
فهرست مطالب
مرکز تخصصی دندانپزشکی لیدو
مرکز دندانپزشکی لیدو با همت و همکارى صمیمانه چند تن از دندانپزشکان با سابقه، آغاز به کار کرد. هدف اصلى این مرکز، گردهم آوردن متخصصین مجرب و فوق حرفه ای به منظور ارائه ى با کیفیت ترین سطح خدمات در تمامى حوزه هاى درمانى دندانپزشکى میباشد🇮🇷

021 2291 4576
قیمت کامپوزیت دندان تهران
گالری
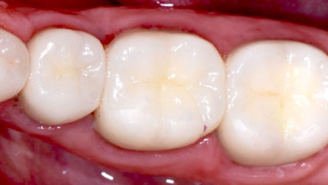
کامپوزیت دندان چیست؟
کامپوزیتها مجموعهای از مواد هستند که برای ترمیم دندانهای شکسته و تخریبشده و به طور کل آسیب دیده استفاده قرار میشوند، با استفاده از مواد کامپوزیتی میتوان لکههای دندانی را برطرف کرد و به بهبود زیبایی دندان ها کمک کرد

برای شروع کامپوزیتی همرنگ با دندان شما با بررسی دقیق شکل شکستگی و تخریب، بر روی دندان شما قرار میگیرد و با تاباندن نور از حالت خمیری خارج، و شکلی سخت پیدا میکند،پس از سفت شدن کامپوزیت، پزشک متخصص به تراشیدن و شکل دادن کامپوزیت به شکل اولیه دندان میپردازد

برای اطلاعات بیشتر با ما تماس حاصل فرمایید
ویدیو
گالری
ایمپلنت دندان چیست؟
ایمپلنت دندان (Dental implant) یک روش مناسب برای جایگزین کردن دندانهای از دست رفته است که دیگر وجود ندارند، آنها پایههای کوچکی هستند که با اتصال به استخوان فک درون ریشه دندان جای میگیرند،به همین دلیل دندانهای ایمپلنتی مانند دندانهای طبیعی عمل میکنند
کاربرد ایمپلنت دندان
ایمپلنت دندان یک روش درمانی و جایگزین دائمی دندانهای از دست رفته یا دارای شکل و فرم نامناسب است، به همین دلیل انتخاب یک دندانپزشک با مهارت کافی میتواند علاوهبر ایجاد طرح لبخندی زیبا به سلامت دهان و دندانهای شما کمک کند شما میتوانید با مراجعه به مرکز تخصصی دندانپزشکی لیدو از خدمات درمانی دندان
با بهترین شرایط ممکن استفاده کنید
گالری
ویدیو
ایمپلنت دندان برای چه کسانی مناسب نیست؟
زنان باردار
افراد زیر 18 سال
سیگاریها و افراد مصرف کننده الکل
افراد تحت درمان پرتودرمانی برای نواحی سر و گردن
بیماران مبتلا به دیابت کنترل نشده، نقص سیستم ایمنی یا هموفیلی
مزایای ایمپلنت دندان چیست؟
هماهنگی کاملا طبیعی با دندانهای اطراف
کمک به حفظ سلامتی دهان و دندان
بازیابی زیبایی از دست رفته دندانهای بیمار
استحکام و ثبات بسیار بالایی که ایمپلنت دندان دارد
حفظ استخوان فک و جلوگیری از تغییرات ناخواسته و ناگهانی صورت
قرار گرفتن به صورت دائمی در دندان و عدم نیاز به خروج در مواقع خاص با تشخیص پزشک
ایمپلنت دندان درد دارد؟
برای قرار دادن ایمپلنت درون دندان، از بیحسی قوی استفاده میکنند،به همین دلیل شما حین انجام کاشت هیچ دردی احساس نمیکنید
ایمپلنت دندان عوارض دارد؟
اگر برای انجام آن به یک دندانپزشک ماهر ،با تجربه و متخصص مراجعه نکنید میتواند باعث ایجاد عفونت در محل کاشت یا آسیب عصبی مثل سوزن سوزن شدن لثه و درد شود

ایمپلنت دندان چقدر زمان می برد؟

بهطور کلی فرآیند انجام آن کمی طولانی است. اما برای هر فرد میتواند متفاوت باشد، زیرا میزان تراکم استخوان فک در افراد مختلف متفاوت خواهد بود. معمولا روند درمانی ایمپلنت حدود 5 تا 8 ماه طول میکشد
تمیز کردن دندان ایمپلنت شده خیلی سخت است؟
خیر، تمیز کردن ایمپلنتهای دندانی مثل دندانهای طبیعی است و نیازمند حداقل 2 بار مسواک در طول شبانهروز به همراه نخ دندان است
نقشه
بهترین مرکز ایمپلنت تهران
آدرس : خیابان شریعتی مابین متروی شریعتی و میرداماد پلاک ۱۱۸۰طبقه اول واحد ۱
مرکز تخصصی دندانپزشکی لیدو
ارتباط با ما














































