زراعة الأسنان الفورية في تبريز
زرع فوري طريقة جديدة لاستعادة ابتسامتك
باستخدام أحدث التقنيات في العالم، تتيح لك الزراعة الفورية استعادة أسنانك المفقودة في أقصر وقت ممكن واستعادة الجمال والوظيفة الطبيعية لفمك.
عملية متخصصة ودقيقة: تركيب قاعدة الزرع والتاج المؤقت في جلسة واحدة
✓ لا انتظار طويل: تقليل وقت العلاج من أشهر إلى بضعة أيام
✓ تصميم مخصص يتناغم مع تشريح الفك والوجه
✓ استخدام مواد عالية الجودة ومتوافقة حيوياً
✓ مناسب للأشخاص الذين يعانون من هشاشة العظام.
لماذا نحن؟
مع سنوات من الخبرة في مجال زراعة الأسنان والتعاون مع المتخصصين ذوي الخبرة، نمنحك ابتسامة آمنة ودائمة.
🟣 للحصول على مشورة الخبراء وتقييم حالتك، اتصل بنا اليوم
📞 رقم التواصل: 09366110034
📍العنوان: تبريز، واليعصر، فليكة بوزر
✨️ابتسامتك هي أولويتنا✨️
زراعة الأسنان الفورية في تبريز
زراعة الأسنان الرقمية الفورية في تبريز
زراعة الأسنان الرقمية الفورية في تبريز
🌟 ابتسامتك الجميلة في أقصر وقت ممكن! 🌟
إذا كنت تبحث عن تعويض سريع وآمن للأسنان المفقودة، فالزراعة الفورية هي الخيار الأفضل لك!
✓ التركيب والإصلاح في أقصر وقت
✓ مظهر طبيعي ومقاوم
✓ لا حاجة للعمليات الجراحية المعقدة
✓ أفضل الأسعار بأفضل جودة
📞تواصل معنا الآن واحصل على استشارة مجانية
![]() | ![]() |
جمال ابتسامتك هو تخصصنا!
🔵زراعة الأسنان الفورية في تبريز
🔵زراعة الأسنان الرقمية الفورية في تبريز
قائمة العناوين
• ما هي زراعة الأسنان الفورية؟
• هل زراعة الأسنان الفورية مناسبة للجميع؟
• مميزات زراعة الأسنان الفورية
• شروط زراعة الأسنان الفورية ليوم واحد
• طريقة تنفيذ زراعة الأسنان الفورية
• إجراءات زراعة الأسنان الفورية
• مقارنة بين زراعة الأسنان الفورية والتقليدية
• الفرق بين زراعة الأسنان ليوم واحد وزراعة الأسنان الفورية
• قلع الأسنان وزراعة الأسنان الفورية؟ هل ينتهون في يوم واحد؟
• استخدامات زراعة الأسنان ليوم واحد
• علاج زراعة الأسنان في يوم واحد بطريقة رقمية بالكامل
• إجراءات زراعة الأسنان الفورية
• الاختلافات بين زراعة الأسنان التقليدية وزراعة الأسنان الرقمية الفورية
• مميزات زراعة الأسنان الرقمية
• هل زراعة الأسنان الرقمية مؤلمة؟
• مزايا استخدام الدليل الجراحي لزراعة الأسنان الرقمية ليوم واحد
• الشروط اللازمة لزراعة الأسنان الرقمية
• معرض
• اتصل بنا
ما هي زراعة الأسنان الفورية؟
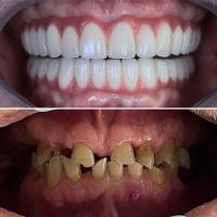
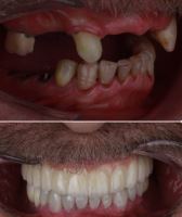
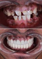
زراعة الأسنان الفورية هي إجراء سريع لزراعة الأسنان في يوم واحد بعد خلع السن التالف ووضع الزرعة في الفك. وفي الزراعة الفورية يتم وضع طقم الأسنان للمريض في نفس الجلسات الأولية. بينما في الطريقة العادية، قد يستغرق الأمر ما يصل إلى ستة أشهر لزراعة الغرسة.
الزراعة الفورية هي الطريقة التي يقوم بها طبيب الأسنان بتحضيره لوضع سن جديد وإجراء عملية الزراعة مباشرة بعد خلع الأسنان، وهذا يعني إمكانية إنجاز العمل بأكمله في يوم واحد. في الظروف العادية، قد يستغرق وضع الزرعة ستة أشهر وينتظر المتخصصون وأطباء الأسنان حتى تشفى اللثة قبل إجراء أي علاج نهائي أو وضع الزرعة.

زراعة الأسنان الفورية في تبريز
زراعة الأسنان الرقمية الفورية في تبريز
إن تنفيذ واستخدام هذه الطريقة لاستبدال الأسنان المفقودة للمرضى يعتمد كليًا على تشخيص طبيب الأسنان. إذا قام الطبيب بإجراء كافة الفحوصات اللازمة وتبين له أن الظروف الملائمة لوضع الزرعة متوفرة وأن اللثة والفك في صحة مثالية فسيقوم بإجراءها. في هذه الطريقة يقوم أطباء الأسنان بوضع الزرعة في الفك مباشرة بعد قلع السن، وبعد ذلك يتم تسليم الغطاء أو البدلة المؤقتة للمريض بعد أيام قليلة أو حتى يوم واحد.
هل زراعة الأسنان الفورية مناسبة للجميع؟
على الرغم من أن زراعة الأسنان الفورية هي أحد أنواع زراعة الأسنان، إلا أن هذه الطريقة تعتبر الخيار الأفضل ضمن سلسلة من الحالات الخاصة. يوصي أطباء الأسنان عادة بهذا الإجراء للمرضى الذين لديهم إحدى الخصائص التالية:
أسنانهم الأمامية تالفة أو مفقودة.
لديهم حد زمني.
إنهم لا يريدون إجراء عمليات جراحية متعددة.
حاليا، هم بلا أسنان تماما و...
قبل التحميل الفوري ووضع الزرعة، يجب أن يكون عظم الفك للمريض قد تم شفاءه بالكامل قبل وضع الزرعة. تستغرق عملية الشفاء هذه ما يقرب من عشرة إلى اثني عشر أسبوعًا، ولكن بفضل التطور المستمر في مجال طب الأسنان الترميمي، في بعض الحالات لم تعد هناك حاجة لانتظار شفاء موقع زراعة الأسنان.إن عظم السن مبرمج مسبقًا بشكل طبيعي لملء التجويف، لذلك من خلال وضع قاعدة الزرعة مباشرة بعد الاستخراج، تستقر الزرعة في نفس الوقت على العظم وتلتئم بشكل طبيعي.

زراعة الأسنان الفورية في تبريز
زراعة الأسنان الرقمية الفورية في تبريز
مميزات زراعة الأسنان الفورية
تتمتع زراعة الأسنان الفورية بالمزايا التالية، ولكنها تتطلب شروطًا خاصة من حيث صحة عظام الفم والفك. لذا، قبل اتخاذ قرار بشأن الزراعة الفورية، من الأفضل استشارة طبيب أسنان متخصص لاختيار الخيار الأفضل لحالة فمك:
الثقة بالنفس: لأن المرضى يحصلون على أسنانهم البديلة بسرعة، تتحسن ثقتهم بأنفسهم ويتمتعون بتجربة اجتماعية أفضل.
الحفاظ على العظام: تركيب زراعة فورية يساعد عظم الفك على الحفاظ على حجمه وقوته ويمنع فقدان العظام.
المظهر الطبيعي: من خلال تركيب سن صناعي فوري على الزرعة، يمكن للمرضى الاستفادة بشكل فوري من المظهر الطبيعي لأسنانهم والاستفادة من الأكل المحايد والابتسام.
الوقت: من أهم مميزات زراعة الأسنان الفورية هو تقليل الوقت بين جراحة الزراعة وتركيب طقم الأسنان. تسمح هذه الطريقة للمرضى باستخدام الأسنان البديلة بسرعة أكبر.

”زراعة الأسنان الفورية في تبريز“
”زراعة الأسنان الرقمية الفورية في تبريز“
شروط زراعة الأسنان الفورية ليوم واحد
تتطلب الزراعة الفورية شروطاً خاصة أكثر للزراعة، ومن وجهة نظر الشخص فهي تحتاج إلى عظام ولثة سليمة ومكان خالي من العدوى، ويتم فحص شروط الزراعة الفورية من قبل طبيب مختص. كما تتطلب عمليات الزرع الفوري معدات خاصة وأساسًا وخبرة.

زراعة الأسنان الفورية في تبريز
زراعة الأسنان الرقمية الفورية في تبريز
طريقة تنفيذ زراعة الأسنان الفورية
تعتبر طريقة تنفيذ زراعة الأسنان الفورية طريقة متقدمة ومبتكرة في طب الأسنان تتيح للمرضى الحصول على بدلة بديلة على زراعة أسنانهم في جلسة واحدة وحتى في يوم واحد. تتضمن هذه العملية الخطوات التالية:
1. التقييم الأولي: في هذه المرحلة، سيقوم طبيب أسنانك بتحليل حالة فمك من خلال تقييم كامل والتقاط الصور المطلوبة للتأكد مما إذا كنت مؤهلاً لإجراء زراعة يوم واحد فورية أم لا.
2. زراعة الأسنان: في هذه الخطوة يتم وضع زراعة الأسنان في عظم الفك. وعلى الرغم من أن هذه الخطوة سريعة نسبيًا، إلا أنها تتطلب عملية جراحية بسيطة. وفي بعض الحالات، يمكن أن يؤدي استخدام التقنيات المتقدمة مثل التوجيه ثلاثي الأبعاد إلى زيادة دقة ونجاح هذه الخطوة.
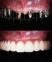
3.وضع الغطاء: بعد جراحة الزرع، يتم تثبيت الطرف الاصطناعي البديل بشكل مؤقت أو دائم على الزرعة. إذا كانت الغرسات ملتصقة بعظم الفك وكانت مستقرة، فيمكن تركيب قشرة فورية في نفس اليوم.
4. العناية والصيانة: بعد وضع طقم أسنان أو غطاء فوري للأسنان، سيقدم لك طبيب الأسنان الرعاية اللازمة لنظافة الفم وصيانة الغرسات.

📌زراعة الأسنان الفورية في تبريز
📌زراعة الأسنان الرقمية الفورية في تبريز
إجراءات زراعة الأسنان الفورية
تختلف خطوات زراعة السن الفوري عن بعضها البعض في عدة خطوات مقارنة بالزراعات العادية، وبشكل عام فإن البنية الأساسية للعلاج هي نفسها. تتضمن هذه الخطوات ما يلي:
التقاط الصور للزرعات
فحص فوري لأهلية الزرع
زراعة الزرع داخل العظم
توفير غطاء مؤقت أو دائم
إذا كانت المرحلة السابقة مؤقتة، بعد حوالي أسبوع إلى أسبوعين من صب الطلاء الدائم
تسليم الغطاء النهائي وإكمال علاج الزرع الفوري
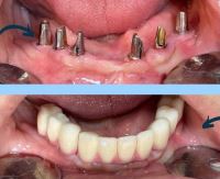
- كما ذكرنا سابقاً فإن كافة إجراءات الزراعة الفورية تتم في جلسة واحدة فقط. وفيما يلي ستجد أن خطوات زراعة الأسنان الفورية لا تختلف كثيراً عن خطوات زراعة الأسنان العادية. وفي هذه الطريقة مثل الطريقة التقليدية يجب وضع القاعدة داخل عظم الفك ولحامها. الفرق بين هاتين الطريقتين هو أنه في طريقة زراعة اليوم الواحد يتم تركيب التاج المؤقت للسن وتثبيته على القاعدة في نفس اليوم، ويبقى التاج المؤقت مثبتاً على القاعدة حتى يصبح التاج الرئيسي جاهزاً، ولكن في الطريقة التقليدية، يستغرق الأمر وقتًا طويلاً حتى تندمج القاعدة في عظم الفك. بعد هذا الوقت، يتم تثبيت التاج على القاعدة لعدة أشهر. خطوات زراعة الأسنان ليوم واحد هي:
الفحص والاستشارة قبل الجراحة
في الخطوة الأولى من عملية زراعة الأسنان الفورية، يجب عليك إخبار طبيب الأسنان المختص بتاريخك الطبي وأي أمراض قد تكون لديك، بعد ذلك سيقوم طبيب الأسنان باستخدام الأشعة المقطعية والتصوير ثلاثي الأبعاد لتقييم حالة فمك وأسنانك . من خلال الفحص الشامل للفم والأسنان، سيحدد أخصائي زراعة الأسنان ما إذا كنت مرشحًا مناسبًا لإجراء جراحة زراعة الأسنان الفورية. هناك مرضى محددون فقط هم المناسبون لإجراء عملية زرع ليوم واحد لأن الاختيار الدقيق للحالة، والتخطيط المناسب للعلاج، والالتزام بالبروتوكولات الجراحية والأطراف الصناعية هي مفاتيح النجاح على المدى الطويل لهذا الإجراء. إذا كنت مرشحًا مناسبًا لزراعة الأسنان ليوم واحد، فسيقوم طبيب الأسنان بتصميم خطة علاج مخصصة تلبي احتياجاتك.بعد الانتهاء من خطة العلاج الفوري للزراعة، اعتمادًا على عدد الأسنان التي تحتاج إلى استبدال، سيستخدم طبيب أسنانك واحدًا من ثلاثة أنواع من الأطراف الاصطناعية لزراعة الأسنان.
1. تاج زراعة الأسنان 2. الجسر المزروع 3. الأسنان الصناعية المزروعة

ستخراج الأسنان
في الخطوة التالية يتم إجراء جراحة الجذر وإزالة الجذر المتبقي للسن الرئيسي ومن ثم يتم زراعة الزرعة. في هذه المرحلة يستطيع جراح الأسنان فحص حالة الفم وإزالة الجذر باستخدام الأدوات الرقمية وأجهزة الكمبيوتر. عادة ما تتم عملية قلع الأسنان تحت التخدير الموضعي حتى يصبح السن مرتخيًا بما يكفي لإزالته. عادةً ما تتم أيضًا إزالة جميع الأنسجة والعظام المصابة خلال هذه العملية.
جراحة الزرع الفوري
بعد التخدير، تبدأ الجراحة. اعتمادًا على مدى تعقيد زراعة الأسنان، يمكن إجراء هذه الجراحة يدويًا أو رقميًا. توفر طريقة الزرع الرقمي الفوري إمكانية وضع القاعدة في الموضع والزاوية الصحيحة. يقوم الأخصائي بإدخال الغرسة في العظم وتثبيت الدعامة عليه. ثم تتم عملية التشكيل لعمل غطاء للأسنان
وضع الأطراف الاصطناعية
بعد عملية زرع الزرع لمدة يوم واحد، ستكون الأطراف الاصطناعية بمثابة الأسنان البديلة (التاج أو الجسر أو الأطراف الصناعية). اعتمادًا على حالتك، قد يكون الطرف الاصطناعي الأولي الذي تم تركيبه مؤقتًا وسيتم إنشاء طرف اصطناعي دائم. في هذه الحالة، يجب عليك الزيارة خلال أسابيع قليلة لتركيب الطرف الاصطناعي الدائم. يعد تركيب طقم الأسنان جزءًا مهمًا من عملية زراعة الأسنان لأن طقم الأسنان غير المناسب يمكن أن يتسبب في فشل زراعة الأسنان.
تعافي العظام وشفائها
يعد التكامل العظمي وشفاء عظم الفك جزءًا أساسيًا من أي علاج لزراعة الأسنان. تتيح هذه العملية تثبيت زراعة الأسنان بشكل دائم على عظم الفك وتثبيتها في مكانها. وبعد ثلاثة أشهر يتم تشكيله من الفك السفلي وبعد 5 أشهر من الفك العلوي. تجدر الإشارة إلى أن صنع الطرف الاصطناعي الدائم يستغرق حوالي أسبوعين.تتم عملية التكامل العظمي في غضون 4 إلى 6 أشهر بعد زراعة الأسنان الفورية. يجب عليك تناول الأطعمة اللينة خلال هذه الفترة، خاصة خلال الأسابيع الثمانية الأولى بعد زراعة الأسنان الفورية. بعد أسبوع، ستخضع لفحص آخر حتى يتمكن طبيب الأسنان من التأكد من أن زراعة الأسنان الخاصة بك آمنة ومندمجة بشكل صحيح مع العظام. كما يجب عليك زيارة طبيب الأسنان كل 6 أشهر للتأكد من صحة زراعة أسنانك.
إذا فقد المريض جميع أسنان أحد الفكين أو كليهما ولديه طرف اصطناعي متحرك للفك العلوي أو السفلي، فيمكن زرع زراعة فورية جراحيًا في جلسة واحدة ويمكن استخدام الطرف الاصطناعي الموجود كطرف اصطناعي مؤقت. زراعة الأسنان ليوم واحد هي الطريقة الأفضل للأشخاص الذين يرغبون في زراعة أسنانهم الأمامية.

📌زراعة الأسنان الفورية في تبريز
📌زراعة الأسنان الرقمية الفورية في تبريز
مقارنة بين زراعة الأسنان الفورية والتقليدية
الفرق الأكثر أهمية بين الغرسات الفورية والعادية هو الوقت الذي يستغرقه استكمال العلاج، وهو حوالي 6 أشهر للزرعات العادية وأقل من شهر واحد للزرعات الفورية. كما تختلف مراحل العلاج.
الفرق الثاني الأكثر أهمية بين الغرسات الفورية والعادية هو نوع قواعد الزرع. تندمج الدعامات المستخدمة في عملية الزرع الفوري مع عظم الفك بسرعة أكبر. في الواقع، في 90% من الحالات، نستخدم قاعدة أو تركيبات ليزر (زرع ليزر) للزراعات الفورية، مما يزيد من سرعة الالتحام العظمي (التكامل العظمي) مع أقصى قدر من الامتصاص.
كما أن الغرسات الفورية تتطلب المزيد من الشروط الخاصة ويجب أن يتمتع مقدم الطلب بحالة جيدة للعظام واللثة.تعد تكلفة عملية الزرع الفوري أكثر تكلفة من عملية الزرع العادية بسبب الحاجة إلى المزيد من المعدات وحساسية أكبر.

📌زراعة الأسنان الفورية في تبريز
📌زراعة الأسنان الرقمية الفورية في تبريز
الفرق بين زراعة الأسنان ليوم واحد وزراعة الأسنان الفورية
ويمكن القول أن زراعة الأسنان في اليوم الواحد والزراعة الفورية لا فرق بينهما وكلاهما نفس الطريقة. في هذه الطريقة يقوم الجراح بتثبيت الزرعة ووضع التاج عليها أيضًا في أقصر وقت ممكن دون أي نزيف أو ألم. لم يعد المريض بحاجة إلى الانتظار لعدة أشهر حتى تندمج الزرعة في عظم الفك. وفي يوم واحد فقط يتم تنفيذ هذا الإجراء لتصحيح الأسنان المفقودة.
قلع الأسنان وزراعة الأسنان الفورية؟ هل ينتهون في يوم واحد؟
بشكل عام، قبل إجراء عملية زراعة الأسنان سواء كانت فورية أو مؤجلة، يجب خلع السن السابق المكسور أو المفقود. الهدف من خلع الأسنان هو إزالة السن بأقل قدر من التمزق والضرر لأنسجة اللثة والأسنان المجاورة. تسمح عملية الاستخراج لتركيبات الزرع بالجلوس بشكل أكثر سلاسة. وهذا مهم بشكل خاص عندما يكون لديك عملية زرع فورية. يمكن إجراء عملية قلع الأسنان وزراعتها الفورية في يوم واحد.

زراعة الأسنان الفورية في تبريز
زراعة الأسنان الرقمية الفورية في تبريز
استخدامات زراعة الأسنان ليوم واحد
على الرغم من أن زراعة الأسنان الفورية هي أحد أنواع زراعة الأسنان، إلا أن هذه الطريقة تعتبر الخيار الأفضل ضمن سلسلة من الحالات الخاصة. يوصي أطباء الأسنان عادة بزراعة الأسنان ليوم واحد للمرضى الذين لديهم إحدى الخصائص التالية:
أسنانهم الأمامية تالفة أو مفقودة.
إنهم قلقون بشأن فقدان أسنانهم
لديهم حدود الوقت والتكلفة.
إنهم لا يريدون إجراء عمليات جراحية متعددة.
إنهم يبحثون عن تثبيت زرعة All On 4.
إنهم بلا أسنان تمامًا الآن.
يعانون من نقص حاد في كثافة عظامهم.
لديهم تسوس شديد في الأسنان.
فهل هذا العلاج فعال حقا؟
قبل التحميل والزرع الفوري، يجب أن يكون عظم الفك للمريض قد تم شفاءه بالكامل قبل وضع الزرع. تستغرق عملية الشفاء هذه ما يقرب من عشرة إلى اثني عشر أسبوعًا، ولكن بفضل التطور المستمر في مجال طب الأسنان الترميمي، في بعض الحالات لم تعد هناك حاجة لانتظار شفاء موقع زراعة الأسنان. إن عظم السن مبرمج مسبقًا بشكل طبيعي لملء التجويف، لذلك من خلال وضع قاعدة الزرعة مباشرة بعد الاستخراج، تستقر الزرعة في نفس الوقت على العظم وتلتئم بشكل طبيعي.

علاج زراعة الأسنان في يوم واحد بطريقة رقمية بالكامل
لزراعة زراعة فورية أو زراعة يوم واحد، لا تحتاج إلى المرور بعدة أشهر من لحام الزرعة بالعظم ومن ثم تركيب القشرة على سنك، ولكن في نفس اليوم الذي يتم فيه وضع الزرعة فمك، يتم أيضًا تركيب قشرة الأسنان عليه. في علاج الزرع الرقمي، يتم استخدام النمذجة الحاسوبية ثلاثية الأبعاد لفحص عظم الفك وكذلك موقع الألياف العصبية. في ظل هذه الظروف، سيقوم طبيب الأسنان بزراعة الأسنان بأصغر فجوة. بسبب الشق الأقل في هذا الإجراء، سيكون هناك ألم أقل للمريض. كما أنه نظرًا لوضع معلومات دقيقة للغاية بين يدي طبيب الأسنان، فإن هناك أقل قدر من الضرر والأخطاء في هذا النوع من طرق العلاج الرقمي. في زراعة الزرعة الرقمية يتم تركيب دليل (دليل جراحي) على الأسنان لمنع تلف العصب والأسنان الجانبية.يساعد هذا الدليل نفسه طبيب الأسنان على إجراء تخفيضات دقيقة وأصغر.

زراعة الأسنان الفورية في تبريز
زراعة الأسنان الرقمية الفورية في تبريز
إجراءات زراعة الأسنان الفورية
المرحلة الأولى
في هذه المرحلة يتم تحضير صورة رقمية بمساعدة الماسح الضوئي للفم، والذي يسجل تشريح الأسنان وأنسجة اللثة بالكامل.
المرحلة الثانية
من أجل تسجيل تشريح العظام والأسنان بشكل أكثر دقة، يتم إجراء الأشعة المقطعية المخروطية في الخطوة الثانية. في هذا الفحص بالأشعة المقطعية، يتم الحصول على بنية ثلاثية الأبعاد للعظام والجيوب الأنفية والأعصاب. بعد ذلك، يتم دمج صور الخطوة الأولى والثانية ويتم إنشاء نموذج ثلاثي الأبعاد من أسنان المريض وعظام الفم.
المرحلة الثالثة
في هذه الخطوة، بعد إجراء الفحوصات اللازمة، يتم تحديد قطر وطول الزرعة. بعد موافقة طبيب الأسنان على الخطة المطلوبة، يتم تنفيذ الخطوة التالية.
المرحلة الرابعة
في هذه الخطوة يتم عمل دليل على شكل قالب بلاستيكي بمساعدة CAD-CAM. هذه الخطوة مفيدة جدًا لوضع الغرسة النهائية.يتم وضع الدليل المجهز في فم المريض لوضع الزرعة في المكان المطلوب دون قطع.
المرحلة الخامسة
في المرحلة الأخيرة، في يوم الجراحة وبعد وضع الزرعة مباشرة، سيتم تركيب غطاء الزرعة للمريض ذو المظهر الطبيعي والجميل للغاية. في الواقع، في طريقة الزراعة الرقمية، لا يبقى المريض بدون أسنان ولو ليوم واحد.

زراعة الأسنان الفورية في تبريز
زراعة الأسنان الرقمية الفورية في تبريز
الاختلافات بين زراعة الأسنان التقليدية وزراعة الأسنان الرقمية الفورية
عادة، يختار المرضى زراعة الغرسات التقليدية مع الأخذ في الاعتبار تكلفة الغرسات التقليدية والرقمية. ولكن على الرغم من أن عملية الزرع الرقمي أكثر تكلفة، إلا أنه لا بد من القول أن هذه الطريقة الحديثة التي تستخدم التقنيات المتقدمة لها العديد من المزايا الفريدة. تأخذ الغرسة الرقمية في الاعتبار معايير دقيقة جدًا، ولهذا السبب فهي طبيعية جدًا وتتمتع براحة أكبر. بشكل عام، ندرس الاختلافات بين الغرسات العادية والرقمية أدناه:
- تتم عملية الزراعة الرقمية في جلسة واحدة فقط، ولكن هناك حاجة إلى جلسات أكثر لزراعة زراعة الأسنان بالطريقة التقليدية.
مدة عملية الزراعة الرقمية أقل من نصف ساعة، بينما تستغرق عملية الزراعة العادية 120 دقيقة أو أكثر.
تعتبر الغرسات الرقمية أكثر راحة للمريض وتتمتع بفترة تعافي أقصر بكثير من الغرسات التقليدية.
في عملية الزرع الرقمية، سيشعر المريض بألم أقل بكثير من عملية الزرع التقليدية.
نظرًا لاستخدام التكنولوجيا والأنظمة المتقدمة في عمليات الزرع الرقمية، فإن اندماج الزرعة مع عظم الفك أفضل بكثير، وسيكون مضغ الطعام والتحدث أسهل بكثير بالنسبة للمريض.

زراعة الأسنان الفورية في تبريز
زراعة الأسنان الرقمية الفورية في تبريز
تكلفة زراعة الأسنان الفورية
تعتمد تكلفة الزراعة على العوامل التالية:
تخصص طبيب أسنان
عدد الغرسات
العلامة التجارية للزرع
مادة غطاء الزرع (السيراميك بالكامل، السيراميك المعدني)
طريقة زراعة الزرعة (فورية، مرحلة واحدة أو مرحلتين)
التقنيات المستخدمة
العلاجات الجانبية مثل ترقيع العظام وجراحة اللثة وغيرها.

📌زراعة الأسنان الفورية في تبريز
📌زراعة الأسنان الرقمية الفورية في تبريز
مميزات زراعة الأسنان الرقمية
من أفضل طرق زراعة الأسنان هي الزراعة الرقمية والتي لها العديد من المزايا. وأهم ميزة لهذه الطريقة هو غياب الألم والتورم، وبالتالي فإن فترة التعافي لن تكون طويلة. تشمل الفوائد المباشرة الأخرى للغرسات الرقمية ما يلي:
1.تقليل وقت زراعة الأسنان
2.تقليل الألم بعد زراعة الأسنان
3.تقليل التورم بعد زراعة الأسنان
4.أفضل طريقة لمرضى التدخين
5.أفضل طريقة لمرضى السكر
6.أفضل طريقة لأولئك الذين يحتاجون إلى طلاء فوري.
7.الطريقة الأفضل لمن يخافون من جراحة زراعة الأسنان.
8.تقليل النزيف بعد زراعة الأسنان
9.استخدام الغذاء العادي مباشرة بعد زراعة الأسنان
10.ممارسة الأنشطة اليومية العادية مباشرة بعد زراعة الأسنان
11.الحفاظ على اللثة بين الأسنان وبالتالي خلق جمال للأسنان الأمامية ومنع التصاق الطعام في الأسنان الخلفية.
12.الراحة أثناء وبعد الجراحة للمريض.

زراعة الأسنان الفورية في تبريز
زراعة الأسنان الرقمية الفورية في تبريز
هل زراعة الأسنان الرقمية مؤلمة؟
في طريقة زراعة الأسنان التقليدية، يقوم طبيب الأسنان بعمل قطع رأسي من اللثة إلى العظم لتحديد مكان الزرع، أما في الزراعة الرقمية، يتم هذا القطع بمساعدة صور المسح المقطعي ثلاثي الأبعاد والدليل الجراحي حجم القطع الذي تم إنشاؤه صغير جدًا بحيث لا يحتاج إلى خياطته. من خلال تقصير وقت التعافي، تقلل زراعة الزرعة الرقمية من احتمالية النزيف والعدوى، وعمومًا يتراوح وقت الجراحة من 15 إلى 30 دقيقة. لهذه الأسباب، فهي أقل إيلاما بكثير من الطريقة المعتادة لزراعة الأسنان.

مزايا استخدام الدليل الجراحي لزراعة الأسنان الرقمية ليوم واحد
تقليل وقت الجراحة
باستخدام الدليل الجراحي، يتم تحسين وقت جراحة الزرع. يؤدي التصميم والتنبؤ الأكثر دقة لموضع الزرع إلى تقليل الوقت اللازم لإكمال الجراحة.
الحد من الأخطاء والمضاعفات الجراحية
استخدام الدليل الجراحي يقلل من الأخطاء البشرية في الجراحة. المزيد من الدقة في وضع الزرع يقلل من خطر تلف الأنسجة المحيطة ويحسن المضاعفات الجراحية.
تحسين التنبؤ بالنتائج
باستخدام الدليل الجراحي، من الممكن التحقق من النتيجة وتحليل موضع الزرعة عن كثب قبل الجراحة. تسمح هذه الإمكانية للجراح بإجراء تخطيط أكثر دقة لاستبدال الأسنان ويضمن نتيجة أكثر استقرارًا.
تحسين قوة وثبات الزرعة
استخدام الدليل الجراحي يخلق المزيد من القوة للزرع.مع الدقة العالية في وضع الزرعة في الموضع الصحيح واستخدام التقنيات الجراحية المتقدمة، يتم تحسين قوة وثبات الزرعة.
تحسين وقت إصلاح الأنسجة
يؤدي استخدام الدليل الجراحي إلى تقليل وقت تعافي الأنسجة بعد الجراحة. باستخدام الدليل الجراحي، يتم تقليل الاتصال بالأنسجة الرخوة والصلبة وتتم عملية إصلاح الأنسجة بشكل أسرع.
تقليل النزيف والعدوى
يؤدي استخدام الدليل الجراحي إلى تقليل النزيف وخطر الإصابة بالعدوى بسبب دقته العالية وتقليل ملامسته للأنسجة الرخوة. وهذا يساعد على عملية تعافي المريض ويقلل من المضاعفات المرتبطة بالجراحة.
استخدامها في الحالات المعقدة
يستخدم الدليل الجراحي خاصة في الحالات المعقدة والصعبة، مثل وضع الغرسة في المناطق التي تعاني من ضيق المساحة أو عدم انتظام تضاريس الفم.

▪️زراعة الأسنان الفورية في تبريز
▪️زراعة الأسنان الرقمية الفورية في تبريز
الشروط اللازمة لزراعة الأسنان الرقمية
إذا كنت ترغب في زراعة زرعة فورية، فيجب أولاً أن تتوافر لديك الشروط اللازمة لزراعة زرعة عادية، والتي تشمل:
صحة اللثة والفم
حجم وارتفاع كافٍ لعظم الفك في موقع الزرع
صحة عامة جيدة للخضوع لجراحة الفم
عدم وجود أمراض كامنة لا يمكن السيطرة عليها (أي مرض تعاني منه أو أي دواء تتناوله يجب أن يخبرك به طبيب أسنانك حتى يتمكن من التفكير في خطة علاج مناسبة وفقًا لحالتك).
إذا استوفيت الشروط المذكورة، فمن المحتمل أن تتمكن من الحصول على عملية زرع رقمية فورية. ومع ذلك، يجب أن يتخذ طبيب الأسنان القرار النهائي لأن موضع الأسنان في الفم مهم أيضًا. لاحظ أنه إذا كان هناك نقص في العظام في موقع الزرع، فيمكن لطبيب أسنانك حل هذه المشكلة عن طريق ترقيع العظام، اعتمادًا على حالة الفك لديك.

الكلمة الأخيرة
اليوم، أدى وجود التكنولوجيا إلى جانب أطباء الأسنان إلى جعل عملية علاج المرضى أسرع وأكثر دقة وبألم أقل. بدون احتكاك، فإن الجروح الشديدة والنزيف هي الأشياء التي يرغب جميع المرضى في تجنبها. حتى لو كانوا في حالة استرخاء تام وتحت التخدير ولا يشعرون بألمه. الآن، مع إدخال التكنولوجيا في مجال طب الأسنان، يمكن للعديد من المرضى إجراء العديد من العمليات الجراحية بسهولة ولن يعودوا بحاجة إلى الخوف من طب الأسنان. وفي النهاية نود أن نشير إلى أن كافة الخدمات التي يتم تقديمها في مجال طب الأسنان التخصصي مترابطة مع بعضها البعض مثل خيط قوي ومنظمة، وكلها تهدف أولاً إلى صحة الفم والنظافة، ثانياً إلى رفع مستوى الصحة. جودة الحياة وثالثًا الشعور بالجمال إلى جانب الصحة وزيادة الثقة بالنفس هم المرضى الأعزاء.
الأسئلة المتداولة
كيف يتم ترقيع العظام لزراعة الأسنان؟
إذا كانت كثافة أو حجم عظم الفك غير كاف لزراعة الأسنان، بحيث يكون العلاج عالي الخطورة، فمن المستحسن إجراء ترقيع العظام. يتم وضع مادة العظام المطعمة في موقع الزرع. يمكن إجراء عملية زرع الزرع في نفس الوقت أو بعد بضعة أشهر عندما يتم إجراء التطعيم ويكون العظم قويًا. ذلك يعتمد على مدى الارتباط.
ما هي المواد المستخدمة لتطعيم العظام لزراعتها؟
يمكن استخدام المواد الاصطناعية أو العظام المستخرجة من جسمك أو عظام الجثث أو العظام ذات الأصل الحيواني (عادةً البقرة) في زراعة عظام الفك.
كيف أعتني بزراعة أسناني؟
للعناية بزراعة الأسنان عليك القيام بنفس الإجراءات التي يجب أن تفعلها للأسنان الطبيعية:
نظف أسنانك مرتين على الأقل يوميًا.الخيط مرة واحدة على الأقل في اليوم.
ومن الأفضل زيارة طبيب الأسنان كل ستة أشهر لإجراء الفحص، أو إذا لم تتمكن من ذلك، على الأقل مرة واحدة في السنة.
لا تستخدم أسنانك كأدوات ولا تمضغ الأشياء الصلبة.
ما هو اللون الذي تم اختياره لغطاء الزرعة؟
يتم اختيار لون القشرة الملحقة بالزرعة بما يتوافق مع لون أسنانك الأخرى بحيث لا يكون هناك فرق بين السن المزروع والأسنان الطبيعية الأخرى. لذلك، إذا كنت تحب اللون الأكثر بياضاً، فمن الأفضل تبييض الأسنان الأخرى أولاً ثم اختيار لون غطاء الزرعة.
هل ألم زراعة الأسنان الرقمية أقل من ألم زراعة الأسنان العادية؟
الصور والنمذجة ثلاثية الأبعاد المسجلة في طريقة الزرع الرقمي تسهل على أخصائي زراعة الأسنان اكتشاف اضطرابات عظم الفك والعثور على موقع الألياف العصبية للسن بشكل أفضل. أثناء إجراء عملية الزرع بالطريقة المعتادة، يقوم طبيب الأسنان بإنشاء فجوة أكبر في لثتك للوصول إلى عظم الفك. بعد ذلك، وباستخدام الصور ثلاثية الأبعاد بطريقة زراعة الأسنان الرقمية، يتم تقليل فجوة الأسنان، ونتيجة لذلك سيشعر المريض بألم أقل ولن تحتاج الفجوة الناتجة إلى الغرز. كما سيتم تقليل النزيف وسيتم الشفاء بشكل أسرع.
هل يمكن أن يكون لإجراء الزرع الرقمي أخطاء؟
صحيح أننا مع الدليل الجراحي المجهز والذي هو بمثابة قالب في العمل الهندسي نقوم بإجراء مناطق شق اللثة وحفر وتوسيع عظم الفك بطريقة دقيقة ومحوسبة ومحسوبة تماما، ولكن كل هذا يتطلب منا أن القيام بجميع الخطوات بشكل صحيح، أي أنه يجب علينا تصميم دليلنا الجراحي بشكل صحيح وتصنيعه بالمواد المناسبة التي لا تغير أبعاده، وإلا فإن الغرسة الرقمية يمكن أن تسبب أخطاء يملك.

































