توضیحات
ویژگی های خدمات پرستاری در مهرشهر مجموعه آوای زندگی
ماموظف ، معتقد ، قدردان وخدمتگزاریم.
ما در آوای زندگی پزشکان و پرستارانی گرد هم آورده ایم که تخصص _پیشینه و رفتارشان مورد تحقیق قرار گرفته است که نه تنها از تخصص و دانش کافی برخوردارند بلکه نیک ترین های حرفه ی خویش می باشند.

تزریق سرم و آمپول در مهرشهر
تزریق آمپول و سرم در مهرشهر
انواع تزریقات:

تزریق یعنی وارد کردن داروهای مایع و یا واکسن به داخل بدن با استفاده از تجهیزاتی مانند سرنگ و سرسوزن تیز انجام می شود. در این بخش قصد داریم به عرفی انواع تزریقات و نحوه انجام آنها بپردازیم.
خدمات پرستاری آوای زندگی
تزریق یعنی وارد کردن داروهای مایع، مایعات یا مواد مغذی به صورت مستقیم به بدن افراد انجام می شود. شما می توانید از طریق انجام تزریقات در منزل نسبت به ترزیق آمپول در منزل، واکسن و یا انواع داروها به رگ، ماهیچه، پوست یا استخوان
تزریق سرم و آمپول در مهرشهر
تزریق آمپول و سرم در مهرشهر
انواع تزریقات در منزل

زمانی که قرار است، تزریقات برای افراد انجام شود، یک سر سوزن بخش کوچکی از پوست را برای وارد کردن دارو برای اهداف درمانی سوراخ می کند. پرستار و یا پزشکی که این کار را انجام می دهد، تزریقات را به درستی و با اطمینان انجام می دهد. انجام تزریقات برای افراد مختلف با توجه به شرایطی که دارند، در مدل های مختلفی انجام خواهد شد. انجام بیشتر تزریقات شامل سوزن و سرنگ می باشد.
تزریق سرم و آمپول در مهرشهر
تزریق آمپول و سرم در مهرشهر
در ادامه به معرفی انواع تزریقات خواهیم پرداخت.
- تزریق داخل وریدی IV
- تزریق عضلانی IM
- تزریق زیرجلدی SC
- تزریق داخل پوستی ID
تزریق داخل استخوانی
تزریق داخل وریدی
تزریق سرم و آمپول در مهرشهر
تزریق آمپول و سرم در مهرشهر
تزریق داخل وریدی به این معناست، که زمانی که داروهای مختلف را به داخل سیاهرگ تزریق می شود، زاویه ی تزریق حدود 30 درجه باشد. در بعضی از مواقع هم ممکن است، این تزریق با اتصال یک کاتتر به پوست انجام می شود. (تزریق سرم در منزل) تزریق آهن جهت درمان کم خونی افراد انجام می شود، و محل استقرار کانولا وریدی است.
تزریق سرم در منزل در مهرشهر
از تزریق داخل وریدی برای تزریق موارد زیر استفاده می شود.
تزریق سرم در منزل در مهرشهر
- تزریق محلول های مایع و الکترولیت ها برای آن دسته از افرادی که از کمبود آب رنج می برند.
- افرادی که تحت عمل جراحی و یا بیهوشی عمومی قرار گرفته اند.
- تزریق داروهای مسکن بعد از عمل
- تزریق خون و یا فرآورده های خونی
- رژیم غذایی را برای افرادی که به شدت دچار سوء تغذیه هستند.
- تجویز آهن به افرادی که دچار فقر آهن هستند.
- تزریق رنگ کنتراست به افرادی که آزمایش تصویر برداری خاصی دارند.
- تزریق استروئید مانند دگزامتازون که ضد التهاب است
- شیمی درمانی برای افراد مبتلا به سرطان
- تزریق آنتی بادی های مونوکلونال برای درمان کرونا
تزریق سرم در منزل در مهرشهر
نقاطی که برای تزریق داخل وریدی مورد استفاده قرار می گیرند، شامل:
- پشت دست ها
- جلو و پشت بخش تحتانی بازو
- فرورفتگی جلوی آرنج
انجام سرم تراپی در منزل که به واسطه ی این روش مایعات مختلف اعم از سرم را برای درمان بیمار به او تزریق می کنند. انجام این کار زمانی به افراد توصیه می شود، که دچار خون ریزی، اسهال، استفراغ، سوختگی ها شده باشند. هم چنین می توان از روش تزریق داخل وریدی در برخی از مواقع برای جایگزینی آب و الکترولیت مورد نیاز انسان نیز استفاده شود.

تزریق سرم و آمپول در مهرشهر
تزریق آمپول و سرم در مهرشهر
تزریق عضلانی به عنوان رایج ترین نوع تزریقات می باشد، که در این روش دارو مستقیماً در عضلات تزریق می شود. انجام این نوع از تزریقات سبب جذب سریع داروهایی مانند پنی سیلین و ویتامین ها (B12) می شود. دسترسی آسان آن به جریان خون و بهبود سریع بیمار می شود. هم چنین انجام ترزیقات عضلانی یکی از بهترین و بی خطرترین روش های تزریق دارو محسوب می شود.
از تزریق عضلانی برای تزریق موارد زیر استفاده می شود.
- انواع واکسن ها
- تزریق دارو برای آن دسته از بیمارانی که نمی توانند از روش های متداول تزریقات استفاده کنند.
- تزریق آنتی بیوتیک ها (پنی سیلین و استرپتومایسین)
- تزریق هورمون ها (تستوسترون و مدروکسی پروژسترون)
- تزریق کورتیکواستروئیدها
- بیمارانی که به بیماری ام اس مبتلا هستند، نیاز به این نوع تزریقات دارند.
نقاطی که برای تزریق عضلانی مورد استفاده قرار می گیرند، شامل
- عضله شانه و بالای بازو
- عضله خارجی ناحیه فوقانی ران
- لگن
انجام تزریقات به روش تزریق عضلانی به صورت زیر انجام خواهد شد.
تزریق سرم و آمپول در مهرشهر
تزریق آمپول و سرم در مهرشهر
- معمولاً از سرنگ 2-5 میلی لیتری استفاده می شود.
شماره و طول سوزن با توجه به نوع ماهیچه، محل تزریق یا میزان بافت چربی که ماهیچه مورد نظر را پوشانیده است، و سن بیمار متفاوت می باشد. جهت تزریق در ماهیچه سرینی از سوزن شماره 20-23 استفاده می شود، و برای تزریق در ماهیچه دالی از سوزن شماره 23-25 استفاده می شود.
تزریق سرم و آمپول در مهرشهر
تزریق آمپول و سرم در مهرشهر
تزریق زیرجلدی
تزریق زیرجلدی زمانی انجام خواهد شد، که داروی تجویز شده احتیاج به جذب آرام در بدن فرد داشته باشد. تزریق دارو در بافت زیر جلدی یعنی لایه چربی بین پوست و ماهیچه، انجام می شود. تزریق انسولین و مورفین برای بیماران به این روش انجام خواهد شد. درد ناشی از این نوع از تزریق نسبت به دیگر نوع تزریقات کمتر می باشد، و احتمال واکنش به آن از جمله بروز عفونت کمتر خواهد بود.
از تزریق زیرجلدی برای تزریق موارد زیر استفاده می شود.
- تزریق داروهای ضد درد مسکن (فنتانیل و مورفین)
- تزریق انسولین برای بیماران دیابتی
- تزریق هپارین (رقیق کننده خون)
- تزریق برخی داروهای تجویزی در منزل (دوپیلوماب و داروهای باروری)
- افراد مبتلا به اختلال لخته شدن خون نیز باید واکسن ها را به صورت زیرجلدی دریافت کنند.
- تزریق انواع واکسن سرخک و آبله مرغان
نقاطی که برای تزریق زیرجلدی مورد استفاده قرار می گیرند، شامل:
- ناحیه بیرونی یا پشت بازو
- ناحیه جلو و بیرونی بالای ران
- ناحیه شکم
انجام تزریقات به روش تزریق زیرجلدی به صورت زیر انجام خواهد شد.
- ابتدا پوست بدن بیمار به سمت بالا کشیده می شود.
- سپس ورود سوزن به بافت سریع و تزریق به صورت آهسته انجام می شود.
تزریق سرم و آمپول در مهرشهر
تزریق آمپول و سرم در مهرشهر
تزریق داخل جلدی
پرستارانی که تزریق داخل جلدی انجام می دهند، با ایجاد یک برآمدگی کوچک و دقیقا زیر سطح پوست این کار را انجام می دهند. این نوع از تزریق طولانی ترین زمان جذب را دارد.
از تزریق داخل جلدی برای تزریق موارد زیر استفاده می شود.
- آزمایش آلرژی
- غربالگری سل
- تزریق انواع واکسن آنفولانزا (Fluzone ID)
برای انجام این تزریقات معمولاً نقاطی از بدن که موهای کوتاه تری دارند، برای تزریق انتخاب می شود. به طور معمول این نقاط شامل سطح داخلی ساعد و قسمت فوقانی کمر و زیر کتف می باشد. محل تزریق داخل جلدی به هیچ عنوان نباید دارای زخم، بثورات پوستی و خال باشد.
تزریق داخل پوستی شامل تزریق مایعات به لایه دِرم و زیر لایه اپی درم پوست می باشد. این نوع تزریق به صورت برجسته در درمان شرایطی مانند توبکلوزیس، واکسیناسیون و آزمایش های آلرژی مورد استفاده قرار می گیرد. محل های آن در بدن شامل قسمت فوقانی پشت و سطح داخلی ساعد با زاویه تزریق حدود 5 درجه می باشد.

تزریق داخل استخوانی
تزریق داخل استخوانی فقط برای موارد اضطراری استفاده می کنند، چون دسترسی به این نقاط دشوار یا غیرممکن می باشد. با توجه به این که مغز استخوان دارای منابع خونی غنی می باشد، که به صورت مستقیم به سیستم گردش خون وصل می شود. جهت انجام تزریق داخل استخوانی بعد از ویزیت پزشک در منزل شما و یا مراکز درمانی از یک سوزن مخصوص برای سوراخ کردن مغز استخوان و رسیدن دارو به سیاهرگ استفاده می کند. این نوع از تزریق به عنوان یکی از سریع ترین روش ها برای دریافت مایعات، داروها و فرآورده های خونی به آن دسته از بیماران می باشد، که دارای شرایط اورژانسی می باشند.
شرایط اورژانسی که ممکن است، برای افراد اتفاق بیوفتد، شامل:
- صدمات شدید
- عوارض زایمان
- اوردوز دارو
- مسمومیت تصادفی
- ناراحتی تنفسی
- تشنج های طولانی یا پشت سر هم
- برق گرفتگی
- شوک انسولین
- تجویز دارو برای بیمار مبتلا به شوک سپتیک
- سکته مغزی
- ایست قلبی
- تزریق بی حسی موضعی برای بیمارانی که عمل های سختی مانند عصب کشی دندان داشته اند، استفاده می شود.
- تزریق داروهای ضد درد برای بیماران در مرحله پایانی بیماری
نقاطی که برای تزریق داخل استخوانی مورد استفاده قرار می گیرند، شامل:
- استخوان ساق پا
- استخوان ران
- استخوان بالای بازو
تزریق سرم و آمپول در مهرشهر
تزریق آمپول و سرم در مهرشهر
تزریق داخل مفصلی
تزریق داخل مفصلی برای درمان آرتروز، نقرس و التهاب تاندون مورد استفاده قرار می گیرد. با به کارگیری از این روش به مفصل آسیب دیده تزریق می شود، و به خارج شدن مایعات اضافی از مفصل کمک می کند.
تزریق سرم و آمپول در مهرشهر
تزریق آمپول و سرم در مهرشهر
تزریق داخل صفاقی

تزریق داخل صفاقی برای آن دسته از بیمارانی استفاده خواهد شد، که مبتلا به سرطان می باشند، و تحت شیمی درمانی قرار گرفته اند.
تزریق سرم و آمپول در مهرشهر
تزریق آمپول و سرم در مهرشهر
عوارض جانبی انواع تزریق ها
انجام انواع تزریقات برای واکسن، سرم، داروها و... ممکن است، عوارض جانبی مختلفی را برای افراد در پی داشته باشد. از شایع ترین عوارضی که ممکن است، هنگام تزریق رخ دهد، می توان به درد در بازو یا تب خفیف و جزئی اشاره کرد.
از دیگر عوارض جانبی ناشی از انجام تزریقات می توان به:
- درد مداوم یا شدید در محل تزریق
- قرمزی، تورم، گرما، علائم عفونت
- آبسه (تجمع چرک در محل تزریق)
- حالت تهوع، استفراغ، سرگیجه
- واکنش آلرژیک
- آسیب به بافت های زیرین
- آسیب به اعصاب مجاور
- آسیب به استخوان یا بروز عفونت
- خون ریزی بیش از حد برای آن دسته از بیمارانی که دارای اختلالات خونریزی می باشند.
- تشکیل لخته خون بزرگ در محل تزریق
- غش
اشاره کرد. برای این که بتوانید از به وجود آمدن عوارض جانبی برای افراد جلوگیری کرد، بهتر است، در مورد استفاده ایمن از سوزن، سرنگ و داروهای تزریقی مراقب باشند
تزریق سرم و آمپول در مهرشهر
تزریق آمپول و سرم در مهرشهر
.
تست کرونا
تزریق سرم و آمپول در مهرشهر
تزریق آمپول و سرم در مهرشهر
تست کرونا در محل
اگر می خواهید بدون فکر کردن به رفت و آمد و به دور از هرگونه استرس بابت آلودگی احتمالی از بیماران دیگر در محیط آزمایشگاه، و در نهایت در کم خطر ترین شرایط ممکن جهت انجام تست اقدام نمائید. بهتر است تست کرونای خود را در محل زندگی یا محل کارتان انجام دهید. تیم مجرب نمونه گیری آوای زندگی با سابقه انجام تست کرونا در منزل از اولین روزهای شیوع بیماری کرونا در خدمت شما عزیزان میباشد.
تست PCR کرونا_تست کرونا در منزل در تمام مناطق کرج
در روش تست PCR ماده ژنتیکی ویروس از نوع DNA مورد بررسی قرار میگیرد. اما برخی از ویروسها مثل کرونا دارای ماده ژنتیکی از نوع RNA هستند که جهت تشخیص آن از روش RT-PCR استفاده میگردد. در این روش تشخیص، نمونهای از انتهای حلق و بینی شما گرفته میشود. آزمایشگاه، نمونه را تحت شرایط و پروسه خاصی قرار داده و ماده ژنتیکی آن را استخراج مینماید. این ماده ژنتیکی وارد دستگاه شده و دستگاه واکنشهای زنجیرواری را شروع میکند. هر بار که این واکنش رخ میدهد یک سیکل شمارش میشود. هر چقدر سریعتر ماده ژنتیکی به نقطه تشخیص دستگاه برسد مقدار ویروس در بدن بیشتر است.
اگر تست PCR کرونا مثبت شود، نشان میدهد که در حال حاضر ویروس کرونا در بدن شما وجود دارد. اگر تست PCR کرونا منفی شود، نشان میدهد که در حال حاضر ویروس کرونا در بدن شما وجود ندارد یا مقدار آن بسیار کم است.
زمان مناسب برای انجام این تست، یک هفته پس از بروز این علائم است و اگر در مراکز معتبر، نمونه گیری انجام نشود، کیتهای تشخیصی با کیفیت کم، ممکن است پاسخ اشتباهی ایجاد کنند. آزمایشگاه کیوان با بالاترین دقت امکان انجام تست کرونا در منزل را فراهم کرده است.
روش های دیگر تشخیص کرونا شامل:
تکثیر نوکلئیک اسید به روش همدما
تکثیر همدمای نوکلئیک اسیدیک روش ساده و ارزان برای تشخیص عفونتهاست. بر اساس این روش کیتهای تشخیصی سریعی برای کووید-۱۹ ساخته شده که کیت شرکت ابوت یکی از آنها است.
تزریق سرم و آمپول در مهرشهر
تزریق آمپول و سرم در مهرشهر

تزریق سرم و آمپول در مهرشهر
تزریق آمپول و سرم در مهرشهر
پادتن
یکی از روشهای تشخیص کووید-۱۹ از راه کیتهای آزمون پادتنها است. در این آزمونها از سرم خون نمونه گرفته میشود و در صورتی که فرد مبتلا شده باشد و بهبودی کامل یافته باشد همچنان این آزمون جواب مثبت میدهد. نخستین آزمون پادتنها از سوی مؤسسه ویروسشناسی ووهان در ۱۷ فوریهٔ ۲۰۲۰ ارائه شد.
در ۲۵ فوریهٔ ۲۰۲۰ یک گروه سنگاپوری از مدرسهٔ پزشکی Duke–NUS آزمون پادتن دیگری را ارائه کرد که پس از چند روز نتیجهاش معلوم میشد.
در ۲۸ فوریهٔ ۲۰۲۰ یک شرکت از کرهٔ جنوبی به نام PCL یک آزمون تشخیص فوری به نام COVID-19 Ag GICA Rapid به وزارت غذا و داروی کرهٔ جنوبی ارائه کرد که ادعا میکرد کیتهای تشخیص بر اساس پادتنها کار میکند و برخلاف RT-PCR میتواند بیماری را ظرف ۱۰ دقیقه تشخیص دهد.
تزریق سرم و آمپول در مهرشهر
تزریق آمپول و سرم در مهرشهر
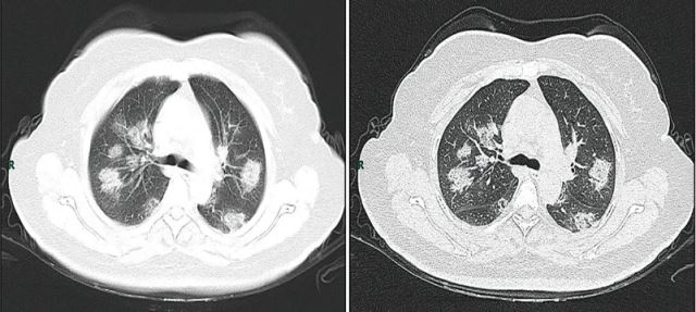
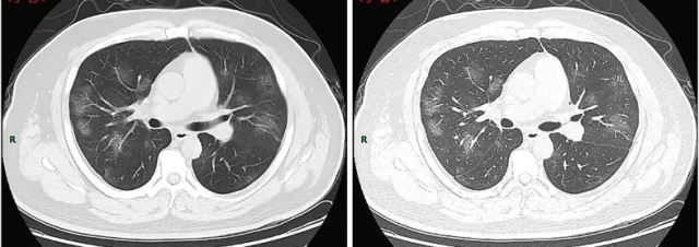
سیتی اسکن سینه
![]() |

.


تزریق سرم و آمپول در مهرشهر
تزریق آمپول و سرم در مهرشهر
کیت تشخیص
خط تولید کیت تست سریع کرونا در ایران
کیت تشخیص سریع کرونا، یک نوع کیت تشخیصی است که میتواند طی ۱۵ الی ۲۰ دقیقه ویروس کرونا را تشخیص دهد. این نوع کیت در معدود کشورهایی تولید شدهاست که از جمله می توان به ایران اشاره کرد که توسط ستاد اجرایی فرمان امام و یک شرکت دانشبنیان وابسته به دانشگاه صنعتی امیرکبیر تولید شدهاست.
برای انجام تست کرونا در منزل نیازی نیست که حتما ناشتا باشید، اما بهتر است برای کسب نتیجه بهتر، قبل از نمونهگیری، آدامس نجوید و یا سیگار نکشید و همچنین یک ساعت قبل از انجام تست کرونا در منزل از نوشیدن مایعاتی مانند آب، چای و قهوه خودداری کنید.
البته بهتر است قبل از انجام تست کرونا در منزل از دهانشویه یا نخ دندان استفاده نکنید.برای اینکه ذرات غذا و دیگر ناخالصیها در ترشحات حلق از بین برود میتوانید یک ساعت قبل از انجام تست فوری کرونا در منزل آب را در دهانتان غرغره کنید.
تزریق سرم و آمپول در مهرشهر
تزریق آمپول و سرم در مهرشهر
بهترین برنامه غذایی برای درمان کم خونی:
سلول های قرمز خون حاوی پروتئینی به نام هموگلوبین سرشار از آهن هستند. اگر آهن بدن کافی نباشد بدن نمی تواند هموگلوبین لازم برای ایجاد گلبول های قرمز خون جهت غنی سازی خون از اکسیژن را به نقاط بدن تولید کند. علاوه بر کمبود هموگلوبین، فولات و ویتامین B12 هم بر توانایی بدن در ساخت سلول های قرمز خون تاثیر دارد. زمانی که بدن دچار کمبود ویتامین B12 باشد فرد دچار کم خونی مخرب می شود. در صورت وجود کم خونی، رژیم غذایی سرشار از آهن، ویتامین های گروه BوC مفید است و همچنین درمورد مصرف مکمل ها با پزشک خود صحبت کنید.
تزریق سرم و آمپول در مهرشهر
تزریق آمپول و سرم در مهرشهر

برنامه رژیم غذایی کم خونی
تزریق سرم و آمپول در مهرشهر
تزریق آمپول و سرم در مهرشهر
مناسبترین برنامه غذایی برای درمان کم خونی شامل غذاهای غنی از آهن و سایر ویتامین های ضروری برای تولید هموگلوبین و گلبول های قرمز خون است، همچنین باید شامل غذاهایی برای کمک به بدن برای جذب بهتر آهن باشد. آهن موجود در غذاها به 2 صورت آهم هم و غیر هم است. آهن هم در گوشت، مرغ و غذاهای دریایی یافت می شود در حالی که آهن غیرهمی در غذاهای گیاهی و غنی شده با آهن موجود است. بدن قادر به جذب هر 2 نوع آهن است، اما آهن هم را به راحتی جذب می کند. مقدار توصیه شده روزانه برای مصرف آهن 10 میلی گرم برای مردان و 12 میلی گرم برای زنان است. اگرچه برنامه های درمانی کم خونی بصورت فردی انجام می شود، اما بیشتر آنها روزانه به مصرف 150 تا 200 میلی گرم آهن اساسی نیاز دارند. تا زمانی که سطح آهن بدن به میزان کافی نرسد به احتمال زیاد باید قرص آهن یا مکمل آن را مصرف کرد. برای دریافت آهن بیشتر و کمک به مبارزه با کم خونی فقر آهن این مواد غذایی را به رژیم خود اضافه کنید:
تزریق سرم در منزل در مهرشهر
سبزی ها
سبزی های برگ دار به ویژه گیاهان تیره از بهترین منابع آهن غیرهمی محسوب می شوند، آنها عبارتند از:
اسفناج
کلم پیچ
کلم سبز
برگ چغندر
تزریق سرم و آمپول در مهرشهر
تزریق آمپول و سرم در مهرشهر
برخی از سبزی های برگ دار مانند برگ چغندر و برگ کلم سبز حاوی فولات نیز هستند. رژیم غذایی کم فولات نیز باعث کم خونی فقر فولات می شود. در نظر داشته باشید مرکبات، لوبیا و غلات کامل منابع خوبی از فولات هستند. خوردن سبزی های تیره و برگ دار برای تامین آهن مورد نیاز بدن گزینه خوبی محسوب می شود. برخی از سبزی های سرشار از آهن مانند اسفناج و کلم پیچ نیز دارای اگزالات زیادی هستند. اگزالات ها می توانند با اتصال به آهن مانع جذب آهن غیرهمی شوند، بنابراین گرچه خوردن سبزی ها به عنوان بخشی از یک رژیم مناسب و مفید برای کم خونی است، اما فقط برای درمان این بیماری به آنها وابسته نباشید. ویتامین C به جذب آهن در معده کمک می کند. خوردن سبزی های برگ دار با غذاهایی که حاوی ویتامین C هستند مانند پرتقال، فلفل قرمز و توت فرنگی باعث افزایش جذب آهن می شود. برخی از سبزی ها مانند سبزی های برگ چغندر و کلم سبز منابع خوبی از آهن و ویتامین C محسوب می شوند.

گوشت و مرغ
گوشت و مرغ حاوی آهن هم هستند. گوشت قرمز، گوشت بره و گوساله بهترین منبع تامین آهن برای بدن هستند، اما مقادیر آهن در مرغ در مقایسه با گوشت کمتر است. خوردن گوشت یا مرغ با برخی غذاها مانند سبزی های برگ دار به همراه یک میوه غنی از ویتامین C باعث افزایش جذب آهن می شود
تزریق سرم در منزل در مهرشهر
.
جگر
این نوع گوشت منبع بسیار خوبی از آهن به شمار می آید. بدون شک جگر به عنوان محبوب ترین گوشت اندام غنی از آهن و فولات است. برخی دیگر از گوشت های اندام غنی از آهن قلب، کلیه و زبان گاو هستند
تزریق سرم در منزل در مهرشهر
غذای دریایی
برخی غذاهای دریایی آهن هم را تامین می کنند. صدف، گوش ماهی، خرچنگ و میگو منابع خوبی از آهن محسوب می شوند البته بیشتر ماهی ها حاوی آهن هستند
تزریق سرم در منزل در مهرشهر
.
غذاهای غنی شده با آهن
بسیاری از غذاها با آهن غنی می شوند، بنابراین اگر گیاهخوار هستید یا به دنبال سایر منابع آهن هستی این غذاها را به رژیم خود اضافه کنید:
✔️ آب پرتقال غنی شده
✔️ غلات آماده شده برای خوردن
✔️ غذاهایی که از آرد تصفیه شده غنی شده مانند نان سفید تهیه می شوند
✔️ ماکارونی غنی شده
غذاهایی که از غلات غنی شده تهیه می شوند
✔️ برنج سفید غنی شده
✔️لوبیا
لوبیا منبع خوبی از آهن برای گیاه خواران و گوشت خواران است، همچنین ارزان قیمت و همه فن حریف است. برخی از گزینه های غنی از آهن عبارتند از:
✔️ لوبیا قرمز
✔️ نخود
✔️ دانه های سویا
✔️ لوبیا چشم بلبلی
✔️ لوبیا چیتی
✔️ لوبیای سیاه
✔️ نخود فرنگی
✔️ لوبیای لیما
تزریق سرم در منزل در مهرشهر
تزریق سرم و آمپول در مهرشهر
تزریق آمپول و سرم در مهرشهر
.














