آدرس مرکز 1: اصفهان خیابان وحید بین پل وحید و چهارراه خاقانی مجتمع امین طبقه چهارم واحد 30
جراحی لثه
جراحی لثه یک روش جراحی است که برای درمان بیماریهای لثه، اصلاح خط لثه یا زیبایی انجام میشود. این جراحی معمولاً در مطب دندانپزشکی تحت بیحسی موضعی انجام میشود.
انواع جراحی لثه عبارتند از:
- *جراحی فلپ: در این نوع جراحی، جراح یک برش در لثه ایجاد میکند و بافت لثه را کنار میزند تا به بافتهای زیرین دسترسی پیدا کند. سپس، بافتهای آلوده زیر لثه برداشته میشوند و جرمگیری و تسطیح ریشه انجام میشود.
- *جراحی پیوند لثه: در این نوع جراحی، بافت لثه از ناحیه دیگری از دهان یا بدن برداشته میشود و در ناحیهای که نیاز به پیوند دارد قرار داده میشود. این روش برای درمان تحلیل لثه یا اصلاح خط لثه استفاده میشود.
- *جراحی لیفت لثه: در این نوع جراحی، جراح لثه را از روی دندانها بلند میکند تا ریشههای دندانها نمایان شوند. این روش برای درمان بیماریهای لثه یا زیبایی استفاده میشود.

لیفت لثه در اصفهان
جراحی لثه در اصفهان
بهترین دکتر لیفت لثه در اصفهان
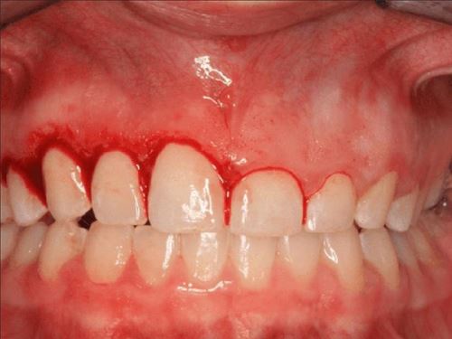
جراحی لثه معمولاً یک روش ایمن و موثر است. با این حال، مانند هر جراحی دیگری، خطرات و عوارضی نیز به همراه دارد. برخی از عوارض احتمالی جراحی لثه عبارتند از:
- *خونریزی
- *تورم
- *درد
- *عفونت
- *حساسیت دندانی
برای کاهش خطرات و عوارض جراحی لثه، مهم است که قبل از جراحی با دندانپزشک یا جراح لثه خود مشورت کنید.

در ادامه به برخی از مزایای جراحی لثه اشاره میکنیم:
- *درمان بیماریهای لثه
- *جلوگیری از از دست رفتن دندان
- *بهبود سلامت دهان و دندان
- *افزایش زیبایی لبخند
اگر به دنبال درمان بیماریهای لثه، اصلاح خط لثه یا زیبایی هستید، جراحی لثه یک گزینه درمانی مناسب برای شما است.
بهترین دکتر لیفت لثه در اصفهان
گالری
لیفت لثه
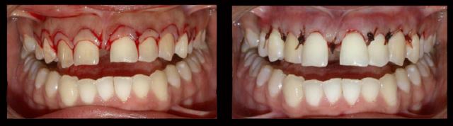
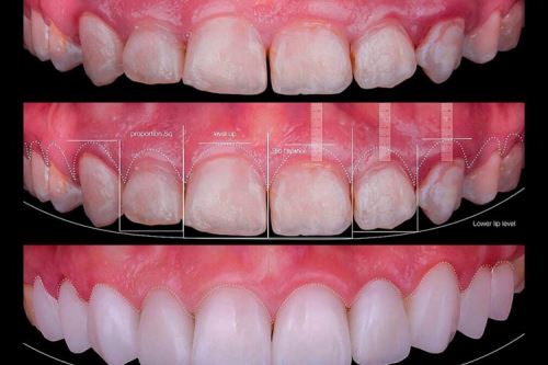
لیفت لثه، یک روش جراحی زیبایی دندان است که برای اصلاح خط لثه انجام میشود. این جراحی زمانی انجام میشود که خط لثه بیش از حد پایین یا بیش از حد بالا باشد. در حالت اول، دندانها کوتاهتر و لثهها بلندتر دیده میشوند و در حالت دوم، ریشه دندانها دیده میشوند.
لیفت لثه در اصفهان توسط متخصصین جراحی لثه انجام میشود. این جراحی معمولاً به صورت سرپایی و تحت بیحسی موضعی انجام میشود. مدت زمان جراحی لیفت لثه معمولاً بین ۳۰ تا ۶۰ دقیقه است.
روشهای مختلفی برای انجام لیفت لثه وجود دارد. رایجترین روشها عبارتند از:
لیفت لثه به دو روش اصلی انجام میشود:
لیفت لثه با تیغ: این روش سنتیتر است و در آن از تیغ جراحی برای برداشتن بافت اضافی لثه استفاده میشود.
لیفت لثه با لیزر: این روش جدیدتر است و در آن از لیزر برای برش و برداشتن بافت اضافی لثه استفاده میشود.
لیفت لثه در زرین شهر
جراحی لثه در زرین شهر
بهترین دکتر لیفت لثه درزرین شهر
مراحل لیفت لثه
لیفت لثه یک عمل سرپایی است که معمولا در مطب دندانپزشکی یا کلینیک جراحی دهان و فک و صورت انجام میشود. مراحل این عمل به شرح زیر است:
- *بیحسی: برای کاهش درد و ناراحتی، ناحیه لثه به صورت موضعی بیحس میشود.
- *برش لثه: در روش سنتی، از تیغ جراحی برای برش و برداشتن بافت اضافی لثه استفاده میشود. در روش لیزر، از لیزر برای برش و برداشتن بافت اضافی لثه استفاده میشود.
- *بخیه زدن: در روش سنتی، از بخیه برای بستن محل برش استفاده میشود. در روش لیزر، معمولا نیازی به بخیه زدن نیست.
لیفت لثه در فولادشهر
جراحی لثه در فولادشهر
بهترین دکتر لیفت لثه درفولادشهر

مزیت لیفت لثه با لیزر نسبت به روش سنتی عبارتند از:
- *تورم و درد کمتر
- *زمان بهبودی کوتاهتر
- *زخمهای کوچکتر
هزینه لیفت لثه در اصفهان بسته به روش جراحی، مهارت جراح و موقعیت جغرافیایی کلینیک متفاوت است. به طور کلی، هزینه لیفت لثه با لیزر بیشتر از روش سنتی است.
مراقبتهای بعد از لیفت لثه عبارتند از:
- *استفاده از آنتیبیوتیکها برای جلوگیری از عفونت
- *استفاده از مسکنها برای کاهش درد
- *پرهیز از جویدن غذاهای سفت و چسبنده
- *رعایت بهداشت دهان و دندان
نتایج لیفت لثه معمولاً دائمی است. با این حال، در صورت ابتلا به بیماریهای لثه، ممکن است نیاز به انجام مجدد جراحی باشد.
لیفت لثه در شهرکرد
جراحی لثه در شهرکرد
بهترین دکتر لیفت لثه در شهرکرد
در اینجا چند نکته برای انتخاب بهترین جراح لیفت لثه در اصفهان ذکر شده است:
- *سابقه و تجربه جراح را بررسی کنید.
- *از جراح در مورد روشهای مختلف لیفت لثه و مزایا و معایب هر روش سؤال کنید.
- *از جراح در مورد هزینه جراحی سؤال کنید.
دکتر دانیال باقریان نژاد با سابقه ای درخشان در حوزه لیفت لثه در اصفهان و همچنین جراحی لثه در اصفهان، زرین شهر، فولادشهر و شهرکرد در خدمت شما همشهریان عزیز می باشد.
مسیریابی مرکز اصفهان
مسیریابی مرکز زرین شهر
آدرس مرکز 2: زرینشهر ،زاینده رود ، بیستجان ،خیابان پیامبر ،جنب مسجد ابلفضل (ع) 09917476469






































