
دکتر محمد علی تازیکی
مرکز تخصصی و فوق تخصصی
سونوگرافی ورادیولوژی پارس
دکتر محمد علی تازیکی
✓رادیولوژیست حرفه ای با بیش از ۹سال سابقه کاربادانش گسترده ای از روش های تصویربرداری تشخیصی.
✓دارای مهارت در کار با انواع مختلف تجهیزات سونوگرافی ،رادیولوژی، MRI و CTS can
✓متعهد به ارائه خدمات عالی درتشخیص وارائه توضیحات کامل به همه بیماران
✓تفاسیر دقیق کلیشه های رادیولوژی ،CTScanوMRI
✓مؤسس ومسئول فنی مرکز رادیولوژی و سونوگرافی پارس
✓شاغل دربیمارستان های 5 آذر، شهیدصیاد شیرازی گرگان و کلینیک تخصصی دزیانی وبیمارستان آل جلیل آق قلا
✓تجربه گسترده در انجام و تفسیر کلیشه های رادیولوژیCTScanوMRI
✓ تجربه در انجام اقدامات رادیولوژیک مداخله ای
✓به روز شده با جدیدترین متدهای رادیولوژی وسونوگرافی
✓ شرکت منظم در سمینارهای آموزش مداوم پزشکی وکنگره های رادیولوژی وسونوگرافی
✓ دقت بالا درتشخیص
✓ حفظ خونسردی حتی تحت کار شدید
✓مشورت با همکاران متخصص
✓توانایی آموزش مفاهیم پیچیده وجزئیات دوره های
✓آموزش تخصص رادیولوژی وسونوگرافی
✓فارغ التحصیل از دانشگاه علوم پزشکی کرمان ودانشگاه علوم پزشکی دولتی ایروان
سونوگرافی دکتر محمدعلی تازیکی
سونوگرافی پارس

سونوگرافی ورادیولوژی پارس
خدمات ارائه شده در مرکز سونوگرافی و رادیولوژی پارس

انواع سونوگرافی های تخصصی وفوق تخصصی جنین
●سونوگرافی تشخیص بارداری از راه شکم یا واژینال
●غربالگری سه ماهه اول (NT,NB)
●غربالگری سه ماه دوم بارداری (آنومالی اسکن)
●سونوگرافی کالرداپلر پایش رشد جنین یا IUGR
●سونوگرافی کالر داپلر از نظر چسبندگی های جفت (آکرتا)
• سونوگرافی بیوفیزیکال(BPP)
وسایر سونوگرافی های بارداری ...
یبهترین مرکز سونوگرافی گرگان
سونوگرافی هیپ نوزاد

سونوگرافی لگن نوزاد یا سونوگرافی هیپ یکی از بررسیهایی است که پس از تولد انجام میشود و موضوع در رفتگی لگن نوزاد را ارزیابی میکند.
در رفتگی مفصل لگن نوزاد یا شلی لگن یکی از مشکلاتی است که میتواند به صورت مادرزادی اتفاق بیفتد.
دررفتگی مادرزادی لگن در نوزادان مشکلی است که به رشد مفاصل لگن نوزاد در هنگام جنینی، تولد و بعد از آن برمیگرددو باعث ضعف لگن میشود.
معمولا پزشک بعد از معاینه بالینی لگن نوزاد، انجام سونوگرافی هیپ را نسخه میکند.
این سونوگرافی هیچگونه دردی را متوجه کودک نمیکند و بسیار راحت انجام میشود.
در سونوگرافی پارس که یکی از بهترین مراکز سونوگرافی در گرگان هست میتوانید سونوگرافی هیپ نوزاد را با دقت تشخیصی بالا
توسط دکتر محمد علی تازیکی انجام دهید.
بهبهترین یترین سونوگرافی گرگان
بهتببهترین مرکز سونوگرافی گرگان بهترین سونوگرفی دکتر تازیکی گرگان
سونوبگرافی پارس
سونوگرافی پارس گرگان
سونوگرافی رحم و تخمدان

●سونوگرافی رحم و تخمدان ها جهت بررسی سلامت رحم و تخمدان ها فولیکول در زنان
●سونوگرافی های تخصصی در بیماریهای زنان و نازایی
●سونوگرافی ترانس واژینال
بهترین مرکز سونوگرافی گرگان
سونوگرافی شکم و لگن

این نوع سونوگرافی اندام های داخلی بدن مانند
کبد ، لوزالمعده ، کیسه صفرا، طحال، کلیه ها ،
مثانه، رحم ، دیواره رحم ، تخمدان ها ،پانکراس
پاراآئورت ،آدرنال و
ساختارهای نزدیک لگن را مورد بررسی دقیق قرار می دهند .
)
آمادگی برای انجام سونوگرافی شکم و لگن
برای انجام این نوع سونوگرافی لازم است که بیمار به مدت ۸ تا ۱۲ ساعت ناشتا باشد. (در صورتی که فرد دارای دیابت باشد ، باید در صورت لزوم مکمل قندی مصرف کند) مثانه بیمار کاملاً باید پر بوده و بنابراین یک ساعت قبل از انجام اسکن بیمار باید آب زیادی بنوشند. پر بودن مثانه باعث می شود که تصویر واضحی از اندام های داخلی بر روی مانیتور ظاهر شود، اما در مورد لزوم پر بودن مثانه لازم است که از پزشک یا تکنسین خود سوال بپرسید.
شما میتوانید سونوگرافی های شکم ولگن رادریکی از بهترین مراکز سونوگرافی در گرگان ( سونوگرافی پارس درگرگان) توسط دکتر محمدعلی تازیکی با دقت تشخیصی بالا انجام دهید. (بهترین سونوگرافی گرگان)
ب
سونوگرافی تیروئید وگردن

سونوگرافی داپلر تیروئید ابزاری برای شناسایی بد خیمی های موجود در غده تیروئید می باشد . این سونوگرافی پیشرفته به پزشکان کمک می نماید تا پیش از وقوع بیماری جدی مانند سرطان و بد خیم شدن غدد بدن ، با کشف عارضه از وقوع آن پیشگیری نمایند . سونوگرافی رنگی تیروئید یکی از حساس ترین و دقیق ترین سونوگرافی ها بوده و به کشف انواع بیماری های غده تیروئید کمک می کندشما میتوانید سونوگرافی تیروئید و سونوگرافی داپلر تیروئید، خود را در یکی از بهترین مراکز سونوگرافی در گرگان (سونوگرافی پارس) توسط دکتر محمد علی تازیکی انجام دهید.
بهترین سونوگرافی گرگان
سونوگرافی کالرداپلر عروق شریانی وریدی اندام های تحتانی و فوقانی بدن

انواع سونوگرافی های داپلررنگی:تعیین ترومبوز وتنگی عروق وکاروتید،واریس و...
سونوگرافی داپلر واریس

....در سونوگرافی ساده که برای دیدن اجزا و قسمتهای مختلف بدن مورد استفاده قرار میگیرد،
اختلالات مختلف مانند لخته خون قابل مشاهده است؛
اما برای تشخیص واریس و تعیین شدت آن، لازم است از کیفیت جریان خون مطلع شد.
سونوگرافی داپلر برای تشخیص واریس، وضعیت جریان خون در سیاهرگ مبتلا را مورد بررسی قرار میدهد
شما میتوانید سونوگرافی داپلر واریس را د یکی از بهترین مراکز سونوگرافی در گرگان (سونوگرافی پارس)توسط دکتر محمدعلی تازیکی انجام دهید.(بهترین سونوگرافی گرگان)
سونوگرافی غربالگری در گرگان
سونوگرافی پارس
رادیولوژی پارس
سونوگرافی ورادیولوژی پارس 
مرکز تصویربرداری پزشکی پارس
یکی از کامل ترین و تخصصی ترین مراکز تصویربرداری پزشکی درگرگان
با کادر مجرب و متخصص و با استفاده از آخرین تکنولوژی های روز
طرف قرارداد با کلیه بیمه ها آماده خدمت به مراجعین عزیز است.
خدماتی که در رادیولوژی پارس انجام میشود.

انجام رادیوگرافی باپیشرفته ترین دستگاهای رادیولوژی تمام دیجیتال بابهترین کیفیت چاپ تصاویربر روی فیلم وارسال تصاویر به همکاران عزیز درواتساپ

رادیوگرافی پانورکس(OPG)
رادیوگرافی هیستروسالپینگوگرافی
(HSG)
رادیوگرافی مچ جهت تعیین سن استخوانی(Bone Age)
رادیوگرافی نسوج نرم گردن(Adenoid view)
رادیوگرافی ستون فقرات گردن،پشت ،کمر
(تعیین KyphosisوScoliosis)
رادیوگرافی اندامهای تحتانی
(Alignment view)
رادیوگرافی سینوس های قدامی صورت
(Waters&Caldwell View)
رادیوگرافی بینی
رادیوگرافی جمجمه
رادیوگرافی شانه
(استخوان اسکاپولا، مفصل آکرومیو کلاویکولار بانمای آگزیلار)
رادیو گرافی قفسه صدری
Chest XRay
رادیوگرافی لگن
رافی ساده شکم –خوابیده
رادیوگرافی ستون فقرات گردن
رادیوگرافی فقرات پشتی
رادیوگرافی فقرات کمری
رادیوگرافی اندامهای فوقانی
رادیوگرافی دست وپا
رادیوگرافی باماده حاجب خوراکی
مری معده وروده
.Barium Meal
.UpperGI.
Barium Swallow.
small Bowel Transit
وسایر رادیوگرافی ها.......
رادیولوژی پارس در گرگان
عکس رنگی از رحم(HSG)
HSG

عکس برداری رنگی از رحم یا هیستروسالپنگوگرافی چیست؟
عکس رنگی رحم (HSG TEST) که هیستروسالپنگوگرافی (HYSTEROSALPINGOGRAPHY) نامیده می شود
هیستروسالپنگوگرافی که به اختصار HSG خوانده می شود در واقع همان تصویر برداری رنگی از داخل رحم و لوله رحم (اعضایی که تخمک را از تخمدان به رحم منتقل می کنند) با کمک اشعه ایکس میباشد. در این عکس برداری رنگی از رحم (HSG) از ماده حاجب استفاده می شود تا تصاویر شفاف و دقیقی از رحم و لوله آن ثبت شود.عکس رنگی از رحم روشی سرپایی می باشد که انجام آن کمتر از 5 دقیقه به طول می انجامد. بهترین زمان برای مراجعه معمولا بعد از پایان یافتن پریود قاعدگی و قبل از تخمک گذاری می باشد جهت عکس رنگی از رحم , شما میتوانید برای رزرو نوبت در یکی از بهترین مراکز رادیولوژی گرگان( رادیولوژی پارس) با ما تماس بگیرید.
عکس HSG
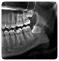
عکس OPG گرگان

عکس OPG
رادیولوژی پارس
درگرگان
عکس OPG که با نام ارتوپانتوموگرافی نیز شناخته میشود، نوعی اسکن توسط اشعه ایکس است که نمای پانوراما گسترده از قسمت تحتانی چهره ایجاد میکند.
عکس OPGمیتواند تمام دندانها را در هر دو فک ازجمله مواردی که هنوز ظاهرنشدهاند مانند دندان عقل را روی یک تصویر نشان دهد.
همچنین عکس OPG نمایی از استخوان فک و مفصل گیجگاهی (TMJ) را ارائه میدهد که فک را به بقیه جمجمه متصل میکند.
بهعبارتدیگر عکس OPHTHALMOLOGY یک بررسی با اشعه ایکس دندانی دوبعدی است که شکل دهان را در یک تصویر واحد که شامل دندانها، فکهای فوقانی و تحتانی، ساختارهای اطراف و بافتها میباشد ضبط می کند.
دندانپزشکان توسط این روش تشخیصی میتوانند بسیاری از اختلالات دیگر که با عکس معمولی در جراحیهای دندانی دیده نمیشود تشخیص دهند.
شما میتوانید عکس OPG دندان خود را در رادیولوژی پارس در گرگان با بالاترین کیفیت تهیه کنید.
عکس OPG
رادیولوژی پارس
سونوگرافی ورادیولوژی پارس درگرگان
برای رزرو نوبت با ما تماس بگیرید
مرکز سونوگرافی و رادیولوژی پارس دکتر محمد علی تازیکی شمارهنظام:52272 طرف قرارداد با کلیه بیمه ها ساعات مراجعه: 8صبح الی 8/5شب پنجشنبه ها :8صبح الی 4عصر تلفن:32325158 همراه:09389488378 |
نظرات خود را با ما درمیان بگذارید.
مرکز سونوگرافی ورادیولوژی پارس درگرگان
مرکز سونوگرافی و رادیولوژی پارس
گرگان_عدالت۱۱_مرکز تخصصی و فوق تخصصی مهستان_روبروی کلینیک دکتر موسوی_طبقه ی دوم











































