آدرس مرکز 1: اصفهان خیابان وحید بین پل وحید و چهارراه خاقانی مجتمع امین طبقه چهارم واحد 30
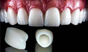
لمینت ایمکس
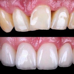
لمینت ایمکس یک نوع روکش دندانی سرامیکی است که از سرامیک شیشه ای دی سیلیکات لیتیوم ساخته شده است. این نوع لمینت به دلیل استحکام بالا، شفافیت طبیعی و مقاومت در برابر شکستگی، یکی از محبوب ترین انواع لمینت دندان است. لمینت ایمکس معمولاً برای اصلاح لبخند، رفع عیوب ظاهری دندان، و بهبود عملکرد دندان استفاده می شود.
لمینت ایمکس در اصفهان
لمینت ایمکس در زرین شهر
لمینت ایمکس معمولاً در دو جلسه انجام می شود. در جلسه اول، دندانپزشک دندان ها را آماده می کند و قالبی از آنها تهیه می کند. این قالب به آزمایشگاه فرستاده می شود تا لمینت های سفارشی ساخته شوند. در جلسه دوم، لمینت ها روی دندان ها چسبانده می شوند.
لمینت ایمکس مزایای زیادی نسبت به سایر انواع لمینت دندان دارد، از جمله:
- استحکام بالا: لمینت ایمکس بسیار محکم و بادوام است و در برابر شکستگی و لب پر شدن مقاوم است.
- شفافیت طبیعی: لمینت ایمکس از شیشه ساخته شده است و به همین دلیل بسیار شفاف و طبیعی به نظر می رسد.
- مقاومت در برابر شکستگی: لمینت ایمکس در برابر شکستگی و لب پر شدن مقاوم است.
- ماندگاری طولانی: لمینت ایمکس می تواند تا 20 سال دوام داشته باشد.
لمینت ایمکس معمولاً برای اصلاح لبخند، رفع عیوب ظاهری دندان، و بهبود عملکرد دندان استفاده می شود. این نوع لمینت می تواند برای اصلاح طیف وسیعی از مشکلات دندانی استفاده شود، از جمله:
- *ترک خوردگی یا شکستگی دندان
- *بد رنگی دندان
- *فاصله بین دندان ها
- *ناهنجاری های شکل دندان
لمینت ایمکس در دو جلسه انجام می شود. در جلسه اول، دندانپزشک دندان ها را آماده می کند و قالبی از آنها تهیه می کند. این قالب به آزمایشگاه فرستاده می شود تا لمینت های سفارشی ساخته شوند. در جلسه دوم، لمینت ها روی دندان ها چسبانده می شوند.
هزینه لمینت ایمکس بسته به تعداد دندان هایی که نیاز به درمان دارند و پیچیدگی کار متفاوت است. به طور کلی، لمینت ایمکس گران تر از سایر انواع لمینت دندان است.
در اینجا برخی از مزایای خاص لمینت ایمکس آورده شده است:
- شفافیت طبیعی: لمینت ایمکس به دلیل استفاده از شیشه در ساخت، بسیار شفاف و طبیعی به نظر می رسد. این امر باعث می شود که لمینت ها با دندان های طبیعی ترکیب شوند و ظاهری بسیار طبیعی داشته باشند.
- استحکام بالا: لمینت ایمکس بسیار محکم و بادوام است و در برابر شکستگی و لب پر شدن مقاوم است. این امر به دلیل استفاده از سرامیک شیشه ای دی سیلیکات لیتیوم در ساخت لمینت ها است.
- مقاومت در برابر شکستگی: لمینت ایمکس در برابر شکستگی و لب پر شدن مقاوم است. این امر به دلیل استحکام بالای لمینت ها و همچنین روش چسباندن آنها به دندان است.
- ماندگاری طولانی: لمینت ایمکس می تواند تا 20 سال دوام داشته باشد. این امر به دلیل استحکام بالای لمینت ها و همچنین روش چسباندن آنها به دندان است.
لمینت ایمکس یک گزینه عالی برای افرادی است که به دنبال یک روش زیبایی دندانی هستند که نتایج طبیعی و ماندگاری طولانی داشته باشد.
لمینت ایمکس در فولادشهر
لمینت ایمکس در شهرکرد
معایب لمینت ایمکس
.هزینه بالا
یکی از اصلی ترین معایب لمینت ایمکس هزینه بالای آن است. لمینت ایمکس معمولاً گران تر از سایر انواع روکش دندانی، مانند روکش های کامپوزیتی است. هزینه لمینت ایمکس بسته به تعداد دندان هایی که نیاز به درمان دارند و پیچیدگی کار متفاوت است. به طور کلی، لمینت ایمکس می تواند هزاران دلار هزینه داشته باشد.
تراش دندان
برای قرار دادن لمینت ایمکس، دندانپزشک باید مقداری از مینای دندان را بتراشد. این امر برای ایجاد فضای کافی برای لمینت ها ضروری است. تراشیدن دندان می تواند باعث حساسیت دندان شود.
عدم توانایی اصلاح مشکلات جدی دندانی
لمینت ایمکس برای اصلاح مشکلات جدی دندانی مانند پوسیدگی دندان یا بیماری لثه مناسب نیست. در این موارد، ممکن است نیاز به درمان های دندانی دیگری مانند پر کردن دندان یا جراحی لثه باشد.
نیاز به مراقبت مداوم
برای حفظ ظاهر طبیعی و ماندگاری لمینت ایمکس، باید از آنها به درستی مراقبت کنید. این بدان معناست که باید از مسواک زدن و نخ دندان کشیدن منظم، استفاده از خمیر دندان فلوراید و پرهیز از جویدن مواد سخت مانند یخ یا آجیل پیروی کنید.
در اینجا برخی از معایب خاص لمینت ایمکس آورده شده است:
- هزینه بالا: لمینت ایمکس معمولاً گران تر از سایر انواع روکش دندانی است.
- تراش دندان: برای قرار دادن لمینت ایمکس، دندانپزشک باید مقداری از مینای دندان را بتراشد. این امر می تواند باعث حساسیت دندان شود.
- عدم توانایی اصلاح مشکلات جدی دندانی: لمینت ایمکس برای اصلاح مشکلات جدی دندانی مناسب نیست.
- نیاز به مراقبت مداوم: برای حفظ ظاهر طبیعی و ماندگاری لمینت ایمکس، باید از آنها به درستی مراقبت کنید.
در نهایت، تصمیم گیری در مورد اینکه آیا لمینت ایمکس مناسب شماست یا خیر، یک تصمیم شخصی است. مهم است که قبل از تصمیم گیری، مزایا و معایب این روش را به دقت در نظر بگیرید.
لمینت Emax در اصفهان
لمینت Emax در زرین شهر
لمینت Emax در فولادشهر
لمینت Emax در شهرکرد
گالری تصاویر
مسیریابی مرکز اصفهان
مسیریابی مرکز زرین شهر
آدرس مرکز 2: زرینشهر ،زاینده رود ، بیستجان ،خیابان پیامبر ،جنب مسجد ابلفضل (ع) 09917476469

























