
فهرست مطالب
🔴توجه!!!🔴
کلیه بازنشستگان و مستمر بگیران کل کشور از. تخفیف ۱۰ درصدی و کسر از حقوق در این مرکز امکان پذیر میباشد، جهت نوبت دهی و مشاوره با ما در ارتباط باشید
021 2291 4576
خدمات مرکز
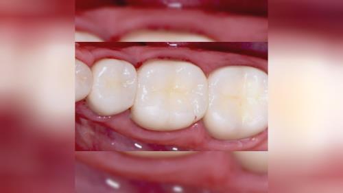
لمینت و کامپوزیت
توضیحات
جرم گیری
توضیحات
انواع جراحی دندان
توضیحات
عصب کشی دندان
توضیحات
ویدیوها
لمینت برای درمان مشکلات شدید بهتر است یا کامپوزیت؟
اگر دندانهای شما به شدت لکهدار، آسیب دیده، نامرتب با شکاف های بسیار بزرگ هستند، لمینت دندان برای شما بهتر است، اما ونیرهای کامپوزیت برای مشکلات خفیف تر به کار میرود.
کامپوزیت دندان محکم تر است یا لمینت دندانی؟
لمینت استحکام بالاتری نسبت به کامپوزیت ونیر دارد و خطر شکستن آن کمتر است اما مانند کامپوزیت دندان قابل ترمیم نیست
ویدیو ها
فرق لمینت و کامپوزیت از نظر ترمیم پذیری:
لمینت سرامیکی برگشت پذیر نیست و اگر به هر دلیلی از آن ناراضی باشید نمیتوان آنها را جایگزین کرد، مگر اینکه دندانپزشک آنها را ریموو کند.
تفاوت قیمت لمینت و کامپوزیت
کامپوزیت دندان هزینه پایین تری نسبت به لمینت دندان دارد زیرا از مواد ارزان تری ساخته شده و تکنیک اجرایی ساده تری دارد. مثلا برای نصب پرسلین ونیر باید ابتدا بخشی از مینای دندان تراشیده شود، قالب ها به لابراتوار فرستاده شوند و تمام این پروسه به هزینه لمینت دندان اضافه میکنند. در کل میتوان گفت قیمت لمینت حدود 3 برابر کامپوزیت دندان است
گالری
تفاوت کامپوزیت و لمینت از جهت رنگ پذیری:
با اینکه لمینت و کامپوزیت دندان هر دو طیف رنگی گسترده ای دارند اما کلا لمینت دندان شفاف تر از ونیر کامپوزیت است یعنی اینکه لمینت در برابر لکه ها مقاوم است اما ونیر مانند دندان های طبیعی لکه دار میشود و رنگ آن به مرور زمان تغییر میکند. البته مقاومت بالای لمینت دندانی در برابر تغییر رنگ، نمیتواند بهانه خوبی برای مصرف مواد غذایی رنگ زا باشد، در همه حال باید مراقبت های بعد از لمینت را رعایت کنید
تفاوت کامپوزیت و لمینت از نظر شکل ظاهری:
مهم ترین تفاوت لمینت دندان و کامپوزیت، تراش دادن سطح دندان ها است که در روش کامپوزیت انجام نمی شود، در نتیجه ظاهر دندان ها در روش لمینت طبیعی تر به نظر میرسد، این در حالیست که در کامپوزیت ممکن است دندان ها کمی برآمده و دارای بیرون زدگی باشند. علاوه بر این، پرسلین ونیر شفاف تر از ونیر کامپوزیت است، زیرا ظاهر آن درست مانند یک شیشه بسیار نازک میباشد
تفاوت لمینت دندان و کامپوزیت چیست؟
لمینت دندان سرامیکی و کامپوزیت دندان هر دو روش هایی برای رفع بد رنگی دندان، ناهنجاری های جزئی دندان، پوشاندن فاصله های بین دندانی است، این دو روش از نظر تکنیک اجرایی کاملاً با یکدیگر فرق دارند. به همین دلیل میزان مقاومت این دو روش در برابر تغییرات ناگهانی دما، فشار و ضربه ناگهانی، رنگ پذیری متفاوت است.
لمینت دندان در مرکز دندانپزشکی لیدو مناسب تر از همه جا
مرکز دندانپزشکی لیدو مجهز به جدیدترین ابزارهای دندانپزشکی زیبایی و کادر مجرب دندانپزشکان در تهران است اگر میخواهید با هزینه مناسب دندان های خود رو لمینت کنید با ما در تماس باشید
گالری
نقشه

آدرس : خیابان شریعتی مابین متروی شریعتی و میرداماد پلاک ۱۱۸۰طبقه اول واحد ۱
















































