان خود را مدت طولانی از دست داده است.
- دچار بیماری لثه (پریودنتال) باشد.
- نقصهایی از زمان تولد
- آسیب یا ضربه بهصورت.
سینوس لیفت در ایمپلنت دندان
سینوس لیفت یک نوع جراحی است که مواد پیوند استخوان برای پشتیبانی از استخوان فک برای کاشت ایمپلنت دندان اضافه می شوند. این عمل جراحی بسیار متداول است زیرا افرادی که کاندید ایمپلنت هستند اما دارای تراکم استخوانی کافی نیستند به آن نیاز دارند.
انواع سینوس لیفت
سینوس لیفت به دو صورت انجام می شود:
- جراحی سینوس لیفت باز
- جراحی سینوس لیفت بسته

سینوس ها مجرای تنفسی را تشکیل می دهند و هر یک باید با مراحل مخصوص به خود جراحی شوند. اینکه کدام روش برای شما مناسب تر باشد بسته به شرایط سلامتی و بدنی بیمار دارد و در نهایت متخصص تصمیم می گیرد کدام روش را انتخاب کند. مراحل جراحی سینوس لیفت عبارتند از: ایجاد برش یک فضا در لثه فوقانی، تغییر دادن موقعیت سینوس فک بالا در بالای گونه و پیوند بافت استخوانی اضافی به فک بیمار. ما در این بخش می خواهیم به بررسی انواع روش های جراحی سینوس لیفت بپردازیم.
جراحی سینوس لیفت باز
برای آن که بتوانید کاندید مناسبی باشید و از این روش پیش از کاشت ایمپلنت دندان خود استفاده نمائید باید استخوان فک شما حداقل به میزان 5 میلی متر باشد. برای انجام این روش سینوس لیفت باید غشای سینوسی به بالا کشیده شود و فضای خالی ایجاد شده با استفاده از پودر استخوان پر شود. در نهایت پس از انجام کار باید از غضای مصنوعی استفاده کرده تا روی آن را پوشانده و لثه را بخیه زد.
جراحی سینوس لیفت بسته
استفاده از این روش زمانی توصیه می شود که استخوان فک بیمار به مقدار زیادی تحلیل رفته باشد و کمتر از 2 سانتی متر استخوان فک داشته باشد. در این صورت باید سینوس لیفت به صورت بسته انجام شود. در این روش برای پیوند استخوان باید از ابزار مخصوص استفاده نماید و استخوان فک بیمار را تا زیر سینوس دریل کند. البته این سوراخ کردن باید به حدی باشد که به میزان لازم پودر استخوان تزریق کند نه بیشتر. سوراخ ایجاد شده باید با پدر استخوان پر شود و روی آن با غشای مصنوعی پوشیده شود و سپس بافت لثه بخیه زده شود. در جراحی به این روش جراح باید دقت و مهارت کافی به خرج دهد تا سینوس دچار پارگی نشود زیرا اگر با ابزار و بی احتیاطی سینوس دچار پارگی شود باید ابتدا سینوس ها مورد جراحی قرار بگیرند سپس عمل جراحی انجام شود که در این صورت روند درمان به تعویق میافتد.
تفاوت لیفت سینوس و پیوند استخوان چیست؟
لیفت سینوس و پیوند استخوان هر دو برای کاشت ایمپلنت دندان استفاده می شود. همانطور که می دانید کاشت ایمپلنت دندان نیازمند استخوان فک با تراکم و کیفیت بسیار بالا است و همین باعث می شود افرادی که از تراکم و کیفیت خوب استخوانی برخوردار نیستند از این دو جراحی تکمیلی برای پیدا کردن آمادگی لازم جهت کاشت ایمپلنت دندان استفاده کنند.

استخوان فک زمانی که دندانی نداشته باشد به مرور زمان دچار تحلیل می شود و همین باعث می شود فرد کاندید مناسبی برای لیفت سینوس و پیوند استخوان شود. اما سوالی که این بین ممکن است برای افراد پیش آید این است که بین لیفت سینوس و پیوند استخوان چه تفاوتی وجود دارد و تفاوت این دو روز در چیست؟ مهم ترین تفاوتی که برای این دو روش می توان نام برد تفاوت بین محل انجام و نحوه انجام جراحی است. تفاوت لیفت سینوس و پیوند استخوان عبارتند از:
- سینوس لیفت برای جراحی فک بالا استفاده می شود و همان گونه که از نام آن مشخص است این عمل مربوط به حفره های سینوسی است که این حفره ها بسیار به فک بالا نزدیک هستند. زمانی از این عمل استفاده می شود که فک بالا به دلیل کشیدن دندان یا نداشتن دندان به سمت سینوس ها و بالا تحلیل می روند.
- اما عمل پیوند استخوان برای فک پایین مورد استفده قرار می گیرد و زمانی از آن استفاده می شود که فک پایین بر اثر کشیدن دندان یا از دست دادن دندان و یا بیماری های لثه ای از بین رفته و تحلیل رفته باشد.
- لیفت سینوس به دو صورت لیفت سینوس باز و لیفت سینوس بسته انجام می شود و جراح با بالا راندن غشای کف سینوس ها با پودر استخوان حفره ها پر می شود. از این روش برای این استفاده می شود که فک بالا بتواند استحکام و مقاومت کافی برای قرار دادن ایمپلنت را پیدا کند. پودر استخوانی که تزریق می شود می تواند از بدن خود بیمار یا استخوان حیواناتی مانند گاو به دست آمده باشد.
- برای انجام پیوند استخوان نیز مانند لیفت سینوس از استخوانی استفاده می شود که از بدن بیمار یا استخوان فرد دیگر ولی آزمایش شده باشد و یا استخوان حیواناتی مانند گاو باشد. البته پیش از آن که از آن استفاده شود باید در آزمایشگاه به درستی بررسی شود تا بتوان در جراحی از آن استفاده نمود و واکنش آلرژیکی رخ ندهد.
- برای انجام سینوس لیفت باید بیمار پیش از انجام جراحی آلرژی های فصلی خود اقدام به انجام این عمل نماید. البته برای پیوند استخوان فک پایین این موضوع کمی کم اهمیت تر است اما برای جلوگیری از مزاحمت پی در پی آلرژی نباید بیمار در دوره آلرژی فصلی خود باشد. زیرا روند بهبودی و درمان را به تعویق می اندازد.
بهترین دندانپزشک در صادقیه
ایمپلنت دندان در صادقیه
مراحل ایمپلنت دندان
جراحی ایمپلنت دندان معمولاً یک جراحی سرپایی است که به صورت مرحله ای و با زمان بهبودی بین مراحل انجام می شود. روند قرار دادن ایمپلنت دندان شامل مراحل زیر می باشد:
- معاینه فرد و تعیین نوع و تعداد ایمپلنت
- برداشتن دندان آسیب دیده ( کشیدن دندان ) در صورت نیاز
- آماده سازی استخوان فک ( پیوند استخوان ) در صورت نیاز
- کاشت پایه ایمپلنت
- رشد و ترمیم استخوان
- انتخاب رنگ و انجام قالب گیری و ارسال برای لابراتور
- قرار دادن نهایی ایمپلنت
بهترین دندانپزشک در صادقیه
ایمپلنت دندان در صادقیه
ایمپلنت فوری دندان یا یک روزه
معمولا دوره درمان و مدت زمانی که طول می کشد تا بیمار به هدف خود که همان کسب سلامتی است برسد هم برای بیمار و هم برای پزشک مهم می باشد و هر چه طول دوره درمان کوتاه تر باشد طرفداران آن روش درمانی هم بیشتر خواهد بود. ایمپلنت دندان فوری یکی از درمان هایی است که این ویژگی را دارد و بیمار به سرعت می تواند نتیجه ی مطلوب خود را به دست آورد. در واقع ایمپلنت دندان روشی موثر برای جایگزینی دندان هایی است که به هر دلیلی از دست رفته اند. برای این کار پایه هایی از جنس تیتانیوم را در استخوان فک جای می دهند و بعد از ثابت کردن این پایه ها تاج دندانی را بر روی آن قرار می دهند.
حال تفاوتی که بین ایمپلنت دندان فوری و ایمپلنت دندان سنتی وجود دارد این است که دوره بهبود روش فوری بسیار کمتر از روش سنتی می باشد به طوری که می توان مدت زمان انجام آن را یک روز بیان کرد. البته ذکر این نکته ضروری می باشد که تاج قرار داده شده بر روی پایه ایمپلنت دندان در این روش موقتی بوده و حتما باید با تاج اصلی و دائمی تعویض گردد.

بهترین دندانپزشک در صادقیه
ایمپلنت دندان در صادقیه
ایمپلنت دیجیتال چیست؟
ایمپلنت دیجیتال یکی از جدیدترین و پیشرفتهترین فناوریهای پزشکی است که برای جایگزینی سلولها یا بافتهای از دست رفته در بدن انسان استفاده میشود. این ایمپلنتها، معمولاً شامل سیستمهای الکترونیکی پیشرفتهای هستند که به شکل مستقیم با بافت بدن ادغام میشوند و قابلیت کنترل و مدیریت را به کاربران ارائه میدهند. این تکنولوژی نیز در زمینه دندانپزشکی به کار میرود و به عنوان ایمپلنت دندان دیجیتالی شناخته میشود. این ایمپلنتها شامل یک قطعه الکترونیکی کوچک و یک برنامه کامپیوتری هستند که به شکل مستقیم با فک و دندان ادغام میشوند و به کاربر اجازه میدهند تا دندانهای خود را با استفاده از تکنولوژی دیجیتالی کنترل کنند.
از جمله استفادههایی که ایمپلنت دندان دیجیتالی میتواند داشته باشد، میتوان به جایگزینی دندانهای گم شده، کنترل وضعیت دندانهای بیماران با اختلالات دندانی و نیز پیشگیری از ایجاد مشکلات دندانی در آینده اشاره کرد. با استفاده از این تکنولوژی، پزشکان و دندانپزشکان میتوانند با دقت بیشتری به بررسی و درمان مشکلات دندانی بپردازند و به بیماران خود خدمات بهتری ارائه دهند.

هزینه ایمپلنت دندان چقدر است؟
هزینه و قیمت ایمپلنت دندان بستگی به شرایط دندانی فرد دارد این قیمت بعد از ویزیت توسط متخصص ایمپلنت مشخص خواهد شد. عوامل بسیاری وجود دارد که قیمت ایمپلنت دندان را تعیین می کند. از جمله عواملی که می توان به آن اشاره کرد :
- توسط پزشک متخصص انجام می شود یا عمومی.
- نیاز به پیوند استخوان دارد یا نه.
- نیاز به سینونس لیفت(بالا بردن سینوس)
- برند ایمپلنت
بهترین دندانپزشک در صادقیه
ایمپلنت دندان در صادقیه
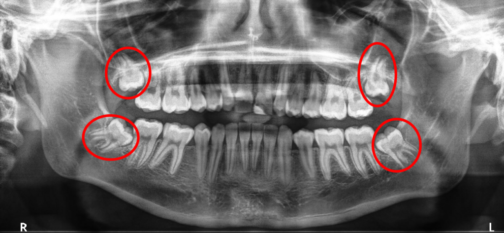
انواع جراحی دندان
جراحی دندان انواع مختلفی دارد و میتواند با اهداف درمانی یا زیبایی انجام شود. آگاهی از انواع جراحی دندان، عوارض احتمالی و نحوه مراقبتهای پس از آن میتواند نگرانیهای بیماران را کاهش داده و آنها را برای این تجربه آمادهتر کند. برای انجام جراحی دندان، مراجعه به دندانپزشک یا جراح دندانپزشک ضروری است.
۱. جراحی دندان عقل
جراحی دندان عقل یکی از رایجترین انواع جراحیهای دندان است که معمولاً برای خارج کردن دندان عقل نهفته یا دندانی که به طور کامل رشد نکرده است انجام میشود. این جراحی زمانی ضروری میشود که دندان عقل به سایر دندانها فشار وارد کند، موجب عفونت یا التهاب لثه شود یا به دلیل کمبود فضای کافی در فک، به طور نادرست رشد کند. معمولاً این جراحی با بیحسی موضعی انجام میشود و دوره بهبودی آن چند روز تا یک هفته طول میکشد.
2. جراحی سینوس دندان
جراحی سینوس دندان یا لیفت سینوس، یک روش تخصصی است که بیشتر در موارد آمادهسازی برای ایمپلنت دندان انجام میشود. این جراحی زمانی ضروری است که سینوسها به دلیل از دست دادن دندان در فک بالا، به پایین حرکت کرده و فضای کافی برای قرار دادن ایمپلنت وجود نداشته باشد. در این فرایند، جراح با بلند کردن غشای سینوس و افزودن مواد پیوند استخوانی، فضای مناسب را برای ایمپلنت ایجاد میکند. جراحی سینوس دندان یکی از مراحل اساسی برای تثبیت ایمپلنت و جلوگیری از عوارض احتمالی مانند نفوذ ایمپلنت به سینوس است.
3. جراحی Prosthodentic یا جراحی جایگزینی دندان
رشته Prosthodentic (پروتز دندانی یا دندانسازی) به کلیه خدمات دندانپزشکی اشارهمیکند که شامل ترمیم یا جایگزینی دندان با پروتز دندان هستند. این درمان شامل تاج و بریج دندان، دندان مصنوعی و حتی ایمپلنت دندان است.
ازآنجاییکه ایمپلنتهای دندانی برای جایگزینی یک یا چند دندان ازدسترفته انجام میشوند، کاملا در حیطه تخصصی متخصصان پروتز دندان قرار میگیرند.
4. جراحی ریشه دندان
جراحی ریشه دندان یا درمان اندودانتیک، یک روش دندانپزشکی است که برای حفظ دندانهایی که دارای عفونت یا التهاب در پالپ (مغز دندان) هستند، انجام میشود. این جراحی شامل حذف پالپ آسیبدیده، تمیز کردن کانالهای ریشه، عصب کشی دندان (روت کانال) و پر کردن آنها با مواد زیستسازگار است. هدف اصلی این درمان، رفع درد، جلوگیری از گسترش عفونت و حفظ ساختار دندان طبیعی است. در موارد پیچیده، روشهایی مانند اپیکواکتومی برای برداشتن عفونت در نوک ریشه استفاده میشود. جراحی ریشه دندان اغلب جایگزینی مناسب برای کشیدن دندان بوده و به حفظ سلامت دهان و دندان کمک میکند.

بهترین دندانپزشک در صادقیه
مراحل جراحی دندان
جراحی دندان به طور کلی شامل مراحلی است که با هدف اطمینان از ایمنی و راحتی بیمار و انجام دقیق عمل طراحی شدهاند. در زیر مراحل جراحی دندان را قدمبهقدم توضیح میدهیم:
۱. مشاوره و ارزیابی اولیه عمل جراحی دندان
دندانپزشک یا جراح وضعیت دهان، دندانها و لثهها را بررسی میکند. از تصاویر اشعه ایکس یا سیتیاسکن برای بررسی ساختار دندانها، ریشهها و استخوان فک استفاده میشود. بیمار باید اطلاعاتی درباره بیماریهای زمینهای، آلرژیها و داروهای مصرفی ارائه دهد. نوع جراحی موردنیاز تعیین شده و روشهای مناسب (مانند بیحسی یا بیهوشی) مشخص میشوند.
۲. آماده سازی پیش از جراحی دندان
دندانپزشک نکاتی مانند پرهیز از غذا خوردن یا نوشیدن قبل از عمل (در صورت استفاده از بیهوشی) را ارائه میدهد. دهان با دهانشویههای آنتیباکتریال تمیز میشود. بسته به نوع جراحی، از بیحسی موضعی، آرامبخش یا بیهوشی عمومی استفاده میشود.
۳. ایجاد دسترسی به دندان و ناحیه موردنظر
در صورت نیاز، جراح برشی در لثه ایجاد میکند تا به دندان یا استخوان دسترسی پیدا کند. در برخی موارد، ممکن است لازم باشد بخشی از استخوان اطراف دندان برداشته شود.
۴. برداشتن یا ترمیم دندان
اگر دندان باید کشیده شود، ممکن است به قطعات کوچکتر تقسیم شود تا با کمترین آسیب به بافتهای اطراف برداشته شود. در صورتی که هدف جراحی ترمیم دندان باشد، مانند ریشهدرمانی یا درمان کیست، اقدامات لازم انجام میشود.
۵. پاکسازی و آماده سازی ناحیه جراحی دندان
جراح محل جراحی را از هرگونه عفونت، مواد باقیمانده یا بافتهای آسیبدیده پاکسازی میکند. اگر لازم باشد، از مواد پرکننده زیستسازگار برای ترمیم یا جایگزینی استخوان استفاده میشود.
۶. بخیه زدن و بستن ناحیه جراحی دندان
محل برش با بخیه بسته میشود. بخیهها ممکن است قابل جذب یا نیازمند برداشتن باشند. گاهی اوقات از گاز استریل یا مواد محافظ برای پوشش ناحیه استفاده میشود.
بهترین دندانپزشک در صادقیه
ایمپلنت دندان در صادقیه
مراقبت های بعد از جراحی دندان
مراقبتهای پس از جراحی دندان نقش بسیار مهمی در بهبود سریعتر، کاهش عوارض و جلوگیری از مشکلات احتمالی مانند عفونت، خونریزی یا درد اضافی دارند. عدم رعایت توصیههای پزشک میتواند روند بهبودی را به تأخیر بیندازد و حتی منجر به مشکلات جدی مانند عفونت لثه یا خشکی ساکت دندان (Dry Socket) شود.
پس از جراحی، زخم در معرض باکتریهای دهان قرار دارد که میتوانند باعث عفونت شوند. رعایت بهداشت دهان، مصرف آنتیبیوتیکها (در صورت تجویز) و استفاده از دهانشویههای آنتیباکتریال به پیشگیری از این مشکل کمک میکند. مراقبتهای مناسب مانند استفاده از کمپرس سرد، پرهیز از فعالیتهای سنگین و مصرف داروهای مسکن تجویز شده، به کاهش درد و تورم کمک میکنند و تجربه بیمار را راحتتر میسازند.
عوارض جراحی دندان
جراحی دندان، مانند هر عمل جراحی دیگر، ممکن است با برخی عوارض همراه باشد. هرچند این عوارض معمولاً خفیف و موقتی هستند، اما آگاهی از آنها و رعایت توصیههای دندانپزشک میتواند به کاهش خطرات و بهبود سریعتر کمک کند. در ادامه به عوارض شایع جراحی دندان پرداخته میشود:
- درد و تورم
- خونریزی
- عفونت
- خشکی ساکت دندان (Dry Socket)
- آسیب به بافتهای مجاور
- سختی در باز کردن دهان (تریسموس)
- واکنشهای آلرژیک یا حساسیت به داروها
عوارض جراحی دندان معمولاً قابل کنترل هستند و با رعایت دقیق دستورالعملهای دندانپزشک میتوان خطر بروز آنها را به حداقل رساند.
ونیر کامپوزیت با تکنیک لیرینگ(لبه شیشه ای)
کامپوزیت دندان به روش لیرینگ
یکی از ضعف های کامپوزیت دندان به صورت کلی در همه برند ها در طول زمان، مات شدن آن است، اما اگر کامپوزیت دندان به روش اصولی انجام شود این مورد نیز قابل رفع است. کامپوزیت دندان به روش لیرینگ بهترین روشی است که می توان به کار گرفت و از مات شدن کامپوزیت دندان در طول زمان جلوگیری کرد.
در روش کامپوزیت دندان به روش لیرینگ دندانپزشک مواد کامپوزیتی را لایه لایه روی دندان های شما کار می کند، که با استفاده از روش لایرینگ یا کاربرد کامپوزیت دندان با ترانسلوسنسی متفاوت در لایه های مختلف باعث شفافیت بالا و طبیعیتر شدن کامپوزیت دندان میشود.
کامپوزیت دندان به روش لیرینگ دقت و مهارت دندانپزشک را میطلبد، به صورت کلی اگر روش لایرینگ دندان و رعایت و بازسازی نسوج دندان به شکل ذاتی و طبیعی آن انجام شود 100% نتیجه نهایی هم لذت بخش خواهد بود.تکنیک لایرینگ و استفاده از ضخامت،طیف نوری، رنگ، ترنسلوسنسی و یا اپسیته متعارف و مناسب در هر لایه، ایجاد آناتومی ظریف و ایده آل و در آخر پولیش دندان مناسب، نتیجه پرفکتی ایجاد میکند که در طولانی مدت برای زیباجو خسته کننده نخواهد بود.

📌بهترین دندانپزشک در صادقیه
📌ایمپلنت دندان در صادقیه
درحال حاضر یکی از بهترین روشها برای کامپوزیت دندان استفاده از روش کامپوزیت لیرینگ است، که این متد توسط پزشکان متخصص صورت میپذیرد. التبه شایان ذکر است عامل دیگری که نتیجه نهایی را بینظیر میکند استفاده از برند و مارک کامپوزیت دندانی است که روش کامپوزیت لیرینگ روی آن صورت میگیرد.
دکتر شیرزاد ویسی برای انجام کامپوزیت لیرینگ دندان از بهترین برند به نام کامپوزیت ips و توکویاما بهره میبرند، این برند یکی از بهترین مارک های کامپوزیت دندان میباشد که با استفاده از روش کامپوزیت لیرینگ میتوان لبخندی جذاب را به زیباجو هدیه میدهد.
مراحل انجام کامپوزیت دندان لیرینگ، لایرینگ
انجام کاموزیت دندان به روش لیرینگ در 6 مرحله انجام میشود. در این قسمت به این مراحل اشاره میکنیم.
- معاینه و بررسی دندانها توسط دندانپزشک
- انتخاب رنگ و شفافیت مناسب برای کامپوزیت
- تراشیدن سطح دندان (در صورت نیاز)
- لایه بندی مواد کامپوزیتی روی دندان
- شکل دهی و صاف کردن کامپوزیت
- پولیش و جلا دادن کامپوزیت

بهترین دندانپزشک در صادقیه
مزایای کامپوزیت دندان به روش لیرینگ
- طبیعیتر شدن لبخند و فرم دندان
- براقیت بیشتر و مات نشدن آن به علت روش لایرینگ دندان
- طیف نوری و رنگی جذاب تر
- مقاومت دربرابر زردی و رنگ پذیری کمتر و همچنین درخشندگی بیشتر
- هم پوشانی بیشتر و رفع نواقص ظاهری
- استحکام و دوام بالا
از چه طیفهای رنگی برای لیرینگ دندان استفاده میشود؟
طیف رنگهایی که میبایست برای لیرینگ دندان انتخاب شود، بر اساس نظر دندانپزشک و زیباجو انتخاب میشود. نکتهای که میبایست در لیرینگ دندان دقت داشت، این موضوع است که هدف اصلی این تکنیک طبیعی بودن رنگ آن است، پس دندانپزشک به چندین فاکتور باید توجه داشته باشد تا به هدف خود دست پیدا کند.
رنگ سفیدی چشم زیباجو، رنگ پوست و رنگ دندانهای مجاور او که بسیار نکات مهمی در طبیعی جلوه دادن رنگ کامپوزیت به حساب میآیند. دندانپزشک از طیف های موجود، مجموعه ای را برای لایه لایه قرار دادن مواد انتخاب کرده و آنها را روی سطح دندان کار گذاشته تا به نتیجه دلخواه برسد.
کامپوزیت دندان به روش لیرینگ لب شیشهای
امروزه در سلبریتیها، افراد معروف و بازیگران بهتازگی از لیرینگ لب شیشه ای یا به عبارتی کامپوزیت لبه شیشه ای یا لبه شفاف به روش لیرینگ دندان استقبال زیادی میشود و از آن برای زیبایی دندان خود استفاده می کنند.
با پیشرفت متدها در علم دندانپزشکی و روشهای جدید زیبایی و اصلاح طرح لبخند، متخصصان دندانپزشکی قادرند که عدم یکدست بودن دندانها را برطرف کرده و به آنها جلوهای زیبا و جذاب و در عین حال طبیعی ببخشند، به این منظور دندانپزشک از کامپوزیت هایی استفاده میکند که همانند ماده رزین دارای شفافیت و رنگهای متنوع باشند.

در واقع کامپوزیت لبه شیشه ای به روش لیرینگ دندان هم برای اصلاح طرح لبخند مورد استفاده قرار میگیرد و هم به صورت سلیقه ای برای زیباتر شدن و طبیعی تر جلوه دادن دندان ها مورد استقبال بسیاری قرار دارد که این مورد بستگی به سلیقه و انتخاب شما دارد. مطب دندانپزشکی دکتر ویسی در زمره اولین کلینیک هایی است که با استقبال فراوانی مواجه شد.
نتیجه گیری
همانطور که میدانید کامپوزیت یک روش درمانی و زیبایی جهت زیباتر کردن دندانها و اصلاح طرح لبخند به حساب میآید که به شما کمک میکند تا با هزینه کمتر از لمینت دندان، اما با دوام و ماندگاری کمتر، بتوانید دندانهایی سفید، درخشان، براق و شفافی داشته باشید. در این بین، دندانپزشکان از روش نوینی جهت بهتر کردن و طبیعیتر جلوه دادن کامپوزیتها با تکنیکی جدید به نام لیرینگ دندان، توانستهاند کاری کنند که فرقی بین دندان طبیعی شما و کامپوزیتها دیگر احساس نشود.
طیف رنگی بسیاری در کامپوزیت دندان موجود است، که بر اساس بهترین برندهای کامپوزیت موجود در همه کشورها، با ترکیب چندین طیف میتوانید کامپوزیت مورد علاقه خود را به روش لیرینگ دندان تجربه کنید و از داشتن لبخندی زیبا و طبیعی لذت ببرید.
بهترین دندانپزشک در صادقیه
لمینت سرامیکی E.MAX تکنیک لیرینگ
لمینت لیرینگ دندان یک روش جدیدی است که در آن با توجه به شکل و فرم دندان های زیباجو، شیارهایی بر روی لمینت دندان ایجاد می کنند. که همین شیارها موجب می شوند تا ظاهر لمینت های دندان، بسیار طبیعی تر و زیباتر شود. همه ی مراحل لیرینگ لمینت دندان به روش لیرینگ در لابراتور پردازش و ساخته و سپس توسط دندانپزشک نصب می شوند.

تفاوت لمینت لیرینگ با لمینت معمولی:
باید بگوییم که در روش لمینت لیرینگ در مقایسه با لمینت دندان معمولی، ظاهر دندان ها بسیار طبیعی تر و زیباتر شده و جلوه بیش تری دارند.
موارد استفاده از لمینت دندان به روش لیرینگ
| اصلاح رنگ و فرم دندانها: اگر دندانهای شما لکهدار، زرد، نامرتب، کوتاه، بلند، شکسته یا نامنظم هستند، لمینت لیرینگ میتواند به طور کامل این نواقص را برطرف کرده و ظاهری زیبا و متقارن به آنها ببخشد. |
| بستن فضاهای بین دندانی: اگر بین دندانهای شما فضاهای خالی وجود دارد، لمینت لیرینگ میتواند این فضاها را به طور کامل پر کرده و ظاهری یکدست و زیبا به لبخند شما بدهد. |
محافظت از دندانها: لمینتها میتوانند از دندانها در برابر سایش و فرسایش محافظت کنند و به حفظ سلامت آنها کمک کنند. مزایای لمینت لیرینگ
|
ارتودنسی نامرئی, همه چیز درباره ارتودنسی نامرئی
ارتودنسی نامرئی و یا اینویزیلاین روشی جدید و تقریبا نامرئی برای هم تراز کردن دندان های شما است. امروزه مرتب کردن دندان ها با الاینرهای ارتودنسی نامرئی، یک جایگزین عالی برای ارتودنسی سنتی بدون نیاز به استفاده از بریس است. ارتودنسی نامرئی بیشتر در درمان ناهنجاری های خفیف تا متوسط دندان کاربرد دارد. سینی های ارتودنسی نامرئی بسیار راحت هستند که حدود هر 2 هفته تعویض می شوند. بیمار باید در تمام ساعت شبانه روز از آنها استفاده کند تا زودتر به نتیجه برسد. این سینی ها را می توان برای غذا خوردن یا مسواک زدن از دهان خارج کرد.
اهداف ارتودنسی نامرئی
ارتودنسی نامرئی یک روش درمانی نوآورانه است که از وسائل های شفاف و متحرک که بیشتر به عنوان الاینر نامرئی شناخته می شوند، برای اصلاح موقعیت دندان ها برای دستیابی به ساختاری مطلوب برای دهان شما استفاده می کند. برخلاف بریسها، این الاینرهای شفاف بسیار زیباتر هستند و به راحتی با هر نوع درمان دهان و دندان سازگار میشوند. در ارتودنسی نامرئی دقت و کیفیت مواد به اندازه پیگیری حرفه ای درمان اهمیت دارد. بنابراین، برای به دست آوردن بهترین نتایج با کیفیت، ضروری است که فرآیند تحت نظارت دندانپزشکان متخصص در این نوع موارد باشد.

بهترین دندانپزشک در صادقیه
مزایای ارتودنسی نامرئی
- می توانید هر چیزی که می خواهید بخورید
یکی از مهمترین مزایای ارتودنسی نامرئی این است که هیچ محدودیت غذایی ندارد. روش های سنتی محدودیت های زیادر برای خوردن و آشامیدن برای شما ایجاد می کنند. شما باید از خوردن غذاهای خیلی چسبنده یا سفت در ارتودنسی لینگوال و ثابت خود خودداری کنید. اما با ارتودنسی نامرئی می توانید هر چیزی را که می خواهید بخورید. فقط باید سینی خود را از دهان خارج کنید.
- کاملا نامرئی هستند
یکی دیگر از مزایای بزرگ ارتودنسی نامرئی این است که مواد تراز کننده نامرئی هستند. برخی از افراد هستند که فکر می کنند بریس ها جذاب به نظر نمی رسند. با ارتودنسی نامرئی، دیگر نگران دیدن سیم ها یا براکت ها در هنگام لبخند زدن خود نخواهید بود. این نوع ارتودنسی، یک گزینه عالی برای نوجوانان و بزرگسالان است زیرا آنها می توانند با اعتماد به نفس لبخند بزنند و دندان های خود را تراز کنند.
- در وقت شما صرفه جویی می کند
در دنیای امروز، همه افراد بسیار پر مشغله هستند. این بدان معناست که آنها زمان لازم برای سفرهای مکرر به مطب متخصص ارتودنسی را ندارند. در چنین شرایطی، ارتودنسی نامرئی یک انتخاب مناسب است. این به شما امکان می دهد زمان کمتری را به مطب ارتودنتیست اختصاص دهید. این به این دلیل است که شما فقط باید بعد از هر 6 هفته به مطب مراجعه کنید. این موضوع به این معنی است که قرار ملاقات های کمتری خواهید داشت.
سلامت دندان شما را بهبود می بخشد
با ارتودنسی نامرئی، حتی می توانید سلامت دندان های بهتری داشته باشید. داشتن دندان های صاف برای سلامت لثه ها و دندان ها ضروری است. با این روش می توانید دندان های خود را به روشی بهتر تمیز کنید. در نهایت باید گفت اینویزیلاین یا ارتودنسی نامرئی راه حلی عالی برای داشتن لبخندی زیبا است. شما می توانید سلامت کلی بهتری داشته باشید زیرا تمیز کردن آن آسان خواهد بود. دهان پاک، دهان سالم است.

پروتز متحرک و ثابت دندان
انواع پروتز دندان
انواع پروتز دندان به دو نوع پروتز ثابت و متحرک تقسیم بندی می شود. از نمونه پروتز ثابت می توان تاج یا روکش دندان و پل یا بریج دندان را نام برد. این پروتزها به دندان چسبانده می شوند. به همین دلیل عنوان ثابت گرفته اند. برای پروتز متحرک می توان دندان های مصنوعی را مثال زد که به آنها دست دندان نیز گفته می شود. پارسیل نیز دندان مصنوعی جزئی است. یکی از موارد مصرف پروتز دندان، اصلاح فاصله بین دندان ها می باشد.
پروتز ثابت دندان و پروتزهای متحرک به شکل های مختلفی تولید می شوند. برای ثابت کردن پروتز دندانی در جای خود از موادی مانند چسب و پیچ استفاده می شود.
1.پروتز ثابت
پروتز ثابت دندان به پروتزی گفته می شود که به دندان یا ایمپلنت متصل می شود. نحوه اتصال این نوع پروتز می تواند با چسبهای مخصوص این کار یا پیچ باشد. تنها دندانپزشک معالج می تواند این پروتز را از دهان خارج کند. پروتز ثابت میتواند از مواد مختلفی ساخته شود. در ادامه مواد ساخت آن را بیان میکنیم :
مواد سازنده پروتز ثابت
روكش یا بریج سرامیک متصل به فلز(PFM): در این نوع پروتز ابتدا فریم یا چارچوبی از فلزات مخصوص (تیتانیوم، پالادیوم و یا طلا) که به روكش یا بریج ثبات میدهند ساخته میشود سپس لایه ای از سرامیك دندانی برای بازسازی ظاهر و سطح جونده پروتز به این فریم متصل میشود.
مراحل درمان پروتز ثابت
- دندانپزشک در مرحله آغازین آماده سازی اولیه را بر روی دندان بیمار انجام می دهد. پس از آن قالبگیری دندان انجام می شود و نتیجه برای لابراتوار دندانپزشکی فرستاده می شود.
- در لابراتوار قالب ها با استفاده از گچ دندانپزشکی ریخته میشود و ماکت دندان از جنس گچ ساخته می شود.
- پس از آن روی این ماكت فریم فلزی ساخته می شود و سپس چند لایه سرامیك در حرارت بسیار بالا به فریم فلزی اتصال داده می شود. اگر به ویژگی های فردی به عنوان مثال رنگ دندان و سایز آن توجه بیشتری شود، میتوان پروتز دندان زیباتری ساخت که به دندان های واقعی بیمار نزدیکتر باشد.
- روكش یا بریج دندان فاقد فلز این روكشها از دی اکسید زیرکونیوم (زیرکونیا) و یا سرامیک فشرده ساخته میشود، روش آماده سازی دندانها و قالبگیری و ارسال به لابراتوار مشابه روكش های فلز و سرامیك است ولی مراحل لابراتواری آنها با هم متفاوت است چرا كه در این روش ماكتهای دندانی ابتدا توسط دوربینهای ٣ بعدی اسكن شده، سپس توسط كامپیوتر روكش مورد نظر طراحی میشود در مرحله بعد بلوك های زیركونیومی مخصوص توسط دستگاههایی كه بسیار شبیه دستگاههای تراشكاری دقیق صنعتی (معروف به دستگاههای CAD CAM) هستند تراشیده شده و تبدیل به روكش می شوند.
- و پس از آن توسط متخصص روی لثه و در جای مناسب قرار میگریند.
سرامیک زیرکونیوم ماده اصلی تشکیل دهنده روكشها و بریجهاست که در چند سال گذشته توسعه بسیاری داده شده است. این ماده مزایای بسیاری نسبت به پروتز فلز و سرامیکی دارد:
- این مواد فلزی نیستند و حساسیت هایی كه به خاطر نزدیكی فلز با بافتهای دندان بوجود می آید را به وجود نمی آورند.
- علاوه بر خواص گفته شده زیركونیاها دربسیاری از جنبه ها بهتر از فلز عمل می کنند و پروتز ساخته شده از ان به طور کامل با فرم و رنگ دندان هماهنگی دارد.
- این مواد از نظر بیولوژیکی خنثی هستند و با محیط زیست سازگاری دارند . این مواد حرارت و برق را به سختی از خود عبور می دهند. (دندانهای پایه را از تحریكات شدید محافظت میكنند) علاوه بر این پلاک های دندانی روی سطح انها تجمع پیدا نمیکنند.
- زیرکونیاها در برابر نور نفوذ پذیرند و دارای خواص فتودینامیک عالی هستند، ( این خاصیت به طبیعی تر شدن ظاهر روكش كمك زیادی میكند ).
- با استفاده از این مواد خطر التهاب لثه یا خارج شدن لثه از حالت طبیعی وجود ندارد.
- خطر ابتلا به آلرژی و یا تغییر رنگ لثه ها در نزدیکی لبه های فلزی وجود ندارد.
نقطه ضعف این مواد گرانتر بودن نسبت به مواد مشابه خود است. علاوه بر پروتز دندان ،ایمپلنت های دندانی و قطعات مربوط به آن که به ایمپلنت متصل میشوند نیز از این مواد ساخته شده اند به نظر میرسد که استفاده از این مواد فصل جدیدی را در دندانپزشکی باز کرده است.

2. پروتز متحرک
پروتز متحرک یا دست دندان همانگونه که از نامش بر می آید، پروتزی است که به راحتی می توان آن را داخل دهان قرار داد و یا آن را از دهان خارج کرد. در صورت کشیده شدن همه دندانهای بیمار می توان پروتز متحرک کامل استفاده کرد. از مضرات استفاده از این نوع پروتز بحث روانی آن است که فرد با پوشیدن آن احساس پیری کند. در ابتدای درمان ممکن است که استفاده از دست دندان ناخوشایند باشد اما به مرور زمان این حس از میان خواهد رفت.
در استفاده از این پروتز ها به دلیل تخریب مستمر و تحلیل تیغه استخوان فك هر ١یا ٢ سال نیاز به بررسی آن و هر ٥ تا ٧ سال نیاز به جایگزینی پیدا میکنند .در صورتی که بیمار همه دندانهای خود را ازدست نداده باشد برای جایگزینی چند دندان از دست رفته پروتز (یا دندان مصنوعی) پارسیل مورد استفاده قرار میگیرد. این نوع پروتزروی یک صفحه فلزی ساخته میشود که توسط یک لایه روکش پلاستیکی همرنگ لثه ها پوشیده شده است. پروتزهای پارسیل توسط قفلها یا نگه دارنده های مخفی به دندان ها متصل باقی میمانند. باید توجه داشت كه تا قبل از معرفی ایمپلنت های دندانی، بازسازی سیستم جونده بر روی استفاده از دندان مصنوعی متمرکز بود ولی امروزه به سبب مزایای بیشمار ایمپلنت ها این نوع از پروتز دندان کمتر استفاده می شود.

بهترین دندانپزشک در صادقیه
ایمپلنت دندان در صادقیه
درمان ریشه دندان
درمان ریشه دندان چیست؟
اعصاب و عروق اصلی دندان در یک بافت نرم قرار گرفته است که محل آن کانال های ریشه دندان می باشد. به این بافت نرم در اصطلاح پالپ می گویند و زمانی که دچار مشکلات معمول از جمله عفونت شود، شما نیاز دارید به درمان آن اقدام کنید. در چنین زمانهایی است که پیشنهاد دکتر به شما کمک گرفتن از روش درمان ریشه دندان می باشد.
می شود گفت زمانی که دندان فردی درگیر عفونت همراه با پوسیدگی می شود، تنها راه کمک درمان ریشه آن است. این نوع درمان به این طریق انجام می شود که ابتدا دندانپزشک اقدام به خارج کردن بافت خراب از ریشه دندان می کند. سپس باید کانال های ریشه دندان تمیز شوند و حفره های بوجود آمده توسط مواد ویژه پر گردند.
معمولا عفونت ایجاد شده در پالپ دندان ناشی از مواردی چون آسیب دیدگی، ترک و شکستگی و پوسیدگی های عمیق می باشد. از نشانه های این عفونت ها می توان به حساسیت دندان به دمای مایعات، خرابی قابل مشاهده دندان، تورم در ناحیه فک و لثه، درد و … اشاره کرد که با مشاهده آنها باید برای درمان ریشه دندان اقدام نمایید.
برای درمان از بی حسی موضعی استفاده می شود و میزان موفقیت این روش درمانی بالای ۹۰ درصد ثبت شده است.
انواع روش های درمان ریشه
برای درمان ریشه دندان با توجه به شرایط دندان و وضعیت عفونت ایجاد شده، از روش های متفاوتی استفاده می شود که شامل موارد زیر هستند :
- جراحی اپیکو
- عصب کشی یا اندو
- درمان ریشه مجدد یا ری اندو
زمانی که نشانه های مربوط به ایجاد آسیب و عفونت در پالپ موجود در ریشه دندان را مشاهده کردید باید برای درمان ریشه به متخصص مراجعه کنید تا با یکی از این روش ها فرآیند درمان شما به صورت کامل انجام گیرد.

فرآیند درمان ریشه دندان در چند مرحله صورت می گیرد که باید با دقت و مراقبت کامل این مراحل انجام شوند.
- عکسبرداری و رادیوگرافی از دندان
برای تشخیص میزان و سطح آسیب و همچنین تعیین روش مناسب جهت درمان ریشه دندان، متخصص درخواست عکسبرداری و رادیوگرافی دندان را می دهد.
- انجام بی حسی و برداشتن تاج دندان
بعد از اینکه معاینات اولیه انجام شد، با انجام بی حسی موضوعی در فک شما، دندانپزشک اقدام به برداشتن قسمت کمی از تاج دندان می کند و سطح پوسیده به طور کامل برداشته می شود.
- تخلیه پالپ عفونی شده
زمانی که ریشه دندان ظاهر شد، امکان دسترسی دندانپزشک به پالپ عفونی شده وجود دارد و به طور کامل کانال ریشه دندان را از آن تخلیه می کند. توجه به این نکته ضروری است که عروق عصبی پالپ به طور کامل قطع شوند، تا در آینده باعث مشکل و درد برای فرد نشوند.
- تمیز کردن کانال ریشه
زمانی که پالپ به طور کامل خارج شد، باید کانال های ریشه به طور کامل تمیز شوند و برای پر کردن آماده شوند. برای اینکه بصورت کامل کانال تمیز شود با محلول های ویژه، آن را شستشو می دهند. این محلول هم عفونت های باقی مانده را برطرف می کند و هم عاملی برای مقابله با میکروب می باشد.
- پرکردن ریشه دندان
حالا که کانال های ریشه به طور کامل پاکسازی شده اند، دندانپزشک با استفاده از ماده گوتاپرکا، اقدام به پر کردن ریشه دندان می نماید. در نهایت یک پانسمان موقت روی دندان قرار می دهد.
با انجام این مراحل، درمان به طور کامل انجام می گیرد و فرد باید بعد از مدتی که پزشک مشخص می کند به طور کامل دندان را پر کند.




















